• 文献检索
  • 文档翻译
  • 深度研究
  • 学术资讯
  • Suppr Zotero 插件Zotero 插件
  • 邀请有礼
  • 套餐&价格
  • 历史记录
应用&插件
Suppr Zotero 插件Zotero 插件浏览器插件Mac 客户端Windows 客户端微信小程序
定价
高级版会员购买积分包购买API积分包
服务
文献检索文档翻译深度研究API 文档MCP 服务
关于我们
关于 Suppr公司介绍联系我们用户协议隐私条款
关注我们

Suppr 超能文献

核心技术专利:CN118964589B侵权必究
粤ICP备2023148730 号-1Suppr @ 2026

文献检索

告别复杂PubMed语法,用中文像聊天一样搜索,搜遍4000万医学文献。AI智能推荐,让科研检索更轻松。

立即免费搜索

文件翻译

保留排版,准确专业,支持PDF/Word/PPT等文件格式,支持 12+语言互译。

免费翻译文档

深度研究

AI帮你快速写综述,25分钟生成高质量综述,智能提取关键信息,辅助科研写作。

立即免费体验

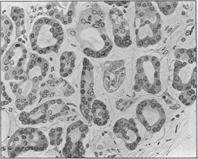
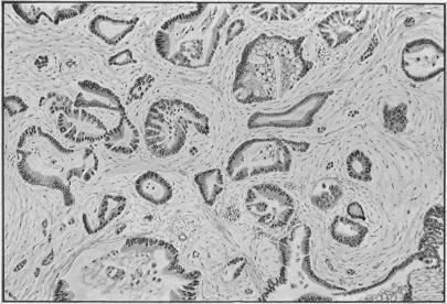
VII. Carcinoma of the Papilla of Vater.

作者信息

Outerbridge G W

出版信息

Ann Surg. 1913 Mar;57(3):402-26. doi: 10.1097/00000658-191303000-00007.

DOI:10.1097/00000658-191303000-00007
PMID:17862983
原文链接:https://pmc.ncbi.nlm.nih.gov/articles/PMC1407460/
Abstract
摘要
https://cdn.ncbi.nlm.nih.gov/pmc/blobs/275a/1407460/c3e7f64c2ccd/annsurg00964-0130-a.jpg
https://cdn.ncbi.nlm.nih.gov/pmc/blobs/275a/1407460/0e418e7b88a0/annsurg00964-0129-a.jpg
https://cdn.ncbi.nlm.nih.gov/pmc/blobs/275a/1407460/2f3f69e00ef7/annsurg00964-0129-b.jpg
https://cdn.ncbi.nlm.nih.gov/pmc/blobs/275a/1407460/c3e7f64c2ccd/annsurg00964-0130-a.jpg
https://cdn.ncbi.nlm.nih.gov/pmc/blobs/275a/1407460/0e418e7b88a0/annsurg00964-0129-a.jpg
https://cdn.ncbi.nlm.nih.gov/pmc/blobs/275a/1407460/2f3f69e00ef7/annsurg00964-0129-b.jpg
https://cdn.ncbi.nlm.nih.gov/pmc/blobs/275a/1407460/c3e7f64c2ccd/annsurg00964-0130-a.jpg

相似文献

1
VII. Carcinoma of the Papilla of Vater.七、 Vater 乳头癌
Ann Surg. 1913 Mar;57(3):402-26. doi: 10.1097/00000658-191303000-00007.
2
Neoplastic diseases of the papilla of Vater.Vater乳头的肿瘤性疾病。
J Hepatobiliary Pancreat Surg. 2004;11(4):223-31. doi: 10.1007/s00534-004-0894-7.
3
The use of endoscopic ultrasonography in the diagnosis and staging of carcinoma of the papilla of Vater.内镜超声检查在 Vater 壶腹癌诊断及分期中的应用
Endoscopy. 1988 Aug;20 Suppl 1:218-22. doi: 10.1055/s-2007-1018179.
4
[A case of adenosquamous carcinoma of the papilla of Vater].[一例 Vater 乳头腺鳞癌]
Korean J Gastroenterol. 2006 Aug;48(2):132-6.
5
Exceptional ultra-late recurrence of papilla Vater carcinoma after pancreaticoduodenectomy: two cases at 17 and 25 years.胰十二指肠切除术后罕见的 Vater 乳头癌超晚期复发:17 年和 25 年出现的两例病例
Hepatogastroenterology. 2005 May-Jun;52(63):940-3.
6
Clinicopathological characteristics and surgical procedures for carcinoma of the papilla of Vater.Vater壶腹癌的临床病理特征及手术方法
Hepatogastroenterology. 1996 Jan-Feb;43(7):260-7.
7
Pathogenesis of carcinoma of the papilla of Vater.Vater乳头癌的发病机制。
J Hepatobiliary Pancreat Surg. 2004;11(5):301-9. doi: 10.1007/s00534-004-0898-3.
8
p53 and p21/Waf1 protein expression and K-ras codon 12 mutation in carcinoma of the papilla of Vater.p53和p21/Waf1蛋白表达以及胰腺导管腺癌中K-ras密码子12突变
Am J Gastroenterol. 1999 Aug;94(8):2128-34. doi: 10.1111/j.1572-0241.1999.01309.x.
9
[A Case of Resected Lymph Node Recurrence of Cancer of the Papilla of Vater].[一例 Vater 乳头癌切除术后淋巴结复发病例]
Gan To Kagaku Ryoho. 2015 Nov;42(12):1579-81.
10
Differential expression of metastasis-associated genes in papilla of vater and pancreatic cancer correlates with disease stage.壶腹乳头和胰腺癌转移相关基因的差异表达与疾病分期相关。
J Clin Oncol. 2001 May 1;19(9):2422-32. doi: 10.1200/JCO.2001.19.9.2422.

引用本文的文献

1
Ampullary Cancer: Histological Subtypes, Markers, and Clinical Behaviour-State of the Art and Perspectives.壶腹癌:组织学亚型、标志物和临床行为——现状与展望。
Curr Oncol. 2023 Jul 22;30(7):6996-7006. doi: 10.3390/curroncol30070507.
2
Performance and prognostic utility of the 92-gene assay in the molecular subclassification of ampullary adenocarcinoma.92基因检测在壶腹腺癌分子亚分类中的性能及预后应用
BMC Cancer. 2016 Aug 22;16(1):668. doi: 10.1186/s12885-016-2677-3.
3
Prognostic factors for long-term survival in patients with ampullary carcinoma: the results of a 15-year observation period after pancreaticoduodenectomy.
壶腹癌患者长期生存的预后因素:胰十二指肠切除术后15年观察期的结果
HPB Surg. 2014;2014:970234. doi: 10.1155/2014/970234. Epub 2014 Mar 2.
4
Carcinoma in the Duodenum: Originating from Aberrant Pancreatic Cells.十二指肠癌:起源于异位胰腺细胞。
Ann Surg. 1932 Mar;95(3):464-7. doi: 10.1097/00000658-193203000-00010.
5
SURGICAL MANAGEMENT OF CARCINOMA OF THE AMPULLA OF VATER AND OF THE PERIAMPULLARY PORTION OF THE DUODENUM.Vater壶腹癌及十二指肠壶腹周围部癌的外科治疗
Ann Surg. 1941 Oct;114(4):570-602. doi: 10.1097/00000658-194110000-00006.
6
CARCINOMA OF THE PERIPAPILLARY PORTION OF THE DUODENUM.十二指肠乳头周围部癌
Ann Surg. 1939 Mar;109(3):383-429. doi: 10.1097/00000658-193903000-00005.
7
Carcinoma of the ampulla of Vater.壶腹癌
Can Med Assoc J. 1953 Feb;68(2):152-5.
8
Different clinicopathologic findings in two histologic types of carcinoma of papilla of Vater.Vater乳头癌两种组织学类型的不同临床病理表现。
Jpn J Cancer Res. 1994 Feb;85(2):161-6. doi: 10.1111/j.1349-7006.1994.tb02077.x.