Suppr超能文献

磁共振成像显示的职业芭蕾舞演员踝关节骨应力损伤

Bone stress injury of the ankle in professional ballet dancers seen on MRI.

作者信息

Elias Ilan, Zoga Adam C, Raikin Steven M, Peterson Judith R, Besser Marcus P, Morrison William B, Schweitzer Mark E

机构信息

Department of Orthopaedic Surgery, Rothman Institute, Thomas Jefferson University Hospital, 925 Chestnut Street, Philadelphia, PA 19107, USA.

出版信息

BMC Musculoskelet Disord. 2008 Mar 28;9:39. doi: 10.1186/1471-2474-9-39.

Abstract

BACKGROUND

Ballet dancers have been shown to have a relatively high incidence of stress fractures of the foot and ankle. It was our objective to examine MR imaging patterns of bone marrow edema (BME) in the ankles of high performance professional ballet dancers, to evaluate clinical relevance.

METHODS

MR Imaging was performed on 12 ankles of 11 active professional ballet dancers (6 female, 5 male; mean age 24 years, range 19 to 32). Individuals were imaged on a 0.2 T or 1.5 T MRI units. Images were evaluated by two musculoskeletal radiologists and one orthopaedic surgeon in consensus for location and pattern of bone marrow edema. In order to control for recognized sources of bone marrow edema, images were also reviewed for presence of osseous, ligamentous, tendinous and cartilage injuries. Statistical analysis was performed to assess the strength of the correlation between bone marrow edema and ankle pain.

RESULTS

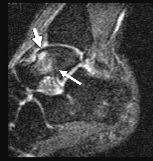
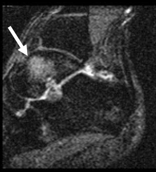
Bone marrow edema was seen only in the talus, and was a common finding, observed in nine of the twelve ankles imaged (75%) and was associated with pain in all cases. On fluid-sensitive sequences, bone marrow edema was ill-defined and centered in the talar neck or body, although in three cases it extended to the talar dome. No apparent gender predilection was noted. No occult stress fracture could be diagnosed. A moderately strong correlation (phi = 0.77, p= 0.0054) was found between edema and pain in the study population.

CONCLUSION

Bone marrow edema seems to be a specific MRI finding in the talus of professional ballet dancers, likely related to biomechanical stress reactions, due to their frequently performed unique maneuvers. Clinically, this condition may indicate a sign of a bone stress injury of the ankle.

摘要

背景

研究表明,芭蕾舞演员足踝部应力性骨折的发生率相对较高。我们的目的是研究高水平职业芭蕾舞演员踝关节骨髓水肿(BME)的磁共振成像(MR)表现模式,以评估其临床相关性。

方法

对11名现役职业芭蕾舞演员(6名女性,5名男性;平均年龄24岁,范围19至32岁)的12个踝关节进行了MR成像检查。受检者在0.2T或1.5T的MRI设备上进行成像。由两名肌肉骨骼放射科医生和一名骨科医生共同评估图像,以确定骨髓水肿的位置和模式。为了排除已知的骨髓水肿来源,还对图像进行了检查,以确定是否存在骨、韧带、肌腱和软骨损伤。进行了统计分析,以评估骨髓水肿与踝关节疼痛之间的相关性强度。

结果

仅在距骨中发现骨髓水肿,这是一个常见的表现,在12个成像踝关节中的9个(75%)观察到,并且在所有病例中均与疼痛相关。在液体敏感序列上,骨髓水肿边界不清,集中在距骨颈或距骨体,尽管在3例中延伸至距骨穹窿。未发现明显的性别倾向。未诊断出隐匿性应力性骨折。在研究人群中,水肿与疼痛之间存在中度强相关性(phi = 0.77,p = 0.0054)。

结论

骨髓水肿似乎是职业芭蕾舞演员距骨的一种特定MR表现,可能与生物力学应力反应有关,这是由于他们经常进行独特的动作。临床上,这种情况可能表明踝关节存在骨应力损伤的迹象。

https://cdn.ncbi.nlm.nih.gov/pmc/blobs/3b97/2329634/aef91f13d60e/1471-2474-9-39-1.jpg

文献AI研究员

20分钟写一篇综述,助力文献阅读效率提升50倍。

立即体验

用中文搜PubMed

大模型驱动的PubMed中文搜索引擎

马上搜索

文档翻译

学术文献翻译模型,支持多种主流文档格式。

立即体验