Suppr超能文献

Wnt、Hedgehog 和 junctional Armadillo/beta-catenin 在果蝇胚胎中建立平面极性。

Wnt, Hedgehog and junctional Armadillo/beta-catenin establish planar polarity in the Drosophila embryo.

机构信息

Program in Developmental Biology, Sloan-Kettering Institute, Memorial Sloan-Kettering Cancer Center, New York, New York, United States of America.

出版信息

PLoS One. 2006 Dec 20;1(1):e9. doi: 10.1371/journal.pone.0000009.

Abstract

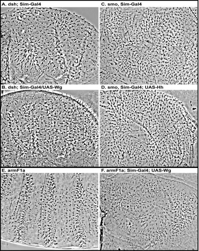
To generate specialized structures, cells must obtain positional and directional information. In multi-cellular organisms, cells use the non-canonical Wnt or planar cell polarity (PCP) signaling pathway to establish directionality within a cell. In vertebrates, several Wnt molecules have been proposed as permissible polarity signals, but none has been shown to provide a directional cue. While PCP signaling components are conserved from human to fly, no PCP ligands have been reported in Drosophila. Here we report that in the epidermis of the Drosophila embryo two signaling molecules, Hedgehog (Hh) and Wingless (Wg or Wnt1), provide directional cues that induce the proper orientation of Actin-rich structures in the larval cuticle. We further find that proper polarity in the late embryo also involves the asymmetric distribution and phosphorylation of Armadillo (Arm or beta-catenin) at the membrane and that interference with this Arm phosphorylation leads to polarity defects. Our results suggest new roles for Hh and Wg as instructive polarizing cues that help establish directionality within a cell sheet, and a new polarity-signaling role for the membrane fraction of the oncoprotein Arm.

摘要

为了生成专门的结构,细胞必须获得位置和方向信息。在多细胞生物中,细胞利用非经典的 Wnt 或平面细胞极性(PCP)信号通路在细胞内建立方向性。在脊椎动物中,已经提出了几种 Wnt 分子作为允许的极性信号,但没有一种被证明能提供方向提示。虽然 PCP 信号成分在人类和苍蝇之间是保守的,但在果蝇中尚未报道有 PCP 配体。在这里,我们报告在果蝇胚胎的表皮中,两种信号分子,Hedgehog(Hh)和 Wingless(Wg 或 Wnt1),提供了方向性提示,诱导幼虫表皮中富含肌动蛋白的结构的正确取向。我们进一步发现,晚期胚胎中的正确极性还涉及 Armadillo(Arm 或β-catenin)在膜上的不对称分布和磷酸化,并且干扰这种 Arm 磷酸化会导致极性缺陷。我们的结果表明 Hh 和 Wg 具有新的作用,作为指导极性的提示,有助于在细胞片中建立方向性,并且膜部分的癌蛋白 Arm 具有新的极性信号作用。

https://cdn.ncbi.nlm.nih.gov/pmc/blobs/5742/1762359/b1374b3ae483/pone.0000009.g001.jpg

文献AI研究员

20分钟写一篇综述,助力文献阅读效率提升50倍。

立即体验

用中文搜PubMed

大模型驱动的PubMed中文搜索引擎

马上搜索

文档翻译

学术文献翻译模型,支持多种主流文档格式。

立即体验