Russnak R H
Department of Biochemistry, University of Rochester Medical Center, NY 14642.
Nucleic Acids Res. 1991 Dec 11;19(23):6449-56. doi: 10.1093/nar/19.23.6449.
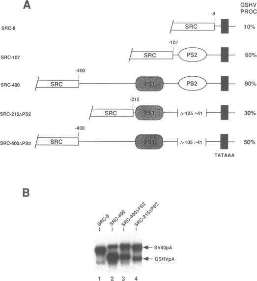
Hepatitis B viruses replicate by reverse transcription of a genomic RNA which harbors terminal redundancies. The synthesis of this RNA requires that transcription proceed twice through the polyadenylation (pA) site which, in mammalian strains, is flanked by the variant hexanucleotide UAUAAA and a T-rich downstream domain. These core elements are by themselves virtually defective in 3' end processing and require multiple upstream accessory elements which regulate pA site use. In ground squirrel hepatitis B virus (GSHV), one of these signals (PS1; -215 to -107 relative to UAUAAA) is transcribed only at the 3' end of genomic RNA and as such is analogous to retroviral U3 sequences. PS1 cooperates with other signals to enhance pA site use to very high levels and can be further sub-divided into two regions (A and B) which contribute equally to 3' end processing. Critical residues within PS1B have been localized to a 15 bp A/T-rich stretch which displays homology to other known upstream activating signals. A 15 bp segment within PS1A which has the identical A/T content but a divergent primary sequence plays a diminished role in processing. Furthermore, PS1 can activate GSHV core element usage autonomously. This stimulation has been shown to be additive since multiple copies of PS1 progressively increase polyadenylation, a phenomenon which also demands that PS1 exert its influence from a variety of distances from the hexanucleotide signal.