Jeong Je Hoon, Koh Jun Seok, Kim Eui Jong
Department of Neurosurgery, Kyung-Hee University, College of Medicine, Seoul 130-701, Korea.
Korean J Radiol. 2007 Jan-Feb;8(1):2-8. doi: 10.3348/kjr.2007.8.1.2.
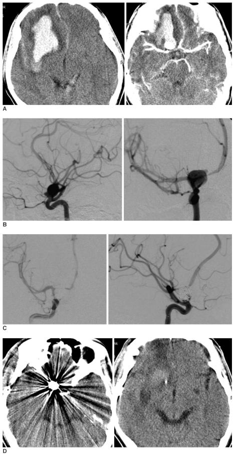
The presence of an intracerebral hematoma from a ruptured aneurysm is a negative predictive factor and it is associated with high morbidity and mortality rates even though clot evacuation followed by the neck clipping is performed. Endovascular coil embolization is a useful alternative procedure to reduce the surgical morbidity and mortality rates. We report here on our experiences with the alternative option of endovascular coil placement followed by craniotomy for clot evacuation.
Among 312 patients who were admitted with intracerebral subarachnoid hemorrhage during the recent three years, 119 cases were treated via the endovascular approach. Nine cases were suspected to show aneurysmal intracerebral hemorrhage (ICH) on CT scan and they underwent emergency cerebral angiograms. We performed immediate coil embolization at the same session of angiographic examination, and this was followed by clot evacuation.
Seven cases showed to have ruptured middle cerebral artery (MCA) aneurysms and two cases had internal carotid artery aneurysms. The clinical status on admission was Hunt-Hess grade (HHG) IV in seven patients and HHG III in two. Surgical evacuation of the clot was done immediately after the endovascular coil placement. The treatment results were a Glasgow Outcome Scale score of good recovery and moderate disability in six patients (66.7%). No mortality was recorded and no procedural morbidity was incurred by both the endovascular and direct craniotomy procedures.
The results indicate that the coil embolization followed by clot evacuation for the patients with aneurysmal ICH may be a less invasive and quite a valuable alternative treatment for this patient group, and this warrants further investigation.
动脉瘤破裂导致的脑内血肿是一个负面预测因素,即便进行了血肿清除术及动脉瘤夹闭术,其仍与高发病率和死亡率相关。血管内弹簧圈栓塞术是一种有助于降低手术发病率和死亡率的替代手术方法。我们在此报告血管内放置弹簧圈后行开颅血肿清除术这一替代方案的经验。
在最近三年因脑内蛛网膜下腔出血入院的312例患者中,119例采用血管内治疗方法。9例在CT扫描时疑似为动脉瘤性脑出血(ICH),并接受了急诊脑血管造影。我们在血管造影检查的同一阶段立即进行弹簧圈栓塞,随后进行血肿清除。
7例显示大脑中动脉(MCA)动脉瘤破裂,2例为颈内动脉瘤。7例患者入院时的临床状态为Hunt-Hess分级(HHG)IV级,2例为HHG III级。在血管内放置弹簧圈后立即进行了手术清除血肿。治疗结果为6例患者(66.7%)的格拉斯哥预后量表评分为恢复良好和中度残疾。未记录到死亡病例,血管内手术和直接开颅手术均未引发手术相关并发症。
结果表明,对于动脉瘤性ICH患者,先进行弹簧圈栓塞再进行血肿清除可能是一种侵入性较小且非常有价值的替代治疗方法,值得进一步研究。