Loddenkemper Christoph, Longerich Thomas, Hummel Michael, Ernestus Karen, Anagnostopoulos Ioannis, Dienes Hans-Peter, Schirmacher Peter, Stein Harald
Institute of Pathology, Charité-University Medicine Berlin, Berlin, Germany.
Virchows Arch. 2007 May;450(5):493-502. doi: 10.1007/s00428-007-0384-9. Epub 2007 Mar 13.
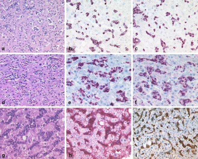
The recent World Health Organization (WHO) classification of hematopoietic and lymphoid tissue tumors represents the first worldwide consensus classification of these malignancies. However, the applicability of this classification to a representative number of hepatic lymphomas in liver biopsy specimens has not yet been investigated. The frequency and infiltration pattern of a series of 205 liver biopsies with lymphoma manifestations was analyzed with the aid of immunohistochemical and molecular pathological analyses. Diffuse large B-cell lymphoma (DLBCL) was by far the most frequent entity, comprising 45% of the cases analyzed. Using a previously published immunohistochemical algorithm, 35% of 80 DLBCL were assigned to a germinal center B-cell-like (GCB) and 65% to a non-GCB group. Most B-cell lymphoma entities involving the liver revealed a characteristic infiltration pattern. Diagnostically challenging entities were T-cell-rich B-cell lymphomas, anaplastic large cell lymphomas and peripheral T-cell lymphomas, which frequently required additional molecular clonality assessment. Overall, the percentage of T-cell lymphomas in the liver (12%) was higher as compared to other extranodal sites except for the skin and the small intestine. This study provides relevant data on the distribution of hepatic lymphomas and demonstrates the applicability of the WHO classification proposing a diagnostic algorithm for liver biopsies.
世界卫生组织(WHO)近期对造血和淋巴组织肿瘤的分类是这些恶性肿瘤在全球范围内的首个共识分类。然而,该分类在肝活检标本中对具有代表性数量的肝淋巴瘤的适用性尚未得到研究。借助免疫组织化学和分子病理学分析,对一系列205例有淋巴瘤表现的肝活检标本的发生频率和浸润模式进行了分析。弥漫性大B细胞淋巴瘤(DLBCL)是迄今为止最常见的类型,占所分析病例的45%。使用先前发表的免疫组织化学算法,80例DLBCL中有35%被归类为生发中心B细胞样(GCB)组,65%被归类为非GCB组。大多数累及肝脏的B细胞淋巴瘤实体呈现出特征性的浸润模式。诊断具有挑战性的实体是富含T细胞的B细胞淋巴瘤、间变性大细胞淋巴瘤和外周T细胞淋巴瘤,这些通常需要额外的分子克隆性评估。总体而言,肝脏中T细胞淋巴瘤的比例(12%)高于除皮肤和小肠外的其他结外部位。本研究提供了关于肝淋巴瘤分布的相关数据,并证明了WHO分类对肝活检提出诊断算法的适用性。