Suppr超能文献

脾破裂作为一名青少年女性原发性脾血管肉瘤的首发表现:病例报告

Splenic rupture as the presenting manifestation of primary splenic angiosarcoma in a teenage woman: a case report.

作者信息

Manouras Andreas, Giannopoulos Panagiotis, Toufektzian Levon, Markogiannakis Haridimos, Lagoudianakis Emmanuel E, Papadima Artemisia, Papanikolaou Dimitrios, Filis Konstantinos, Kekis Panagiotis

机构信息

1st Department of Propaedeutic Surgery, Hippokrateion Hospital, Athens Medical School, University of Athens, Athens, Greece.

出版信息

J Med Case Rep. 2008 Apr 29;2:133. doi: 10.1186/1752-1947-2-133.

Abstract

INTRODUCTION

Primary splenic angiosarcoma is a rare neoplasm of vascular origin carrying a very poor prognosis, partly due to its high metastatic potential. This disease presents frequently with splenic rupture and hemorrhage. We report the case of a 17-year-old woman who presented with rupture of a primary splenic angiosarcoma.

CASE PRESENTATION

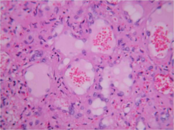
The patient presented with diffuse abdominal pain and distention. Clinical examination revealed severe tenderness in the left upper abdominal quadrant, a palpable abdominal mass, and hemodynamic instability with a systolic arterial blood pressure of 75 mmHg and heart rate of 135 beats per minute. Blood tests revealed anemia (hemoglobin 7.0 g/dl) and thrombocytopenia (platelets 70 x 109/liter). After initial fluid resuscitation and stabilization, abdominal ultrasound and computed tomography were performed, revealing a large quantity of intraperitoneal free fluid, an enlarged spleen, and a heterogeneous low-density signal within the splenic parenchyma, which showed varying degrees of contrast enhancement. At laparotomy a huge (weight 1530 g, diameter 19 cm) actively bleeding spleen was identified and splenectomy was performed. Histopathology showed a primary splenic angiosarcoma. After an uneventful recovery, the patient was discharged on the sixth postoperative day.

CONCLUSION

Primary splenic angiosarcoma is rare. Although this malignancy is usually encountered in advanced age, there have been a few reported cases among younger patients. The case reported here presented with splenic rupture, was treated by laparotomy and splenectomy, and the patient is disease free 16 months after surgery.

摘要

引言

原发性脾血管肉瘤是一种罕见的血管源性肿瘤,预后很差,部分原因是其高转移潜能。这种疾病常表现为脾破裂和出血。我们报告一例17岁女性原发性脾血管肉瘤破裂的病例。

病例介绍

患者表现为弥漫性腹痛和腹胀。临床检查发现左上腹象限有严重压痛、可触及的腹部肿块,以及血流动力学不稳定,收缩压为75mmHg,心率为每分钟135次。血液检查显示贫血(血红蛋白7.0g/dl)和血小板减少(血小板70×10⁹/升)。在初始液体复苏和病情稳定后,进行了腹部超声和计算机断层扫描,显示腹腔内有大量游离液体、脾脏肿大,脾实质内有不均匀的低密度信号,呈不同程度的对比增强。剖腹手术时发现一个巨大的(重1530g,直径19cm)正在出血的脾脏,并进行了脾切除术。组织病理学显示为原发性脾血管肉瘤。术后恢复顺利,患者于术后第六天出院。

结论

原发性脾血管肉瘤很罕见。虽然这种恶性肿瘤通常在老年患者中出现,但也有少数年轻患者的报道病例。这里报告的病例表现为脾破裂,通过剖腹手术和脾切除术进行治疗,患者术后16个月无疾病。

https://cdn.ncbi.nlm.nih.gov/pmc/blobs/639f/2387157/657ed848f6c7/1752-1947-2-133-1.jpg

文献AI研究员

20分钟写一篇综述,助力文献阅读效率提升50倍。

立即体验

用中文搜PubMed

大模型驱动的PubMed中文搜索引擎

马上搜索

文档翻译

学术文献翻译模型,支持多种主流文档格式。

立即体验