Deutsch H, Kothbauer K, Persky M, Epstein F J, Jallo G I
Skull Base. 2001 May;11(2):121-8. doi: 10.1055/s-2001-14432.
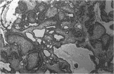
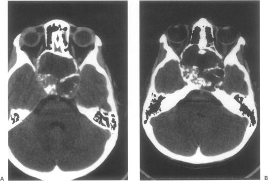
Although craniopharyngiomas account for a large percentage of pediatric intracranial tumors, there is a bimodal age distribution. Most of these neoplasms are suprasellar or sellar in location. In this report we describe an unusual case of an infrasellar craniopharyngioma in a child. Only four previous cases of infrasellar craniopharyngiomas with no sellar involvement have been described. Infrasellar craniopharyngiomas are part of the continuum representing intracranial craniopharyngiomas and ameloblastomas of the jaw. A transnasal endoscopic biopsy was performed with a preliminary diagnosis of craniopharyngioma. The patient then underwent a radical resection of the infrasellar tumor via a subfrontal transbasal approach. This case illustrates a rare and unusual location for a craniopharyngioma. Craniopharyngiomas should be considered in the differential diagnosis of infrasellar neoplasms. Infrasellar craniopharyngiomas compromise part of the spectrum of tumors originating from enamel-forming neural crest cells.
尽管颅咽管瘤在儿童颅内肿瘤中占很大比例,但存在双峰年龄分布。这些肿瘤大多位于鞍上或鞍区。在本报告中,我们描述了一例儿童鞍下颅咽管瘤的罕见病例。此前仅报道过4例无鞍区受累的鞍下颅咽管瘤病例。鞍下颅咽管瘤是颅内颅咽管瘤和颌骨成釉细胞瘤连续谱系的一部分。进行了经鼻内镜活检,初步诊断为颅咽管瘤。然后患者通过额下经基底入路对鞍下肿瘤进行了根治性切除。该病例说明了颅咽管瘤的一个罕见且不寻常的位置。在鞍下肿瘤的鉴别诊断中应考虑颅咽管瘤。鞍下颅咽管瘤是起源于形成釉质的神经嵴细胞的肿瘤谱系的一部分。