• 文献检索
  • 文档翻译
  • 深度研究
  • 学术资讯
  • Suppr Zotero 插件Zotero 插件
  • 邀请有礼
  • 套餐&价格
  • 历史记录
应用&插件
Suppr Zotero 插件Zotero 插件浏览器插件Mac 客户端Windows 客户端微信小程序
定价
高级版会员购买积分包购买API积分包
服务
文献检索文档翻译深度研究API 文档MCP 服务
关于我们
关于 Suppr公司介绍联系我们用户协议隐私条款
关注我们

Suppr 超能文献

核心技术专利:CN118964589B侵权必究
粤ICP备2023148730 号-1Suppr @ 2026

文献检索

告别复杂PubMed语法,用中文像聊天一样搜索,搜遍4000万医学文献。AI智能推荐,让科研检索更轻松。

立即免费搜索

文件翻译

保留排版,准确专业,支持PDF/Word/PPT等文件格式,支持 12+语言互译。

免费翻译文档

深度研究

AI帮你快速写综述,25分钟生成高质量综述,智能提取关键信息,辅助科研写作。

立即免费体验

在黑荚野豌豆根瘤中,豌豆根瘤菌蚕豆生物型的脂多糖I在从感染丝中释放出来的过程中发生抗原变化。

Antigenic changes in lipopolysaccharide I of Rhizobium leguminosarum bv. viciae in root nodules of Vicia sativa subsp. nigra occur during release from infection threads.

作者信息

Goosen-de Roo L, de Maagd R A, Lugtenberg B J

机构信息

Department of Plant Molecular Biology, Leiden University, The Netherlands.

出版信息

J Bacteriol. 1991 May;173(10):3177-83. doi: 10.1128/jb.173.10.3177-3183.1991.

DOI:10.1128/jb.173.10.3177-3183.1991
PMID:1708764
原文链接:https://pmc.ncbi.nlm.nih.gov/articles/PMC207912/
Abstract

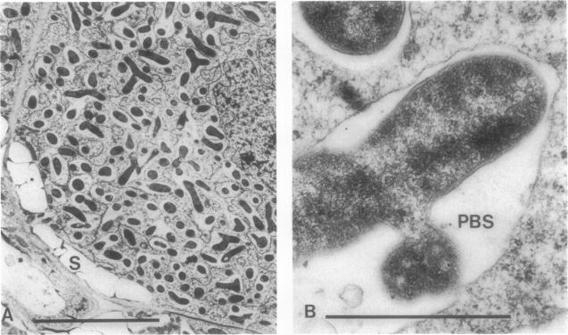
Three different monoclonal antibodies raised against the O antigen-containing lipopolysaccharide (LPS I) of free-living cells were used in an immunocytochemical study to follow the fate of LPS I on the outer membrane of Rhizobium leguminosarum bv. viciae 248 during the nodulation of Vicia sativa subsp. nigra. After immunogold labeling, the LPS I epitopes were detected on the outer membrane of bacteria present in infection threads throughout the nodule. Epitopes were not detectable on bacteria released from the infection thread. The data show that the LPS I epitopes present on rhizobia in infection droplets disappear shortly before or during endocytosis of the bacteria into the host plant cell cytoplasm. The abruptness of the change suggests an active degradation or modification of LPS I epitopes rather than only a repression of their synthesis.

摘要

三种针对自由生活细胞中含O抗原的脂多糖(LPS I)产生的不同单克隆抗体被用于一项免疫细胞化学研究,以追踪LPS I在豌豆根瘤菌蚕豆生物型248外膜上在黑籽野豌豆结瘤过程中的命运。免疫金标记后,在整个根瘤中感染丝内存在的细菌外膜上检测到LPS I表位。在从感染丝释放的细菌上未检测到表位。数据表明,感染滴中根瘤菌上存在的LPS I表位在细菌内吞进入宿主植物细胞质之前或期间不久消失。这种变化的突然性表明LPS I表位发生了主动降解或修饰,而不仅仅是其合成受到抑制。

https://cdn.ncbi.nlm.nih.gov/pmc/blobs/fc9c/207912/e138f72dc492/jbacter00100-0160-a.jpg
https://cdn.ncbi.nlm.nih.gov/pmc/blobs/fc9c/207912/7639ae2c8f44/jbacter00100-0156-a.jpg
https://cdn.ncbi.nlm.nih.gov/pmc/blobs/fc9c/207912/c4959d9311ba/jbacter00100-0157-a.jpg
https://cdn.ncbi.nlm.nih.gov/pmc/blobs/fc9c/207912/8ca77739c69a/jbacter00100-0158-a.jpg
https://cdn.ncbi.nlm.nih.gov/pmc/blobs/fc9c/207912/f9aad8e3d36f/jbacter00100-0159-a.jpg
https://cdn.ncbi.nlm.nih.gov/pmc/blobs/fc9c/207912/e138f72dc492/jbacter00100-0160-a.jpg
https://cdn.ncbi.nlm.nih.gov/pmc/blobs/fc9c/207912/7639ae2c8f44/jbacter00100-0156-a.jpg
https://cdn.ncbi.nlm.nih.gov/pmc/blobs/fc9c/207912/c4959d9311ba/jbacter00100-0157-a.jpg
https://cdn.ncbi.nlm.nih.gov/pmc/blobs/fc9c/207912/8ca77739c69a/jbacter00100-0158-a.jpg
https://cdn.ncbi.nlm.nih.gov/pmc/blobs/fc9c/207912/f9aad8e3d36f/jbacter00100-0159-a.jpg
https://cdn.ncbi.nlm.nih.gov/pmc/blobs/fc9c/207912/e138f72dc492/jbacter00100-0160-a.jpg

相似文献

1
Antigenic changes in lipopolysaccharide I of Rhizobium leguminosarum bv. viciae in root nodules of Vicia sativa subsp. nigra occur during release from infection threads.在黑荚野豌豆根瘤中,豌豆根瘤菌蚕豆生物型的脂多糖I在从感染丝中释放出来的过程中发生抗原变化。
J Bacteriol. 1991 May;173(10):3177-83. doi: 10.1128/jb.173.10.3177-3183.1991.
2
Developmental regulation of a Rhizobium cell surface antigen during growth of pea root nodules.豌豆根瘤生长过程中根瘤菌细胞表面抗原的发育调控
J Bacteriol. 1989 Sep;171(9):4537-42. doi: 10.1128/jb.171.9.4537-4542.1989.
3
Rhizobium leguminosarum CFN42 lipopolysaccharide antigenic changes induced by environmental conditions.环境条件诱导的豌豆根瘤菌CFN42脂多糖抗原变化
J Bacteriol. 1992 Apr;174(7):2222-9. doi: 10.1128/jb.174.7.2222-2229.1992.
4
Lipopolysaccharide epitope expression of Rhizobium bacteroids as revealed by in situ immunolabelling of pea root nodule sections.通过豌豆根瘤切片的原位免疫标记揭示的类菌体根瘤菌脂多糖表位表达
J Bacteriol. 1994 Apr;176(7):2021-32. doi: 10.1128/jb.176.7.2021-2032.1994.
5
Isolation and characterization of mutants of Rhizobium leguminosarum bv. viciae 248 with altered lipopolysaccharides: possible role of surface charge or hydrophobicity in bacterial release from the infection thread.豌豆根瘤菌蚕豆生物变种248脂多糖改变的突变体的分离与特性分析:表面电荷或疏水性在细菌从侵染线释放中的可能作用
J Bacteriol. 1989 Feb;171(2):1143-50. doi: 10.1128/jb.171.2.1143-1150.1989.
6
Chemical characterization of pH-dependent structural epitopes of lipopolysaccharides from Rhizobium leguminosarum biovar phaseoli.菜豆根瘤菌生物变种脂多糖pH依赖性结构表位的化学表征
J Bacteriol. 1992 Apr;174(7):2230-5. doi: 10.1128/jb.174.7.2230-2235.1992.
7
A biovar-specific signal of Rhizobium leguminosarum bv. viciae induces increased nodulation gene-inducing activity in root exudate of Vicia sativa subsp. nigra.豌豆根瘤菌蚕豆生物变种的生物变种特异性信号诱导黑籽野豌豆根分泌物中结瘤基因诱导活性增加。
J Bacteriol. 1990 Sep;172(9):5394-401. doi: 10.1128/jb.172.9.5394-5401.1990.
8
Rhizobium lipopolysaccharide modulates infection thread development in white clover root hairs.根瘤菌脂多糖调节白三叶草根毛中侵染线的发育。
J Bacteriol. 1991 Sep;173(17):5371-84. doi: 10.1128/jb.173.17.5371-5384.1991.
9
Nod factors produced by Rhizobium leguminosarum biovar viciae induce ethylene-related changes in root cortical cells of Vicia sativa ssp. nigra.豌豆根瘤菌蚕豆生物变种产生的结瘤因子可诱导黑种野豌豆根皮层细胞中与乙烯相关的变化。
Eur J Cell Biol. 1995 Dec;68(4):463-9.
10
Autoregulation of root nodule formation: signals of both symbiotic partners studied in a split-root system of Vicia sativa subsp. nigra.根瘤形成的自动调节:在黑花野豌豆分根系统中研究共生伙伴双方的信号。
Mol Plant Microbe Interact. 2002 Apr;15(4):341-9. doi: 10.1094/MPMI.2002.15.4.341.

引用本文的文献

1
Lipopolysaccharides in diazotrophic bacteria.固氮细菌中的脂多糖。
Front Cell Infect Microbiol. 2014 Sep 3;4:119. doi: 10.3389/fcimb.2014.00119. eCollection 2014.
2
Genetic analysis of the Rhizobium meliloti bacA gene: functional interchangeability with the Escherichia coli sbmA gene and phenotypes of mutants.苜蓿中华根瘤菌bacA基因的遗传分析:与大肠杆菌sbmA基因的功能互换性及突变体表型
J Bacteriol. 1997 Jan;179(1):209-16. doi: 10.1128/jb.179.1.209-216.1997.
3
Bacterial endosymbiont-derived lipopolysaccharides and a protein on symbiosome membranes in newly infected amoebae and their roles in lysosome-symbiosome fusion.

本文引用的文献

1
The use of lead citrate at high pH as an electron-opaque stain in electron microscopy.在电子显微镜检查中,将高pH值的柠檬酸铅用作电子不透明染色剂。
J Cell Biol. 1963 Apr;17(1):208-12. doi: 10.1083/jcb.17.1.208.
2
Changes in the outer cell wall of Rhizobium during development of root nodule symbiosis in soybean.大豆根瘤共生发育过程中根瘤菌外细胞壁的变化。
Can J Microbiol. 1980 Sep;26(9):1096-103. doi: 10.1139/m80-182.
3
Heterogeneity of Rhizobium lipopolysaccharides.根瘤菌脂多糖的异质性。
细菌内共生体衍生的脂多糖以及新感染变形虫中共生体膜上的一种蛋白质及其在溶酶体-共生体融合中的作用。
Infect Immun. 1994 Jan;62(1):65-71. doi: 10.1128/iai.62.1.65-71.1994.
4
Chemical characterization of pH-dependent structural epitopes of lipopolysaccharides from Rhizobium leguminosarum biovar phaseoli.菜豆根瘤菌生物变种脂多糖pH依赖性结构表位的化学表征
J Bacteriol. 1992 Apr;174(7):2230-5. doi: 10.1128/jb.174.7.2230-2235.1992.
5
Cloning, nucleotide sequencing, and expression in Escherichia coli of a Rhizobium leguminosarum gene encoding a symbiotically repressed outer membrane protein.编码一种共生抑制性外膜蛋白的豌豆根瘤菌基因在大肠杆菌中的克隆、核苷酸测序及表达
J Bacteriol. 1992 Jan;174(1):214-21. doi: 10.1128/jb.174.1.214-221.1992.
6
A Rhizobium meliloti lipopolysaccharide mutant altered in competitiveness for nodulation of alfalfa.一种在与苜蓿结瘤竞争能力上发生改变的苜蓿根瘤菌脂多糖突变体。
J Bacteriol. 1992 Sep;174(18):5941-52. doi: 10.1128/jb.174.18.5941-5952.1992.
J Bacteriol. 1984 Jun;158(3):1012-7. doi: 10.1128/jb.158.3.1012-1017.1984.
4
The legume-Rhizobium symbiosis: a cell surface interaction.豆科植物与根瘤菌共生关系:一种细胞表面相互作用。
J Cell Sci Suppl. 1985;2:317-31. doi: 10.1242/jcs.1985.supplement_2.17.
5
Physical association between the peribacteroid membrane and lipopolysaccharide from the bacteroid outer membrane in Rhizobium-infected pea root nodule cells.根瘤菌感染的豌豆根瘤细胞中,类菌体周膜与类菌体外膜脂多糖之间的物理关联。
J Cell Sci. 1986 Sep;85:47-61. doi: 10.1242/jcs.85.1.47.
6
Recognition of individual strains of fast-growing rhizobia by using profiles of membrane proteins and lipopolysaccharides.
J Bacteriol. 1988 Aug;170(8):3782-5. doi: 10.1128/jb.170.8.3782-3785.1988.
7
Immunological characterization of Rhizobium leguminosarum outer membrane antigens by use of polyclonal and monoclonal antibodies.利用多克隆抗体和单克隆抗体对豆科根瘤菌外膜抗原进行免疫学特性分析。
J Bacteriol. 1989 Feb;171(2):1136-42. doi: 10.1128/jb.171.2.1136-1142.1989.
8
Developmental regulation of a Rhizobium cell surface antigen during growth of pea root nodules.豌豆根瘤生长过程中根瘤菌细胞表面抗原的发育调控
J Bacteriol. 1989 Sep;171(9):4537-42. doi: 10.1128/jb.171.9.4537-4542.1989.
9
Rhizobium-legume nodulation: life together in the underground.根瘤菌与豆科植物的结瘤:地下共生生活
Cell. 1989 Jan 27;56(2):203-14. doi: 10.1016/0092-8674(89)90893-3.
10
Genes involved in lipopolysaccharide production and symbiosis are clustered on the chromosome of Rhizobium leguminosarum biovar viciae VF39.参与脂多糖产生和共生的基因聚集在豌豆根瘤菌生物变种蚕豆VF39的染色体上。
J Bacteriol. 1989 Nov;171(11):6161-8. doi: 10.1128/jb.171.11.6161-6168.1989.