• 文献检索
  • 文档翻译
  • 深度研究
  • 学术资讯
  • Suppr Zotero 插件Zotero 插件
  • 邀请有礼
  • 套餐&价格
  • 历史记录
应用&插件
Suppr Zotero 插件Zotero 插件浏览器插件Mac 客户端Windows 客户端微信小程序
定价
高级版会员购买积分包购买API积分包
服务
文献检索文档翻译深度研究API 文档MCP 服务
关于我们
关于 Suppr公司介绍联系我们用户协议隐私条款
关注我们

Suppr 超能文献

核心技术专利:CN118964589B侵权必究
粤ICP备2023148730 号-1Suppr @ 2026

文献检索

告别复杂PubMed语法,用中文像聊天一样搜索,搜遍4000万医学文献。AI智能推荐,让科研检索更轻松。

立即免费搜索

文件翻译

保留排版,准确专业,支持PDF/Word/PPT等文件格式,支持 12+语言互译。

免费翻译文档

深度研究

AI帮你快速写综述,25分钟生成高质量综述,智能提取关键信息,辅助科研写作。

立即免费体验

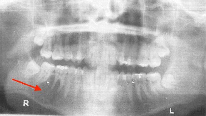
下颌骨特发性骨腔的诊断与治疗:一例报告

Diagnosis and Treatment of Idiopathic Bone Cavity in the Mandible: A Case Report.

作者信息

Do Nguyen Bryan, Radan Elham

机构信息

Herman Ostrow School of Dentistry University of Southern California Los Angeles California USA.

出版信息

Clin Case Rep. 2025 May 30;13(6):e70488. doi: 10.1002/ccr3.70488. eCollection 2025 Jun.

DOI:10.1002/ccr3.70488
PMID:40454328
原文链接:https://pmc.ncbi.nlm.nih.gov/articles/PMC12124993/
Abstract

Idiopathic bone cavity of the mandible can often be identified in a radiographic exam. If detected, physicians should conduct follow-up every 3-6 months, with surgical intervention considered only if the lesion becomes large or symptomatic.

摘要

下颌骨特发性骨腔常在影像学检查中被发现。若检测到,医生应每3 - 6个月进行随访,仅当病变变大或出现症状时才考虑手术干预。

https://cdn.ncbi.nlm.nih.gov/pmc/blobs/cee5/12124993/064d4bc8abf3/CCR3-13-e70488-g002.jpg
https://cdn.ncbi.nlm.nih.gov/pmc/blobs/cee5/12124993/38630be87c2e/CCR3-13-e70488-g004.jpg
https://cdn.ncbi.nlm.nih.gov/pmc/blobs/cee5/12124993/8e8a690481cd/CCR3-13-e70488-g003.jpg
https://cdn.ncbi.nlm.nih.gov/pmc/blobs/cee5/12124993/517c4b26c0d1/CCR3-13-e70488-g001.jpg
https://cdn.ncbi.nlm.nih.gov/pmc/blobs/cee5/12124993/064d4bc8abf3/CCR3-13-e70488-g002.jpg
https://cdn.ncbi.nlm.nih.gov/pmc/blobs/cee5/12124993/38630be87c2e/CCR3-13-e70488-g004.jpg
https://cdn.ncbi.nlm.nih.gov/pmc/blobs/cee5/12124993/8e8a690481cd/CCR3-13-e70488-g003.jpg
https://cdn.ncbi.nlm.nih.gov/pmc/blobs/cee5/12124993/517c4b26c0d1/CCR3-13-e70488-g001.jpg
https://cdn.ncbi.nlm.nih.gov/pmc/blobs/cee5/12124993/064d4bc8abf3/CCR3-13-e70488-g002.jpg

相似文献

1
Diagnosis and Treatment of Idiopathic Bone Cavity in the Mandible: A Case Report.下颌骨特发性骨腔的诊断与治疗:一例报告
Clin Case Rep. 2025 May 30;13(6):e70488. doi: 10.1002/ccr3.70488. eCollection 2025 Jun.
2
Traumatic Bone Cyst of the Anterior Mandibular Region: A Case Report.下颌前部区域创伤性骨囊肿:一例报告
Cureus. 2022 Nov 10;14(11):e31315. doi: 10.7759/cureus.31315. eCollection 2022 Nov.
3
Surgical management of idiopathic bone cavity: case series of consecutive 27 patients.特发性骨腔的外科治疗:27例连续病例系列
J Korean Assoc Oral Maxillofac Surg. 2017 Apr;43(2):94-99. doi: 10.5125/jkaoms.2017.43.2.94. Epub 2017 Apr 25.
4
Idiopathic bone cavity: case series involving children and adolescents.特发性骨腔:涉及儿童和青少年的病例系列
J Investig Clin Dent. 2012 May;3(2):103-8. doi: 10.1111/j.2041-1626.2011.0087.x. Epub 2011 Aug 7.
5
Bone regeneration with plasma-rich-protein following enucleation of traumatic bone cyst.外伤性骨囊肿摘除术后富血小板血浆促进骨再生
Eur J Dent. 2013 Jul;7(3):377-381. doi: 10.4103/1305-7456.115427.
6
Treatment of traumatic bone cyst of mandible by injection of autogeneic blood.
Oral Surg Oral Med Oral Pathol. 1984 Aug;58(2):137-40. doi: 10.1016/0030-4220(84)90126-9.
7
Idiopathic Bone Cavity: Clinicopathologic Features from a Case Series with Emphasis on Differential Diagnosis of Chronic Apical Periodontitis.特发性骨腔:病例系列的临床病理特征,重点是慢性根尖周炎的鉴别诊断。
J Endod. 2021 Feb;47(2):221-225. doi: 10.1016/j.joen.2020.11.004. Epub 2020 Nov 17.
8
Regenerated Traumatic Bone Cyst With Platelet-Rich Fibrin in the Mandible: A Case Report.下颌骨富血小板纤维蛋白再生性创伤性骨囊肿:1 例报告。
Clin Adv Periodontics. 2021 Mar;11(1):33-38. doi: 10.1002/cap.10099. Epub 2020 Apr 23.
9
Immediate Insertion of Dental Implants Immediate Insertion in Bilateral Traumatic Bone Cysts With or Without a Bone Grafting Material: A 5-Year Follow-Up Case Report.
J Oral Implantol. 2019 Aug;45(4):297-299. doi: 10.1563/aaid-joi-D-18-00057. Epub 2019 Jun 17.
10
Traumatic bone cyst of mandible: a case series.下颌骨创伤性骨囊肿:病例系列
J Med Case Rep. 2019 Sep 18;13(1):300. doi: 10.1186/s13256-019-2220-7.

本文引用的文献

1
Safety and efficacy of adjunctive therapy in the treatment of odontogenic keratocyst: a systematic review.辅助治疗牙源性角化囊肿的安全性和有效性:系统评价。
Br J Oral Maxillofac Surg. 2023 Jun;61(5):331-336. doi: 10.1016/j.bjoms.2023.04.006. Epub 2023 Apr 25.
2
Ameloblastic fibroma: A case report.成釉细胞纤维瘤:一例病例报告。
J Oral Maxillofac Pathol. 2023 Feb;27(Suppl 1):S60-S63. doi: 10.4103/jomfp.jomfp_337_22. Epub 2023 Feb 4.
3
Unicystic Ameloblastoma of Mandible: A Case Report.下颌骨单囊型成釉细胞瘤:1 例报告。
JNMA J Nepal Med Assoc. 2022 Jul 1;60(251):657-660. doi: 10.31729/jnma.7566.
4
Traumatic Bone Cyst of the Anterior Mandibular Region: A Case Report.下颌前部区域创伤性骨囊肿:一例报告
Cureus. 2022 Nov 10;14(11):e31315. doi: 10.7759/cureus.31315. eCollection 2022 Nov.
5
Idiopathic bone cavity: clinical and radiological features of 90 retrospective cases and surgical treatment.特发性骨腔:90例回顾性病例的临床及影像学特征与外科治疗
J Korean Assoc Oral Maxillofac Surg. 2021 Oct 31;47(5):360-364. doi: 10.5125/jkaoms.2021.47.5.360.
6
Traumatic Bone Cyst of Mandible: A Case Report of Rare Entity and Review of Literature.下颌骨创伤性骨囊肿:1例罕见病例报告及文献复习
Contemp Clin Dent. 2019 Jan-Mar;10(1):3-8. doi: 10.4103/ccd.ccd_489_18.
7
Idiopathic bone cavity of the jaws: an updated analysis of the cases reported in the literature.特发性颌骨骨髓腔病变:文献报道病例的更新分析。
Int J Oral Maxillofac Surg. 2019 Jul;48(7):886-894. doi: 10.1016/j.ijom.2019.02.001. Epub 2019 Feb 18.
8
Assessment of spontaneous resolution of idiopathic bone cavity.特发性骨腔自然消退的评估。
J Appl Oral Sci. 2018;26:e20170288. doi: 10.1590/1678-7757-2017-0288. Epub 2018 May 7.
9
Does Idiopathic Bone Cavity Involving Mandibular Condyle Need Surgical Intervention of Bone Cavity Filling?累及下颌骨髁突的特发性骨腔需要进行骨腔填充手术干预吗?
J Craniofac Surg. 2017 Sep;28(6):e539-e543. doi: 10.1097/SCS.0000000000003851.
10
Surgical management of idiopathic bone cavity: case series of consecutive 27 patients.特发性骨腔的外科治疗:27例连续病例系列
J Korean Assoc Oral Maxillofac Surg. 2017 Apr;43(2):94-99. doi: 10.5125/jkaoms.2017.43.2.94. Epub 2017 Apr 25.