Suppr超能文献

一名CA 19-9升高患者的腹腔镜脾全囊肿切除术

Laparoscopic splenic total cystectomy in a patient with elevated CA 19-9.

作者信息

Paksoy Melih, Karabicak Ilhan, Kusaslan Ramazan, Demiryas Suleyman, Ayan Fadil, Ertem Metin

机构信息

Department of General Surgery, Cerrahpasa Medical School of Istanbul University, Istanbul, Turkey.

出版信息

JSLS. 2006 Oct-Dec;10(4):507-10.

Abstract

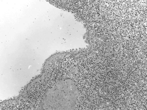
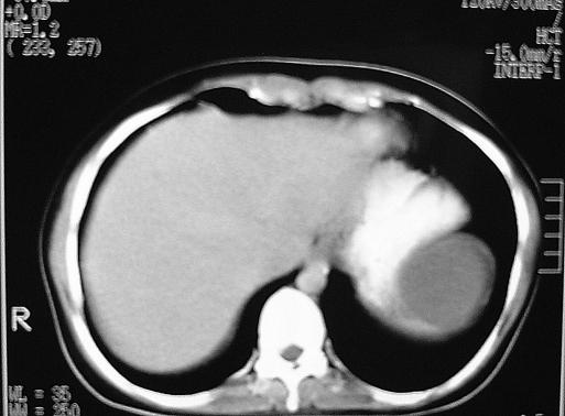
True nonparasitic splenic cysts are rare. Reports of approximately 30 cases of benign true splenic cysts producing elevated CA 19-9 serum levels have been published. The traditional treatment of splenic epidermoid cysts is splenectomy. However, with all the advances in laparoscopic surgery, conservative laparoscopic approaches are accepted as the most preferred techniques for this benign disease. Laparoscopic cystectomy with its minimal invasiveness and low morbidity is the ideal technique for properly selected patients. So far, only one case report of laparoscopic cystectomy for splenic epidermoid cyst with elevated CA 19-9 levels has been published. This is the second known report of this procedure being performed to remove a splenic epidermoid cyst in a patient with elevated CA 19-9 levels.

摘要

真性非寄生虫性脾囊肿较为罕见。已发表了约30例良性真性脾囊肿导致血清CA 19-9水平升高的报告。脾表皮样囊肿的传统治疗方法是脾切除术。然而,随着腹腔镜手术的所有进展,保守的腹腔镜手术方法被认为是治疗这种良性疾病的最优选技术。具有微创性和低发病率的腹腔镜囊肿切除术是为适当选择的患者的理想技术。到目前为止,仅发表了一例腹腔镜囊肿切除术治疗CA 19-9水平升高的脾表皮样囊肿的病例报告。这是该手术用于切除CA 19-9水平升高患者的脾表皮样囊肿的第二例已知报告。

https://cdn.ncbi.nlm.nih.gov/pmc/blobs/b611/3015757/dd1b9faee838/jsls-10-4-507-g01.jpg

文献检索

告别复杂PubMed语法,用中文像聊天一样搜索,搜遍4000万医学文献。AI智能推荐,让科研检索更轻松。

立即免费搜索

文件翻译

保留排版,准确专业,支持PDF/Word/PPT等文件格式,支持 12+语言互译。

免费翻译文档

深度研究

AI帮你快速写综述,25分钟生成高质量综述,智能提取关键信息,辅助科研写作。

立即免费体验