• 文献检索
  • 文档翻译
  • 深度研究
  • 学术资讯
  • Suppr Zotero 插件Zotero 插件
  • 邀请有礼
  • 套餐&价格
  • 历史记录
应用&插件
Suppr Zotero 插件Zotero 插件浏览器插件Mac 客户端Windows 客户端微信小程序
定价
高级版会员购买积分包购买API积分包
服务
文献检索文档翻译深度研究API 文档MCP 服务
关于我们
关于 Suppr公司介绍联系我们用户协议隐私条款
关注我们

Suppr 超能文献

核心技术专利:CN118964589B侵权必究
粤ICP备2023148730 号-1Suppr @ 2026

文献检索

告别复杂PubMed语法,用中文像聊天一样搜索,搜遍4000万医学文献。AI智能推荐,让科研检索更轻松。

立即免费搜索

文件翻译

保留排版,准确专业,支持PDF/Word/PPT等文件格式,支持 12+语言互译。

免费翻译文档

深度研究

AI帮你快速写综述,25分钟生成高质量综述,智能提取关键信息,辅助科研写作。

立即免费体验

将分离的胰岛素受体插入胎盘膜囊泡。

Insertion of isolated insulin receptors into placental membrane vesicles.

作者信息

Christiansen K, Carlsen J

机构信息

Department of Biochemistry C, University of Copenhagen, Denmark.

出版信息

Biochem J. 1992 Jan 15;281 ( Pt 2)(Pt 2):425-30. doi: 10.1042/bj2810425.

DOI:10.1042/bj2810425
PMID:1736892
原文链接:https://pmc.ncbi.nlm.nih.gov/articles/PMC1130702/
Abstract

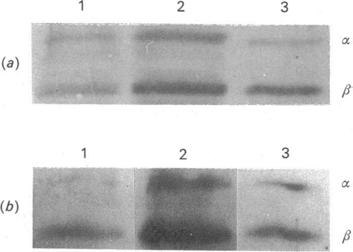
Purified human insulin receptors were inserted into placental plasma-membrane vesicles by fusion of membranes with receptor-lysophosphatidylcholine micelles. Scatchard analysis of insulin binding showed that about 10-15% of the added receptors became inserted into the membrane. The receptor number could be increased about 3-fold, corresponding to approx. 5 pmol of receptor/mg of membrane protein. The receptors became firmly bound to the membrane, as they could not be removed by extensive wash. The insertion of exogenous receptors could be demonstrated by immunoblotting. The inserted insulin receptor had the same insulin-binding affinity as the isolated receptor and the endogenous receptor of the membrane. Insulin binding in the presence or absence of Triton X-100 revealed that more than 80% of the exogenous receptors had a right-side-out orientation. Function of the inserted receptors, as observed by insulin-stimulated autophosphorylation, could be demonstrated. About 80% of the added lysophospholipid, corresponding to approx. 160 nmol of lysophospholipid/mg of membrane protein, became integrated into the membrane and was partly metabolized to phospholipid and to non-esterified fatty acid. The method of insertion of isolated insulin receptors using the natural detergent, lysophospholipid, may be a method for insertion of receptors into intact cells, where the lysophospholipid, as in the plasma-membrane vesicles, will be acylated to phospholipid.

摘要

通过将膜与受体 - 溶血磷脂酰胆碱胶束融合,将纯化的人胰岛素受体插入胎盘质膜囊泡中。胰岛素结合的Scatchard分析表明,约10 - 15%添加的受体插入到膜中。受体数量可增加约3倍,相当于每毫克膜蛋白约5 pmol受体。受体与膜紧密结合,因为通过大量洗涤无法将其去除。通过免疫印迹可证明外源受体的插入。插入的胰岛素受体与分离的受体以及膜的内源性受体具有相同的胰岛素结合亲和力。在有或没有Triton X - 100存在的情况下进行胰岛素结合实验表明,超过80%的外源受体具有外翻取向。通过胰岛素刺激的自身磷酸化观察到,插入的受体功能可以得到证明。约80%添加的溶血磷脂,相当于每毫克膜蛋白约160 nmol溶血磷脂,整合到膜中,并部分代谢为磷脂和非酯化脂肪酸。使用天然去污剂溶血磷脂插入分离的胰岛素受体的方法,可能是一种将受体插入完整细胞的方法,在完整细胞中,溶血磷脂就像在质膜囊泡中一样,会被酰化为磷脂。

https://cdn.ncbi.nlm.nih.gov/pmc/blobs/f204/1130702/20141444a0ad/biochemj00143-0132-b.jpg
https://cdn.ncbi.nlm.nih.gov/pmc/blobs/f204/1130702/d75ba850d119/biochemj00143-0132-a.jpg
https://cdn.ncbi.nlm.nih.gov/pmc/blobs/f204/1130702/20141444a0ad/biochemj00143-0132-b.jpg
https://cdn.ncbi.nlm.nih.gov/pmc/blobs/f204/1130702/d75ba850d119/biochemj00143-0132-a.jpg
https://cdn.ncbi.nlm.nih.gov/pmc/blobs/f204/1130702/20141444a0ad/biochemj00143-0132-b.jpg

相似文献

1
Insertion of isolated insulin receptors into placental membrane vesicles.将分离的胰岛素受体插入胎盘膜囊泡。
Biochem J. 1992 Jan 15;281 ( Pt 2)(Pt 2):425-30. doi: 10.1042/bj2810425.
2
Incorporation of the purified human placental insulin receptor into phospholipid vesicles.将纯化的人胎盘胰岛素受体整合到磷脂囊泡中。
Biochemistry. 1985 Nov 5;24(23):6571-80. doi: 10.1021/bi00344a040.
3
Insertion of functional intact insulin receptors into hepatocytes.将功能完整的胰岛素受体插入肝细胞。
Cell Signal. 1995 Aug;7(6):583-9. doi: 10.1016/0898-6568(95)00032-k.
4
Functional differences in insulin receptors in rat adipocyte and human placenta membranes.大鼠脂肪细胞和人胎盘膜中胰岛素受体的功能差异。
Endocrinology. 1988 Mar;122(3):967-75. doi: 10.1210/endo-122-3-967.
5
Effects of beta-naphthoflavone on insulin receptor binding and protein kinase activity in rat liver and placenta.β-萘黄酮对大鼠肝脏和胎盘胰岛素受体结合及蛋白激酶活性的影响。
Mol Pharmacol. 1988 Mar;33(3):250-6.
6
Insulin receptor interaction in human placental plasma membranes.人胎盘质膜中的胰岛素受体相互作用。
Rev Esp Fisiol. 1981 Sep;37(3):269-76.
7
Structural determinants of ligand recognition by type I insulin-like growth factor receptors: use of semisynthetic insulin analog probes.I型胰岛素样生长因子受体对配体识别的结构决定因素:半合成胰岛素类似物探针的应用
Endocrinology. 1988 Jun;122(6):2881-7. doi: 10.1210/endo-122-6-2881.
8
Insulin promotes and cyclic adenosine 3',5'-monophosphate impairs functional insertion of insulin receptors in the plasma membrane of rat adipocytes: evidence for opposing effects of tyrosine and serine/threonine phosphorylation.胰岛素促进而环磷酸腺苷(cAMP)损害大鼠脂肪细胞质膜中胰岛素受体的功能性插入:酪氨酸和丝氨酸/苏氨酸磷酸化产生相反作用的证据。
Endocrinology. 1997 Feb;138(2):607-12. doi: 10.1210/endo.138.2.4948.
9
High affinity insulin binding in the human placenta insulin receptor requires alpha beta heterodimeric subunit interactions.人胎盘胰岛素受体中的高亲和力胰岛素结合需要αβ异二聚体亚基相互作用。
J Membr Biol. 1989 Jun;108(3):217-25. doi: 10.1007/BF01871736.
10
Transfer of functional insulin receptors to receptor-deficient target cells.功能性胰岛素受体向受体缺陷靶细胞的转移。
Endocrinology. 1988 Jun;122(6):2865-72. doi: 10.1210/endo-122-6-2865.

本文引用的文献

1
High de novo synthesis of glycerolipids compared to deacylation-reacylation in rat liver microsomes.与大鼠肝微粒体中的去酰化-再酰化相比,甘油脂质的从头合成较高。
Biochim Biophys Acta. 1982 Sep 14;712(3):605-15. doi: 10.1016/0005-2760(82)90289-2.
2
Quantitative electrophoretic transfer of polypeptides from SDS polyacrylamide gels to nitrocellulose sheets: a method for their re-use in immunoautoradiographic detection of antigens.多肽从十二烷基硫酸钠聚丙烯酰胺凝胶到硝酸纤维素膜的定量电泳转移:一种用于在免疫放射自显影检测抗原中重复使用它们的方法。
J Immunol Methods. 1982 Jun 11;51(2):241-9. doi: 10.1016/0022-1759(82)90263-0.
3
Purification of insulin receptor with full binding activity.
具有完全结合活性的胰岛素受体的纯化。
J Biol Chem. 1983 Apr 25;258(8):5045-9.
4
Reconstitution of a protein into lipid vesicles using natural detergents.使用天然去污剂将蛋白质重组到脂质囊泡中。
Biochim Biophys Acta. 1983 Nov 9;735(2):225-33. doi: 10.1016/0005-2736(83)90297-3.
5
Cleavage of structural proteins during the assembly of the head of bacteriophage T4.在噬菌体T4头部组装过程中结构蛋白的切割
Nature. 1970 Aug 15;227(5259):680-5. doi: 10.1038/227680a0.
6
Immunization, isolation of immunoglobulins, estimation of antibody titre.免疫接种、免疫球蛋白的分离、抗体滴度的测定。
Scand J Immunol Suppl. 1973;1:161-4. doi: 10.1111/j.1365-3083.1973.tb03798.x.
7
Reconstitution of cytochrome b5 into lipid vesicles in a form which is nonsusceptible to attack by carboxypeptidase Y.将细胞色素b5以不易受羧肽酶Y攻击的形式重组成脂质体。
Biochim Biophys Acta. 1985 May 14;815(2):215-22. doi: 10.1016/0005-2736(85)90292-5.
8
Autophosphorylation of the insulin receptor in vitro. Designation of phosphorylation sites and correlation with receptor kinase activation.胰岛素受体的体外自磷酸化。磷酸化位点的确定及其与受体激酶激活的相关性。
J Biol Chem. 1986 Sep 15;261(26):11980-5.
9
Incorporation of cytochrome b5 into endoplasmic reticulum vesicles as protein-lysophospholipid micelles.细胞色素b5以内质网囊泡的形式作为蛋白质-溶血磷脂胶束掺入。
Biochim Biophys Acta. 1986 Sep 11;860(3):503-9. doi: 10.1016/0005-2736(86)90547-x.
10
The insulin receptor: molecular biology and transmembrane signaling.胰岛素受体:分子生物学与跨膜信号传导
Endocr Rev. 1987 Aug;8(3):235-55. doi: 10.1210/edrv-8-3-235.