Suppr超能文献

Anorectal and gastric peripheral T-cell lymphoma, unspecified in a non-AIDS patient.

作者信息

Eum Eun-A, Kim Hawk, Kim Young-Min, Woo Soon Joo, Cho Joon Hyun, Min Young Joo, Park Jae-Hoo

机构信息

Department of Internal Medicine, Ulsan University Hospital, University of Ulsan College of Medicine, Ulsan, Korea.

出版信息

Korean J Intern Med. 2006 Dec;21(4):262-5. doi: 10.3904/kjim.2006.21.4.262.

Abstract

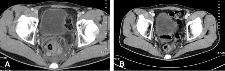
Anorectum is a rare location for malignant lymphoma. Involvement of is rare even for the lynphoma associated with acquired immune deficiency syndrome (AIDS), and AIDS has a relatively increased frequency of anorectal lymphoma. Most lymphomas in AIDS patients are of a B-cell origin, and T-cell lymphoma of the gastrointestinal tract is extremely rare. We report here on a case of anorectal and gastric peripheral T-cell lymphoma, unspecified (PTCLu) in a non-AIDS patient. A previously healthy 29-year-old man presented with hematochezia and tenesmus that he had suffered with for the previous 2 months. Sigmoidoscopy showed anal and rectal submucosal tumor. Multiple round-shaped, flat and elevated lesions were noted on the gastric antrum and body as well. He underwent excisional biopsy for the anal mass and the diagnosis was PTCLu. Biopsies of the gastric lesions gave the same diagnosis. There was no lymphoma involved in the bone marrow. At admission, no antibodies against human immunodeficiency virus were detected. He underwent systemic chemotherapy and upfront autologous stem cell transplantation.

摘要
https://cdn.ncbi.nlm.nih.gov/pmc/blobs/bff0/3891034/12bfaa77ccbd/kjim-21-262-g001.jpg

文献AI研究员

20分钟写一篇综述,助力文献阅读效率提升50倍。

立即体验

用中文搜PubMed

大模型驱动的PubMed中文搜索引擎

马上搜索

文档翻译

学术文献翻译模型,支持多种主流文档格式。

立即体验