• 文献检索
  • 文档翻译
  • 深度研究
  • 学术资讯
  • Suppr Zotero 插件Zotero 插件
  • 邀请有礼
  • 套餐&价格
  • 历史记录
应用&插件
Suppr Zotero 插件Zotero 插件浏览器插件Mac 客户端Windows 客户端微信小程序
定价
高级版会员购买积分包购买API积分包
服务
文献检索文档翻译深度研究API 文档MCP 服务
关于我们
关于 Suppr公司介绍联系我们用户协议隐私条款
关注我们

Suppr 超能文献

核心技术专利:CN118964589B侵权必究
粤ICP备2023148730 号-1Suppr @ 2026

文献检索

告别复杂PubMed语法,用中文像聊天一样搜索,搜遍4000万医学文献。AI智能推荐,让科研检索更轻松。

立即免费搜索

文件翻译

保留排版,准确专业,支持PDF/Word/PPT等文件格式,支持 12+语言互译。

免费翻译文档

深度研究

AI帮你快速写综述,25分钟生成高质量综述,智能提取关键信息,辅助科研写作。

立即免费体验

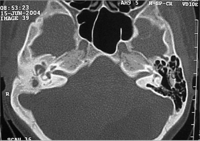
Middle ear papilloma.

作者信息

Santos Torres Sandro de Menezes, Castro Thomas Wagner, Bento Ricardo Ferreira, Lessa Hélio Andrade

机构信息

Otorhinolaryngology Residency at UFBA.

出版信息

Braz J Otorhinolaryngol. 2007 May-Jun;73(3):431. doi: 10.1016/s1808-8694(15)30092-6.

DOI:10.1016/s1808-8694(15)30092-6
PMID:17684669
原文链接:https://pmc.ncbi.nlm.nih.gov/articles/PMC9445732/
Abstract
摘要
https://cdn.ncbi.nlm.nih.gov/pmc/blobs/2872/9445732/ace508c248a4/gr1.jpg
https://cdn.ncbi.nlm.nih.gov/pmc/blobs/2872/9445732/ace508c248a4/gr1.jpg
https://cdn.ncbi.nlm.nih.gov/pmc/blobs/2872/9445732/ace508c248a4/gr1.jpg

相似文献

1
Middle ear papilloma.中耳乳头状瘤
Braz J Otorhinolaryngol. 2007 May-Jun;73(3):431. doi: 10.1016/s1808-8694(15)30092-6.
2
Tinnitus as an unusual presentation of Schneiderian papillomatosis.耳鸣作为嗅神经母细胞瘤的一种不常见表现。
Ir J Med Sci. 2011 Jun;180(2):597-9. doi: 10.1007/s11845-008-0268-2. Epub 2009 Jan 8.
3
A case of middle-ear cavernous lymphangioma with facial palsy.
J Laryngol Otol. 2011 Apr;125(4):405-9. doi: 10.1017/S0022215110002598. Epub 2010 Dec 16.
4
[Non-Hodgkin's lymphoma: a differential diagnosis of otogenic facial paralysis].[非霍奇金淋巴瘤:耳源性面瘫的鉴别诊断]
HNO. 1991 Mar;39(3):98-101.
5
[Myxoma of the middle ear-a rare cause of facial palsy].[中耳黏液瘤——面神经麻痹的罕见病因]
HNO. 2008 Feb;56(2):165-8. doi: 10.1007/s00106-006-1501-9.
6
[Peripheral facial paralysis caused by an adenocarcinoma of the middle ear].[中耳腺癌引起的周围性面瘫]
Ugeskr Laeger. 2005 Apr 25;167(17):1863-4.
7
Middle ear adenoma diagnosed by recurrent facial paralysis.通过复发性面神经麻痹诊断的中耳腺瘤
Auris Nasus Larynx. 2009 Feb;36(1):75-8. doi: 10.1016/j.anl.2007.12.006. Epub 2008 Mar 6.
8
Middle-ear paraganglioma masquerading as traumatic facial nerve palsy.伪装成外伤性面神经麻痹的中耳副神经节瘤。
ORL J Otorhinolaryngol Relat Spec. 1991;53(3):177-9. doi: 10.1159/000276213.
9
Bilateral acquired external auditory canal stenosis with squamous papilloma: a case report.双侧获得性外耳道狭窄伴鳞状乳头状瘤:一例报告
Kulak Burun Bogaz Ihtis Derg. 2011 Jan-Feb;21(1):42-5.
10
[Peripheral facial paralysis in adenocarcinoma of the middle ear].[中耳腺癌中的周围性面瘫]
Ugeskr Laeger. 2005 May 30;167(22):2428-9; author reply 2429.

引用本文的文献

1
Inverted Papilloma of the Middle Ear: Two New Cases and Systematic Review.中耳内翻性乳头状瘤:两例新病例及系统综述
Allergy Rhinol (Providence). 2022 Oct 26;13:21526575221130711. doi: 10.1177/21526575221130711. eCollection 2022 Jan-Dec.
2
Middle Ear and Temporal Bone Papilloma: A Clinicopathologic Study and Comprehensive Literature Review of 57 Cases.中耳及颞骨乳头状瘤:57 例临床病理研究及文献综述
Head Neck Pathol. 2021 Dec;15(4):1212-1220. doi: 10.1007/s12105-021-01334-4. Epub 2021 May 21.
3
Middle ear squamous papilloma: A report of four cases analyzed by HPV and EBV hybridization.

本文引用的文献

1
Primary inverted papilloma of the middle ear and mastoid.中耳和乳突原发性内翻性乳头状瘤
Otol Neurotol. 2002 Jul;23(4):555-9. doi: 10.1097/00129492-200207000-00027.
2
Clinical and molecular pathology of aggressive Schneiderian papilloma involving the temporal bone.累及颞骨的侵袭性内翻性乳头状瘤的临床与分子病理学
Head Neck. 1998 Jan;20(1):83-8. doi: 10.1002/(sici)1097-0347(199801)20:1<83::aid-hed14>3.0.co;2-q.
3
Schneiderian-type mucosal papillomas of the middle ear and mastoid.中耳和乳突的施耐德氏型黏膜乳头状瘤。
中耳鳞状乳头瘤:4例经人乳头瘤病毒和EB病毒杂交分析的病例报告
Oncol Lett. 2014 Jan;7(1):41-46. doi: 10.3892/ol.2013.1675. Epub 2013 Nov 11.
4
Papillomas of the external ear canal: report of ten cases in Chinese patients with HPV in situ hybridization.外耳道乳头状瘤:10例中国患者HPV原位杂交报告
Head Neck Pathol. 2009 Sep;3(3):207-11. doi: 10.1007/s12105-009-0131-4. Epub 2009 Aug 2.
Ann Otol Rhinol Laryngol. 1996 Mar;105(3):226-33. doi: 10.1177/000348949610500310.
4
Transitional papilloma of the middle ear.中耳移行性乳头状瘤
J Laryngol Otol. 1992 Jul;106(7):628-9. doi: 10.1017/s0022215100120377.