Suppr超能文献

Stereotactic Radiotherapy of Central Nervous System and Head and Neck Lesions, Using a Conformal Intensity-Modulated Radiotherapy System (Peacocktrade mark System).

作者信息

Ammirati M, Bernardo A, Ramsinghani N, Yakoob R, Al-Ghazi M, Kuo J, Ammirati G

出版信息

Skull Base. 2001 May;11(2):109-19. doi: 10.1055/s-2001-14435.

Abstract

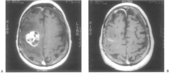
The objective of this article is to evaluate single-fraction or fractionated stereotactic radiotherapy of central nervous system (CNS) and head and neck lesions using intensity-modulated radiotherapy (IMRT) with a commercially available system (Peacocktrade mark, Nomos Corporation, Sewickley, PA). This system allows tomotherapeutic delivery of intensity-modulated radiation, that is, the slice-by-slice treatment of the volume of interest with an intensity-modulated beam, making the delivery of highly conformal radiation to the target possible in both single or multiple fractions mode. During an 18-month period, 43 (21 males and 22 females) patients were treated, using a removable cranial screw-fixation device. Ages ranged from 10 to 77 years (mean, 52.2; median, 53.5). Intra- and extra-axial lesions, including head and neck malignancies and spine metastases, were treated. Clinical target volume ranged from 0.77 to 195 cm(3) (mean, 47.8; median, 29.90). The dose distribution was normalized to the maximum and was prescribed, in most cases, at the 80% or 90% isodose line (range, 65 to 96%; median, 85%; mean, 83.4%) and ranged from 14 to 80 Gy (mean, 48; median, 50). The number of fractions ranged from 1 to 40 (mean, 23; median, 25). In all but one patient, 90% of the prescription isodose line covered 100% of the clinical target volume. The heterogeneity index (the ratio between the maximum radiation dose and the prescribed dose) ranged between 1.0 and 1.50, whereas the conformity index (the ratio between the volume encompassed by the prescription isodose line and the clinical target volume) ranged between 1.0 and 4.5. There were no complications related to the radiation treatment. With a median follow-up of 6 months, more than 70% of our patients showed decreased lesion size. Stereotactic IMRT of CNS and head and neck lesions can be delivered safely and accurately. The Peacock system delivers stereotactic radiation in single or multiple fractions and has no volume limitations. It has been used to treat intracranial, head and neck, and spinal lesions. The option of fractionation, the lack of volume constraint, and the capability of treating intracranial, head and neck, and spinal pathology make stereotactic IMRT a valuable adjunct to established stereotactic radiotherapy systems delivering convergent-beam irradiation using the Linac or Gamma Knife. In a clinical setting that offers Linac, Gamma Knife radiosurgery, and conformal stereotactic radiotherapy, the latter may have advantages for treating large (> 25-cm(3)) and irregular lesions, especially when fractionation is considered useful.

摘要
https://cdn.ncbi.nlm.nih.gov/pmc/blobs/518e/1656797/57ca6ba376fb/skullbase00006-0028-a.jpg

相似文献

3
Potential clinical efficacy of intensity-modulated conformal therapy.
Int J Radiat Oncol Biol Phys. 1998 Jan 15;40(2):483-95. doi: 10.1016/s0360-3016(97)00819-5.
5
Intensity-modulated radiosurgery for childhood arteriovenous malformations.
Acta Neurochir (Wien). 2005 Nov;147(11):1141-9; discussion 1149-50. doi: 10.1007/s00701-005-0572-9.

引用本文的文献

1
Hypofractionated intensity modulated radiotherapy with temozolomide in newly diagnosed glioblastoma multiforme.
J Clin Neurosci. 2014 Apr;21(4):633-7. doi: 10.1016/j.jocn.2013.09.005. Epub 2013 Oct 3.

本文引用的文献

2
Radiation Therapy Oncology Group: radiosurgery quality assurance guidelines.
Int J Radiat Oncol Biol Phys. 1993 Dec 1;27(5):1231-9. doi: 10.1016/0360-3016(93)90548-a.
3
Stereotactic radiosurgery: a review and comparison of methods.
J Clin Oncol. 1994 May;12(5):1085-99. doi: 10.1200/JCO.1994.12.5.1085.
4
Tolerance of normal tissue to therapeutic irradiation.
Int J Radiat Oncol Biol Phys. 1991 May 15;21(1):109-22. doi: 10.1016/0360-3016(91)90171-y.
5
Variables associated with the development of complications from radiosurgery of intracranial tumors.
Int J Radiat Oncol Biol Phys. 1991 Aug;21(3):591-9. doi: 10.1016/0360-3016(91)90675-t.

文献AI研究员

20分钟写一篇综述,助力文献阅读效率提升50倍。

立即体验

用中文搜PubMed

大模型驱动的PubMed中文搜索引擎

马上搜索

文档翻译

学术文献翻译模型,支持多种主流文档格式。

立即体验