Suppr超能文献

袖状支气管切除术治疗原发性肺多形性低度腺癌:一例报告

Primary polymorphous low-grade adenocarcinoma of lung treated by sleeve bronchial resection: a case report.

作者信息

Cho Kyu Do, Jung Ji Han, Cho Deog Gon, Jo Min Seop, Yoo Jinyoung, Song So Hyang, Shim Byoung Yong, Kim Chi Hong, Kim Hoon-Kyo

机构信息

Department of Thoracic & Cardiovascular Surgery, St.Vincent's Hospital, College of Medicine, The Catholic University of Korea, 93-6 Ji-dong, Paldal-gu, Suwon, Korea.

出版信息

J Korean Med Sci. 2007 Apr;22(2):373-6. doi: 10.3346/jkms.2007.22.2.373.

Abstract

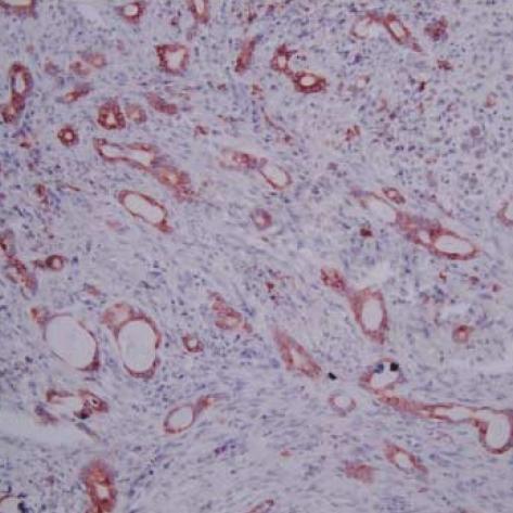
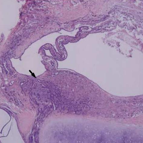
We report a surgical case of primary polymorphous low-grade adenocarcinoma (PLGA) of the minor salivary gland-type of the lung. A PLGA originating from the right upper lobar bronchial inlet was successfully treated by sleeve right upper lobectomy. PLGAs are thought to be indolent tumors that are preferentially localized to the palate, and they affect the minor salivary glands almost exclusively. Until now, two cases of distant metastases to the lung have been reported in the English literature. To the best of our knowledge, only one case of PLGA of minor salivary gland-type of the lung without evidence of a previous oropharyngeal primary tumor has been reported in the English literature. But the case was not a single lesion; it was bilateral tumors accompanied by tumors of the cervical lymph nodes. We report here the first case of a single primary PLGA of the minor salivary gland-type of the lung, which was successfully treated by sleeve bronchial resection of right upper lobe.

摘要

我们报告一例肺小涎腺型原发性多形性低度恶性腺癌(PLGA)的外科病例。起源于右上叶支气管入口处的PLGA通过袖状右上叶切除术成功治疗。PLGA被认为是生长缓慢的肿瘤,主要局限于腭部,几乎仅累及小涎腺。迄今为止,英文文献中已报道两例发生肺远处转移的病例。据我们所知,英文文献中仅报道过一例无先前口咽原发性肿瘤证据的肺小涎腺型PLGA病例。但该病例并非单一病灶;而是双侧肿瘤并伴有颈部淋巴结肿瘤。我们在此报告首例肺小涎腺型单一原发性PLGA病例,该病例通过右上叶袖状支气管切除术成功治疗。

https://cdn.ncbi.nlm.nih.gov/pmc/blobs/60e3/2693612/d51f1a7d50b8/jkms-22-373-g001.jpg

文献AI研究员

20分钟写一篇综述,助力文献阅读效率提升50倍。

立即体验

用中文搜PubMed

大模型驱动的PubMed中文搜索引擎

马上搜索

文档翻译

学术文献翻译模型,支持多种主流文档格式。

立即体验