Suppr超能文献

蛋白酶体(多催化蛋白酶)的分子相互作用。蛋白酶体并非“26S”多酶复合体组成成分的证据。

Molecular interaction of the proteasome (multicatalytic proteinase). Evidence that the proteasome is not a constituent of the '26 S' multienzyme complex.

作者信息

Seelig A, Kloetzel P M, Kuehn L, Dahlmann B

机构信息

ZMBH/Molekulare Genetik, Universität Heidelberg, Federal Republic of Germany.

出版信息

Biochem J. 1991 Nov 15;280 ( Pt 1)(Pt 1):225-32. doi: 10.1042/bj2800225.

Abstract

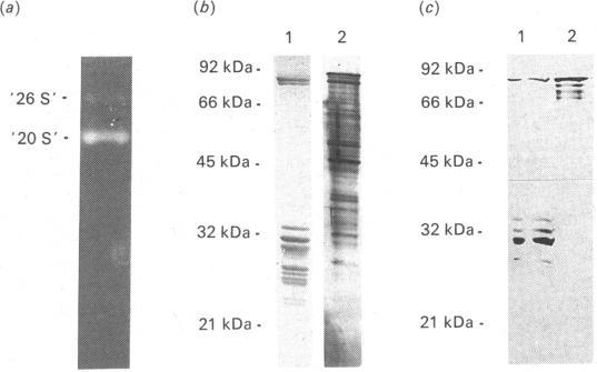
On the basis of recent reports that suggested that proteasomes, via an ATP-dependent process, become integral components of a '26 S' complex possessing 3-carboxypropionyl-Leu-Leu-Val-Tyr 4-methylcoumarin-7-ylamide-hydrolysing activity, we have investigated the molecular interaction of proteasomes in ATP-stabilized fraction II (proteins absorbed on DEAE-matrix and eluted with 0.5 M-KCl) of rabbit reticulocytes and mouse liver. Analysis of the various extracts by (NH4)2SO4 fractionation, velocity-gradient centrifugation, non-denaturing PAGE and SDS/PAGE and immunoblotting with proteasome-specific antisera failed to identify the proteasome as part of a higher-molecular-mass '26 S' multienzyme complex. In all instances proteasomes are identified in their 'free' 650 kDa '20 S' form. In addition to the proteasome and independent of the presence of MgATP, we isolated a high-molecular-mass proteinase whose electrophoretic migration behaviour and sedimentation rate correspond to that of the previously described '26 S' proteinase. This '26 S' proteinase possesses a strong 3-carboxypropionyl-Leu-Leu-Val-Tyr 4-methylcoumarin-7-ylamide-hydrolysing activity and is composed of several non-identical polypeptides in the molecular-mass range 20-150 kDa. Despite its similarity to proteasomal enzyme activity, protein analysis and immunoblotting experiments demonstrate that neither the intact proteasome nor subunits thereof are components of the '26 S' proteinase complex.

摘要

近期有报道称,蛋白酶体通过一个ATP依赖的过程,成为具有3-羧基丙酰基-亮氨酸-亮氨酸-缬氨酸-酪氨酸4-甲基香豆素-7-酰胺水解活性的“26S”复合物的组成部分。基于此,我们研究了兔网织红细胞和小鼠肝脏中ATP稳定的组分II(吸附在DEAE基质上并用0.5M - KCl洗脱的蛋白质)中蛋白酶体的分子相互作用。通过硫酸铵分级分离、速度梯度离心、非变性聚丙烯酰胺凝胶电泳(PAGE)、十二烷基硫酸钠/聚丙烯酰胺凝胶电泳(SDS/PAGE)以及用蛋白酶体特异性抗血清进行免疫印迹分析各种提取物,均未能将蛋白酶体鉴定为高分子量“26S”多酶复合物的一部分。在所有情况下,蛋白酶体均以其“游离”的650kDa“20S”形式被鉴定出来。除了蛋白酶体且与MgATP的存在无关外,我们分离出了一种高分子量蛋白酶,其电泳迁移行为和沉降速率与先前描述的“26S”蛋白酶一致。这种“26S”蛋白酶具有很强 的3-羧基丙酰基-亮氨酸-亮氨酸-缬氨酸-酪氨酸4-甲基香豆素-7-酰胺水解活性,由几种分子量在20 - 150kDa范围内的不同多肽组成。尽管其与蛋白酶体酶活性相似,但蛋白质分析和免疫印迹实验表明,完整的蛋白酶体及其亚基均不是“26S”蛋白酶复合物的组成部分。

https://cdn.ncbi.nlm.nih.gov/pmc/blobs/330a/1130624/a75fdf9c4df4/biochemj00147-0222-a.jpg

文献检索

告别复杂PubMed语法,用中文像聊天一样搜索,搜遍4000万医学文献。AI智能推荐,让科研检索更轻松。

立即免费搜索

文件翻译

保留排版,准确专业,支持PDF/Word/PPT等文件格式,支持 12+语言互译。

免费翻译文档

深度研究

AI帮你快速写综述,25分钟生成高质量综述,智能提取关键信息,辅助科研写作。

立即免费体验