Suppr超能文献

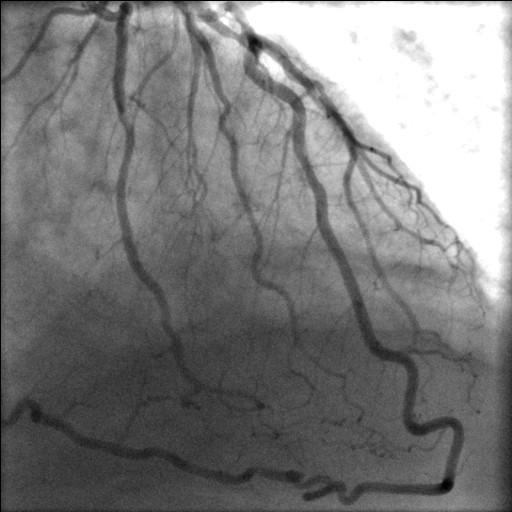
优势型左前降支动脉持续穿过左心室心尖,作为后降支动脉与主动脉瓣狭窄并存。

Hyperdominant left anterior descending artery continuing across left ventricular apex as posterior descending artery coexistent with aortic stenosis.

作者信息

Javangula Kalyana, Kaul Pankaj

机构信息

Yorkshire Heart Centre, Leeds General Infirmary, Great George Street, Leeds, LS1 3EX UK.

出版信息

J Cardiothorac Surg. 2007 Oct 21;2:42. doi: 10.1186/1749-8090-2-42.

Abstract

We describe, in a 61 year old man, with coexistent aortic stenosis, the anomalous origin of posterior descending artery (PDA) from a stenotic left anterior descending (LAD) artery, as its continuation across the left ventricular apex, in the presence of a normally arising and atretic proximal right coronary artery. The patient underwent mechanical aortic valve replacement and triple coronary artery bypass grafting and made an uneventful recovery. To the best of our knowledge, origin of PDA as a continuation of LAD across the left ventricular apex in the presence of a normally arising but atretic proximal right coronary artery has never been described in literature before. There is one previous case report of continuation of LAD as PDA across the left ventricular apex in a patient with single left coronary coronary artery with an absent right coronary ostium. As the blood supply to the entire interventricular septum is derived from this "hyperdominant" LAD system, stenosis of LAD can be catastrophic. A review of literature of the anomalies of right coronary artery and, in particular, of its anomalous origin from LAD and its coexistence with aortic stenosis, is presented.

摘要

我们描述了一名61岁患有主动脉瓣狭窄的男性患者,其右冠状动脉近端正常起源但闭锁,后降支动脉(PDA)异常起源于狭窄的左前降支动脉(LAD),并作为其延续穿过左心室心尖。该患者接受了机械主动脉瓣置换术和三支冠状动脉搭桥术,术后恢复顺利。据我们所知,在右冠状动脉近端正常起源但闭锁的情况下,PDA作为LAD的延续穿过左心室心尖的情况此前从未在文献中被描述过。之前有一例关于单支左冠状动脉且无右冠状动脉开口的患者中,LAD作为PDA延续穿过左心室心尖的病例报告。由于整个室间隔的血液供应都来自这个“优势过强”的LAD系统,LAD狭窄可能是灾难性的。本文对右冠状动脉异常,特别是其起源于LAD及其与主动脉瓣狭窄并存的文献进行了综述。

https://cdn.ncbi.nlm.nih.gov/pmc/blobs/b9a5/2104526/4f9d4a51c957/1749-8090-2-42-1.jpg

相似文献

2
Right origin of the circumflex artery and posterior aortic annulus enlargement.
Asian Cardiovasc Thorac Ann. 2014 Feb;22(2):200-2. doi: 10.1177/0218492312467992. Epub 2013 Jul 11.
3
"Killer coronary artery" and aortic valve stenosis: A tricky case.
Asian Cardiovasc Thorac Ann. 2015 Nov;23(9):1079-82. doi: 10.1177/0218492314533685. Epub 2014 Apr 30.
5
Aortic valve replacement in patients with an anomalous left circumflex artery: technical considerations.
J Card Surg. 2012 Mar;27(2):174-7. doi: 10.1111/j.1540-8191.2011.01365.x. Epub 2011 Dec 12.
6
Hyperdominant Left Anterior Descending Artery: ARare Coronary Artery Anomaly.
J Coll Physicians Surg Pak. 2016 Jun;26(6 Suppl):S2-3.
7
Abnormal origin of right coronary artery from left ventricle with bicuspid aortic stenosis.
Ann Thorac Surg. 2013 Aug;96(2):e43-5. doi: 10.1016/j.athoracsur.2013.01.081.
9
Low Origin of the Coronary Arteries and a Small Aortic Annulus Complicating Aortic Valve Replacement.
Tex Heart Inst J. 2019 Jun 1;46(3):222-224. doi: 10.14503/THIJ-18-6620. eCollection 2019 Jun.

引用本文的文献

1
Anomalous Origin of the Posterior Descending Artery Causing Inferolateral Myocardial Ischaemia in an Octogenarian.
Sultan Qaboos Univ Med J. 2025 May 2;25(1):175-179. doi: 10.18295/squmj.10.2024.062.
2
An extremely rare coronary artery anomaly: Monster left anterior descending coronary artery.
Anatol J Cardiol. 2021 Jan;25(1):E1-E2. doi: 10.14744/AnatolJCardiol.2020.68782.
3
Acute Posterior-inferior Myocardial Infarction Caused by Total Occlusion Distal to the Apex of the Hyperdominant Left Anterior Descending Artery.
Intern Med. 2020 Dec 15;59(24):3183-3186. doi: 10.2169/internalmedicine.5425-20. Epub 2020 Aug 4.
4
Left anterior descending artery hyper dominance giving rise to the posterior descending artery: an extremely rare coronary anomaly and its clinical implications.
J Community Hosp Intern Med Perspect. 2020 Feb 10;10(1):76-80. doi: 10.1080/20009666.2019.1710056. eCollection 2020.
7
Hyper-dominant left anterior descending coronary artery with continuation as a posterior descending artery-An extended empire.
J Saudi Heart Assoc. 2018 Jul;30(3):284-289. doi: 10.1016/j.jsha.2018.02.003. Epub 2018 Mar 5.
8
Superdominant left-circumflex artery supplying significant proportion of RCA and LAD territory.
BMJ Case Rep. 2015 May 7;2015:bcr2015210365. doi: 10.1136/bcr-2015-210365.

本文引用的文献

5
Isolated anomalous origin of right coronary artery from the main pulmonary artery.
J Card Surg. 2005 Sep-Oct;20(5):487-9. doi: 10.1111/j.1540-8191.2005.200486.x.
8
Anomalous origin of the right coronary artery: report of a case.
Kurume Med J. 2004;51(3-4):283-6. doi: 10.2739/kurumemedj.51.283.

文献AI研究员

20分钟写一篇综述,助力文献阅读效率提升50倍。

立即体验

用中文搜PubMed

大模型驱动的PubMed中文搜索引擎

马上搜索

文档翻译

学术文献翻译模型,支持多种主流文档格式。

立即体验