Suppr超能文献

可能源于医源性因素的下颌骨创伤性骨囊肿:一例病例报告及文献简要综述

Traumatic bone cyst of the mandible of possible iatrogenic origin: a case report and brief review of the literature.

作者信息

Xanthinaki Arsinoi A, Choupis Konstantinos I, Tosios Konstantinos, Pagkalos Vasilios A, Papanikolaou Stavros I

机构信息

Oral Pathology Department, School of Dentistry, University of Athens, Athens, Greece.

出版信息

Head Face Med. 2006 Nov 12;2:40. doi: 10.1186/1746-160X-2-40.

Abstract

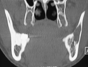
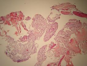
The traumatic bone cyst (TBC) is an uncommon nonepithelial lined cavity of the jaws. The lesion is mainly diagnosed in young patients most frequently during the second decade of life. The majority of TBCs are located in the mandibular body between the canine and the third molar. Clinically, the lesion is asymptomatic in the majority of cases and is often accidentally discovered on routine radiological examination usually as an unilocular radiolucent area with a "scalloping effect". The definite diagnosis of traumatic cyst is invariably achieved at surgery. Since material for histologic examination may be scant or non-existent, it is very often difficult for a definite histologic diagnosis to be achieved. We present a well documented radiographically and histopathologically atypical case of TBC involving the ramus of the mandible, which is also of possible iatrogenic origin. The literature is briefly reviewed.

摘要

创伤性骨囊肿(TBC)是一种罕见的、无上皮衬里的颌骨腔隙。该病变主要在年轻患者中被诊断出来,最常见于生命的第二个十年。大多数TBC位于下颌骨体部,在尖牙和第三磨牙之间。临床上,在大多数病例中该病变无症状,通常在常规放射学检查时偶然发现,表现为单房性透射区,具有“扇贝样效应”。创伤性囊肿的明确诊断总是在手术时才能实现。由于用于组织学检查的材料可能很少或不存在,因此往往很难做出明确的组织学诊断。我们报告一例有充分影像学和组织病理学记录的非典型TBC病例,累及下颌支,其可能也有医源性起源。并对相关文献进行简要综述。

https://cdn.ncbi.nlm.nih.gov/pmc/blobs/90e0/1660580/3532e6294f41/1746-160X-2-40-1.jpg

相似文献

2
Solitary bone cyst.
Indian J Dent Res. 2011 Jan-Feb;22(1):172-4. doi: 10.4103/0970-9290.79993.
3
Traumatic bone cyst of idiopathic origin? A report of two cases.
Ethiop J Health Sci. 2014 Apr;24(2):183-7. doi: 10.4314/ejhs.v24i2.13.
4
Unusual cone-beam computerized tomography presentation of traumatic (simple) bone cyst: case report and radiographic analysis.
Oral Surg Oral Med Oral Pathol Oral Radiol. 2012 Mar;113(3):410-3. doi: 10.1016/j.tripleo.2011.05.035. Epub 2011 Aug 26.
6
Hemorrhagic cyst of the mandible associated with a retained root apex of the lower third molar.
Oral Surg Oral Med Oral Pathol. 1987 Jun;63(6):661-3. doi: 10.1016/0030-4220(87)90365-3.
8
Traumatic bone cyst mimicking radicular cyst.
BMJ Case Rep. 2012 Dec 9;2012:bcr2012007316. doi: 10.1136/bcr-2012-007316.
9
A solitary bone cyst possibly caused by removal of an impacted third molar.
J Oral Maxillofac Surg. 1987 Aug;45(8):721-3. doi: 10.1016/0278-2391(87)90319-3.
10
Traumatic bone cysts of the jaws and their presentation.
Int J Oral Surg. 1980 Aug;9(4):287-91. doi: 10.1016/s0300-9785(80)80036-6.

引用本文的文献

1
Imaging specificities of simple mandibular bone cysts: A three-case report.
Radiol Case Rep. 2025 Aug 8;20(11):5466-5473. doi: 10.1016/j.radcr.2025.07.021. eCollection 2025 Nov.
2
Diagnosis and Treatment of Idiopathic Bone Cavity in the Mandible: A Case Report.
Clin Case Rep. 2025 May 30;13(6):e70488. doi: 10.1002/ccr3.70488. eCollection 2025 Jun.
3
Simple bone cyst with severe root resorption: a case report.
BMC Oral Health. 2025 Feb 26;25(1):311. doi: 10.1186/s12903-025-05648-5.
4
Simple bone cyst recurred in adjacent areas: A case report.
Imaging Sci Dent. 2023 Dec;53(4):383-388. doi: 10.5624/isd.20230703. Epub 2023 Oct 24.
5
Traumatic Bone Cyst of the Anterior Mandibular Region: A Case Report.
Cureus. 2022 Nov 10;14(11):e31315. doi: 10.7759/cureus.31315. eCollection 2022 Nov.
6
Scalloped border as a possible diagnostic aid for differentiating jaw lesions: A pictorial essay.
Imaging Sci Dent. 2022 Sep;52(3):309-317. doi: 10.5624/isd.20220033. Epub 2022 Jul 5.
7
Multimodular Assessment of a Traumatic Bone Cyst Overlapped with Apical Periodontitis.
Case Rep Dent. 2020 Nov 25;2020:8829305. doi: 10.1155/2020/8829305. eCollection 2020.
8
Traumatic Bone Cyst of Mandible: A Case Report of Rare Entity and Review of Literature.
Contemp Clin Dent. 2019 Jan-Mar;10(1):3-8. doi: 10.4103/ccd.ccd_489_18.
9
Traumatic bone cyst of mandible: a case series.
J Med Case Rep. 2019 Sep 18;13(1):300. doi: 10.1186/s13256-019-2220-7.
10
Continuous Surgical Decompression for Solitary Bone Cyst of the Jaw in a Teenage Patient.
Case Rep Dent. 2019 Apr 11;2019:9137507. doi: 10.1155/2019/9137507. eCollection 2019.

本文引用的文献

1
Solitary bone cysts in the mandible.
Br Dent J. 1946 Jul;81(2):37-49.
2
Large lytic lesion of the ascending ramus, the condyle, and the infratemporal region.
J Oral Maxillofac Surg. 2004 Aug;62(8):996-1001. doi: 10.1016/j.joms.2004.04.009.
3
Traumatic mandibular bone cysts.
Oral Surg Oral Med Oral Pathol. 1951 Sep;4(9):1160-72. doi: 10.1016/0030-4220(51)90073-4.
6
Progressive bone cavities of the mandible: a review of the so-called traumatic bone cyst and a report of three cases.
Oral Surg Oral Med Oral Pathol. 1955 Sep;8(9):903-16. doi: 10.1016/0030-4220(55)90289-9.
7
Simple bone cyst of the mandibular condyle with severe osteoarthritis: report of a case.
J Oral Pathol Med. 1999 Sep;28(8):377-80. doi: 10.1111/j.1600-0714.1999.tb02057.x.
8
Atypical simple bone cyst of the mandible. A case report.
Int J Oral Maxillofac Surg. 1994 Oct;23(5):298-9. doi: 10.1016/s0901-5027(05)80114-6.
9
Biochemical analysis of simple bone cyst fluid--report of a case.
Int J Oral Maxillofac Surg. 1994 Oct;23(5):296-7. doi: 10.1016/s0901-5027(05)80113-4.
10
Traumatic bone cysts in the jaws of a Hong Kong Chinese population.
Clin Radiol. 1995 Nov;50(11):787-91. doi: 10.1016/s0009-9260(05)83221-0.

文献AI研究员

20分钟写一篇综述,助力文献阅读效率提升50倍。

立即体验

用中文搜PubMed

大模型驱动的PubMed中文搜索引擎

马上搜索

文档翻译

学术文献翻译模型,支持多种主流文档格式。

立即体验