Suppr超能文献

在胚胎干细胞、处于强制退化过程的乳腺以及乳腺癌细胞系中,信号转导和转录激活因子3α(STAT3α)的半胱天冬酶依赖性蛋白水解切割。

Caspase-dependent proteolytic cleavage of STAT3alpha in ES cells, in mammary glands undergoing forced involution and in breast cancer cell lines.

作者信息

Matthews James R, Watson Susan M R, Tevendale Maxine C L, Watson Christine J, Clarke Alan R

机构信息

Department of Mammalian Genetics, Cardiff University, School of Biosciences, Museum Avenue, Cardiff CF10 3US, UK.

出版信息

BMC Cancer. 2007 Feb 12;7:29. doi: 10.1186/1471-2407-7-29.

Abstract

BACKGROUND

The STAT (Signal Transducers and Activators of Transcription) transcription factor family mediates cellular responses to a wide range of cytokines. Activated STATs (particularly STAT3) are found in a range of cancers. Further, STAT3 has anti-apoptotic functions in a range of tumour cell lines. After observing a proteolytic cleavage in STAT3alpha close to a potential apoptotic caspase protease cleavage site we investigated whether STAT3alpha might be a caspase substrate.

METHODS

STAT3alpha status was investigated in vitro in several cell systems:- HM-1 murine embryonic stem (ES) cells following various interventions; IOUD2 murine ES cells following induction to differentiate along neural or adipocyte lineages; and in a number of breast cancer cell lines. STAT3alpha status was also analysed in vivo in wild type murine mammary glands undergoing controlled, forced involution.

RESULTS

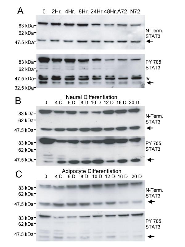
Immunoblotting for STAT3alpha in HM-1 ES cell extracts detected amino and carboxy terminal species of approximately 48 kDa and 43 kDa respectively--which could be diminished dose-dependently by cell treatment with the nitric oxide (NO) donor drug sodium nitroprusside (SNP). UV irradiation of HM-1 ES cells triggered the STAT3alpha cleavage (close to a potential caspase protease cleavage site). Interestingly, the pan-caspase inhibitor z-Val-Ala-DL-Asp-fluoromethylketone (z-VAD-FMK) and the JAK2 tyrosine kinase inhibitor AG490 both inhibited cleavage dose-dependently, and cleavage was significantly lower in a heterozygous JAK2 knockout ES cell clone. STAT3alpha cleavage also occurred in vivo in normal murine mammary glands undergoing forced involution, coinciding with a pulse of phosphorylation of residue Y705 on full-length STAT3alpha. Cleavage also occurred during IOUD2 ES cell differentiation (most strikingly along the neural lineage) and in several human breast cancer cell lines, correlating strongly with Y705 phosphorylation.

CONCLUSION

This study documents a proteolytic cleavage of STAT3alpha into 48 kDa amino and 43 kDa carboxyl terminal fragments in a range of cell types. STAT3alpha cleavage occurs close to a potential caspase site, and can be inhibited dose-dependently by SNP, AG490 and z-VAD-FMK. The cleavage seems to be caspase-dependent and requires the phosphorylation of STAT3alpha at the Y705 residue. This highly regulated STAT3alpha cleavage may play an important role in modulating STAT3 transcriptional activity.

摘要

背景

信号转导与转录激活因子(STAT)转录因子家族介导细胞对多种细胞因子的反应。在多种癌症中发现了活化的STAT(尤其是STAT3)。此外,STAT3在多种肿瘤细胞系中具有抗凋亡功能。在观察到STAT3α靠近潜在的凋亡半胱天冬酶蛋白酶切割位点处发生蛋白水解切割后,我们研究了STAT3α是否可能是半胱天冬酶的底物。

方法

在几种细胞系统中对STAT3α状态进行了体外研究:- 多种干预后的HM-1小鼠胚胎干细胞(ES);诱导沿神经或脂肪细胞谱系分化后的IOUD2小鼠ES细胞;以及多种乳腺癌细胞系。还在经历受控、强制退化的野生型小鼠乳腺中对STAT3α状态进行了体内分析。

结果

在HM-1 ES细胞提取物中对STAT3α进行免疫印迹检测到分别约为48 kDa和43 kDa的氨基和羧基末端物种 - 用一氧化氮(NO)供体药物硝普钠(SNP)处理细胞可使其剂量依赖性减少。对HM-1 ES细胞进行紫外线照射会触发STAT3α切割(靠近潜在的半胱天冬酶蛋白酶切割位点)。有趣的是,泛半胱天冬酶抑制剂z-Val-Ala-DL-Asp-氟甲基酮(z-VAD-FMK)和JAK2酪氨酸激酶抑制剂AG490均剂量依赖性抑制切割,并且在杂合JAK2基因敲除ES细胞克隆中切割明显更低。在经历强制退化的正常小鼠乳腺中体内也发生了STAT3α切割,这与全长STAT3α上Y705残基的磷酸化脉冲同时发生。在IOUD2 ES细胞分化过程中(最明显是沿神经谱系)以及几种人乳腺癌细胞系中也发生了切割,与Y705磷酸化密切相关。

结论

本研究记录了在一系列细胞类型中STAT3α蛋白水解切割为48 kDa氨基末端和43 kDa羧基末端片段的过程。STAT3α切割发生在靠近潜在半胱天冬酶位点处,并且可被SNP、AG490和z-VAD-FMK剂量依赖性抑制。这种切割似乎是半胱天冬酶依赖性的,并且需要STAT3α在Y705残基处磷酸化。这种高度调控的STAT3α切割可能在调节STAT3转录活性中起重要作用。

https://cdn.ncbi.nlm.nih.gov/pmc/blobs/cce1/1800902/4975e529b774/1471-2407-7-29-1.jpg

相似文献

2
Phosphorylation and activation of STAT proteins by hypoxia in breast cancer cells.
Breast. 2006 Apr;15(2):187-95. doi: 10.1016/j.breast.2005.05.005. Epub 2005 Aug 3.
3
WP1066 disrupts Janus kinase-2 and induces caspase-dependent apoptosis in acute myelogenous leukemia cells.
Cancer Res. 2007 Dec 1;67(23):11291-9. doi: 10.1158/0008-5472.CAN-07-0593.
4
p53 mediates a default programme of mammary gland involution in the absence of STAT3.
Oncogene. 2005 Apr 28;24(19):3083-90. doi: 10.1038/sj.onc.1208512.
5
Abrogation of constitutive STAT3 activity sensitizes human hepatoma cells to TRAIL-mediated apoptosis.
J Hepatol. 2007 Oct;47(4):546-55. doi: 10.1016/j.jhep.2007.04.017. Epub 2007 Jun 6.
8
Leptin enhances STAT-3 phosphorylation in HC11 cell line: effect on cell differentiation and cell viability.
Mol Cell Endocrinol. 2007 Jan 15;263(1-2):149-55. doi: 10.1016/j.mce.2006.09.010. Epub 2006 Oct 30.
9
Effects of polyamine depletion by alpha-difluoromethylornithine on in vitro and in vivo biological properties of 4T1 murine mammary cancer cells.
Breast Cancer Res Treat. 2008 Jan;107(1):33-40. doi: 10.1007/s10549-007-9533-8. Epub 2007 Feb 27.

本文引用的文献

1
Stat3 cleavage by caspases: impact on full-length Stat3 expression, fragment formation, and transcriptional activity.
J Biol Chem. 2006 Jun 30;281(26):17707-17. doi: 10.1074/jbc.M600088200. Epub 2006 Apr 24.
2
The STAT3 isoforms alpha and beta have unique and specific functions.
Nat Immunol. 2004 Apr;5(4):401-9. doi: 10.1038/ni1052. Epub 2004 Mar 14.
3
The STATs of cancer--new molecular targets come of age.
Nat Rev Cancer. 2004 Feb;4(2):97-105. doi: 10.1038/nrc1275.
5
Non-apoptotic functions of caspases in cellular proliferation and differentiation.
Biochem Pharmacol. 2003 Oct 15;66(8):1453-8. doi: 10.1016/s0006-2952(03)00497-0.
6
Specific involvement of caspases in the differentiation of monocytes into macrophages.
Blood. 2002 Dec 15;100(13):4446-53. doi: 10.1182/blood-2002-06-1778. Epub 2002 Aug 8.
7
Stats: transcriptional control and biological impact.
Nat Rev Mol Cell Biol. 2002 Sep;3(9):651-62. doi: 10.1038/nrm909.
8
Caspase 3 activity is required for skeletal muscle differentiation.
Proc Natl Acad Sci U S A. 2002 Aug 20;99(17):11025-30. doi: 10.1073/pnas.162172899. Epub 2002 Aug 12.

文献AI研究员

20分钟写一篇综述,助力文献阅读效率提升50倍。

立即体验

用中文搜PubMed

大模型驱动的PubMed中文搜索引擎

马上搜索

文档翻译

学术文献翻译模型,支持多种主流文档格式。

立即体验