Suppr超能文献

在一项宫颈癌筛查项目中,宫颈阴道涂片内砂粒体的患病率及意义,重点关注一例原发性双侧卵巢砂粒体癌病例

Prevalence and significance of psammoma bodies in cervicovaginal smears in a cervical cancer screening program with emphasis on a case of primary bilateral ovarian psammocarcinoma.

作者信息

Pusiol Teresa, Parolari Anna M, Piscioli Irene, Morelli Luca, Del Nonno Franca, Licci Stefano

机构信息

Department of Pathology, National Institute for Infectious Diseases - L, Spallanzani IRCCS, Rome, Italy.

出版信息

Cytojournal. 2008 Apr 16;5:7. doi: 10.1186/1742-6413-5-7.

Abstract

BACKGROUND

The purpose of our study was to determine the prevalence and significance of psammoma bodies (PBs) in the cervicovaginal smears of the screening population of Trento district (Italy), with the description of the cytological presentation of an asymptomatic bilateral ovarian psammocarcinoma.

METHODS

From 1993 to 2006, women with PBs detected on consecutively screened cervical smears were identified from the computerized pathology database of Rovereto Hospital. The follow-up period was set from the time of cytological diagnosis to May 31st, 2007. Clinical information was obtained from retrospective review of women's medical records. The source of PBs was identified with adequate diagnostic procedures.

RESULTS

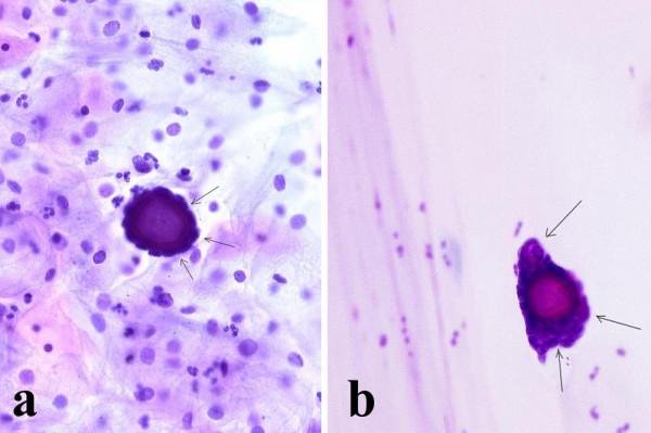
PBs were found in six of the 201,231 Papanicolaou screening smears (0.0029%). Benign conditions (intrauterine device, inclusion ovarian cysts and ovarian cystoadenofibroma with PBs) were found in four patients. In two cases, PBs were associated with malignant cells; a bilateral ovarian malignancy was diagnosed in both cases, a serous adenocarcinoma and a psammocarcinoma.

CONCLUSION

PBs in the cervicovaginal smears are a rare finding, associated more often with benign conditions than with malignancies. Moreover, to our knowledge, our case of primary ovarian psammocarcinoma is the first report in which the presence of malignant cells and PBs in the cervicovaginal and endometrial smears represents the first manifestation of disease.

摘要

背景

我们研究的目的是确定意大利特伦托地区筛查人群宫颈阴道涂片中砂粒体(PBs)的患病率及其意义,并描述无症状双侧卵巢砂粒体癌的细胞学表现。

方法

从1993年至2006年,从罗韦雷托医院的计算机病理数据库中识别出在连续筛查的宫颈涂片中检测到有砂粒体的女性。随访期设定为从细胞学诊断之时至2007年5月31日。通过回顾女性病历获得临床信息。通过适当的诊断程序确定砂粒体的来源。

结果

在201,231份巴氏筛查涂片中,有6份发现了砂粒体(0.0029%)。4例患者发现良性情况(宫内节育器、包涵体卵巢囊肿和伴有砂粒体的卵巢囊腺纤维瘤)。在2例中,砂粒体与恶性细胞相关;2例均诊断为双侧卵巢恶性肿瘤,1例为浆液性腺癌,1例为砂粒体癌。

结论

宫颈阴道涂片中的砂粒体是一种罕见发现,更多与良性情况而非恶性肿瘤相关。此外,据我们所知,我们的原发性卵巢砂粒体癌病例是第一份报告,其中宫颈阴道和子宫内膜涂片中恶性细胞和砂粒体的存在是疾病的首发表现。

https://cdn.ncbi.nlm.nih.gov/pmc/blobs/d492/2346482/6f9799399af3/1742-6413-5-7-1.jpg

文献AI研究员

20分钟写一篇综述,助力文献阅读效率提升50倍。

立即体验

用中文搜PubMed

大模型驱动的PubMed中文搜索引擎

马上搜索

文档翻译

学术文献翻译模型,支持多种主流文档格式。

立即体验