Suppr超能文献

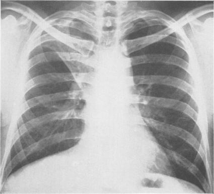
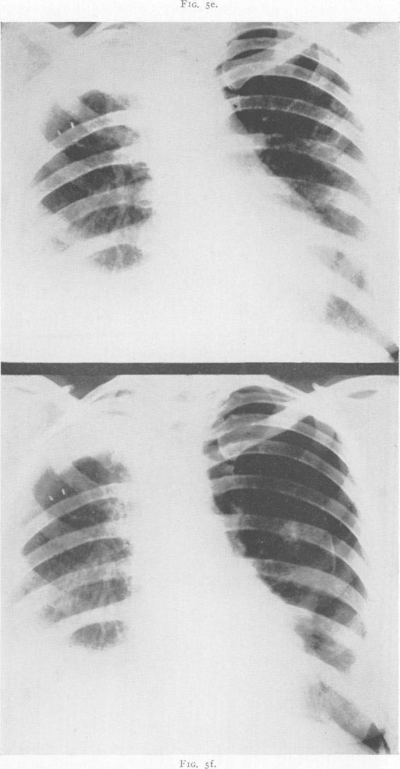
LOBECTOMY FOR PULMONARY TUBERCULOSIS.

作者信息

Churchill E D, Klopstock R

出版信息

Ann Surg. 1943 May;117(5):641-69. doi: 10.1097/00000658-194305000-00001.

Abstract
摘要
https://cdn.ncbi.nlm.nih.gov/pmc/blobs/b5c7/1617658/f5b3c253a289/annsurg01470-0006-a.jpg

文献AI研究员

20分钟写一篇综述,助力文献阅读效率提升50倍。

立即体验

用中文搜PubMed

大模型驱动的PubMed中文搜索引擎

马上搜索

文档翻译

学术文献翻译模型,支持多种主流文档格式。

立即体验