Suppr超能文献

异位自体移植后冷冻保存的整个绵羊卵巢的形态学与功能

Morphology and function of cryopreserved whole ovine ovaries after heterotopic autotransplantation.

作者信息

Grazul-Bilska Anna T, Banerjee Jashoman, Yazici Ilker, Borowczyk Ewa, Bilski Jerzy J, Sharma Rakesh K, Siemionov Maria, Falcone Tommaso

机构信息

Obstetrics, Gynecology and Women's Health Institute, Cleveland Clinic, Cleveland, OH, USA.

出版信息

Reprod Biol Endocrinol. 2008 Apr 11;6:16. doi: 10.1186/1477-7827-6-16.

Abstract

BACKGROUND

The objective of this study was to perform complex characterization of cryopreserved and then autotransplanted ovaries including determination of the ability to respond to in vivo follicle stimulating hormone (FSH)-treatment, fertilizability of retrieved oocytes, and morphology, vascularization, cellular proliferation and apoptosis in sheep.

METHODS

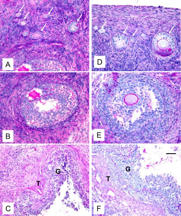
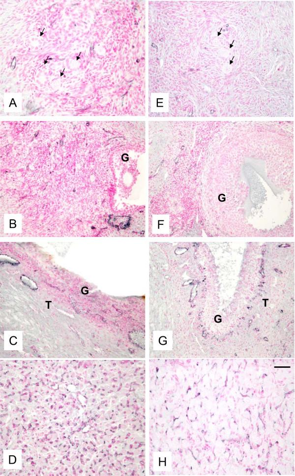
Mature crossbred ewes were divided into two groups; an intact (control) group (n = 4), and autotransplanted group (n = 4) in which oophorectomy was performed laparoscopically and ovaries with intact vascular pedicles frozen, thawed and transplanted back into the same animal at a different site. Approximately five months after autotransplantation, estrus was synchronized, ewes were treated with FSH, and ovaries were collected. For all ovaries, number of visible follicles was determined, and collected cumulus oocyte complexes (COC) were matured and fertilized in vitro. Remaining ovarian tissues were fixed for evaluation of morphology, expression of factor VIII (marker of endothelial cells), vascular endothelial growth factor (VEGF; expressed by pericytes and smooth muscle cells), and smooth muscle cell actin (SMCA; marker of pericytes and smooth muscle cells), and cellular proliferation and apoptosis. Two fully functional ovaries were collected from each control ewe (total 8 ovaries).

RESULTS

Out of eight autotransplanted ovaries, a total of two ovaries with developing follicles were found. Control ewes had 10.6 +/- 2.7 follicles/ovary, oocytes were in vitro fertilized and developed to the blastocyst stage. One autotransplanted ewe had 4 visible follicles from which 3 COC were collected, but none of them was fertilized. The morphology of autotransplanted and control ovaries was similar. In control and autotransplanted ovaries, primordial, primary, secondary, antral and preovulatory follicles were found along with fully functional vascularization which was manifested by expression of factor VIII, VEGF and SMCA. Proliferating cells were detected in follicles, and the rate of apoptosis was minimal in ovaries of control and autotransplanted ovaries.

CONCLUSION

These data demonstrate successful autotransplantation of a portion of frozen/thawed ovaries manifested by restoration of selected ovarian function including in vitro maturation of collected oocytes, presence of follicles from several stages of folliculogenesis and blood vessels expressing specific markers of vascularization, and proliferation and apoptosis of ovarian cells. Thus, heterotopic autotransplantation of a whole frozen/thawed ovary allows for development of preovulatory follicles, oocyte growth, and for restoration of vascularization and cellular function. However, additional improvements are required to enhance the efficiency of autotransplantation of frozen/thawed ovaries to produce more oocytes.

摘要

背景

本研究的目的是对冷冻后自体移植的卵巢进行综合特征分析,包括确定其对体内促卵泡激素(FSH)治疗的反应能力、回收卵母细胞的受精能力,以及绵羊卵巢的形态、血管化、细胞增殖和凋亡情况。

方法

将成熟的杂交母羊分为两组;一组为完整(对照)组(n = 4),另一组为自体移植组(n = 4),对自体移植组母羊进行腹腔镜下卵巢切除术,将带有完整血管蒂的卵巢冷冻、解冻后移植到同一动物的不同部位。自体移植约五个月后,使发情同步,用FSH治疗母羊,然后采集卵巢。对所有卵巢,确定可见卵泡的数量,收集的卵丘卵母细胞复合体(COC)在体外成熟并受精。其余卵巢组织固定后用于评估形态、因子VIII(内皮细胞标志物)、血管内皮生长因子(VEGF;由周细胞和平滑肌细胞表达)和平滑肌肌动蛋白(SMCA;周细胞和平滑肌细胞标志物)的表达,以及细胞增殖和凋亡情况。从每只对照母羊收集两个功能完全正常的卵巢(共8个卵巢)。

结果

在8个自体移植的卵巢中,共发现2个有发育卵泡的卵巢。对照母羊每个卵巢有10.6±2.7个卵泡,卵母细胞在体外受精并发育到囊胚阶段。一只自体移植的母羊有4个可见卵泡,从中收集到3个COC,但无一受精。自体移植卵巢和对照卵巢的形态相似。在对照卵巢和自体移植卵巢中,均发现了原始卵泡、初级卵泡、次级卵泡、窦状卵泡和排卵前卵泡,同时伴有功能完全正常的血管化,表现为因子VIII、VEGF和SMCA的表达。在卵泡中检测到增殖细胞,对照卵巢和自体移植卵巢中的细胞凋亡率极低。

结论

这些数据表明,部分冷冻/解冻卵巢的自体移植成功,表现为部分卵巢功能得以恢复,包括采集的卵母细胞在体外成熟、存在处于卵泡发生不同阶段的卵泡以及表达血管化特异性标志物的血管,以及卵巢细胞的增殖和凋亡。因此,整个冷冻/解冻卵巢的异位自体移植可使排卵前卵泡发育、卵母细胞生长,并恢复血管化和细胞功能。然而,需要进一步改进以提高冷冻/解冻卵巢自体移植产生更多卵母细胞的效率。

https://cdn.ncbi.nlm.nih.gov/pmc/blobs/d312/2323016/418508fa4568/1477-7827-6-16-1.jpg

文献AI研究员

20分钟写一篇综述,助力文献阅读效率提升50倍。

立即体验

用中文搜PubMed

大模型驱动的PubMed中文搜索引擎

马上搜索

文档翻译

学术文献翻译模型,支持多种主流文档格式。

立即体验