Suppr超能文献

原发性脾血管肉瘤:一种罕见的疾病,常与破裂和腹腔积血相关。

Primary splenic angiosarcoma: a rare entity often associated with rupture and hemoperitoneum.

作者信息

Fiorentino Matheus Dalben, Monteiro Jean Michel Correia, de Siqueira Renata Elisie Barbalho, Kim Elizabeth Im Myung, Curi Ana Paula, Ferrreira Cristiane Rubia, Nardo Mirella, de Campos Fernando Peixoto Ferraz

机构信息

Universidade de São Paulo (USP), School of Medicine, Internal Medicine Department. São Paulo, SP, Brazil.

Intituto de Infectologia Emilio Ribas. São Paulo, SP, Brazil.

出版信息

Autops Case Rep. 2019 Jul 12;9(3):e2019100. doi: 10.4322/acr.2019.100. eCollection 2019 Jul-Sep.

Abstract

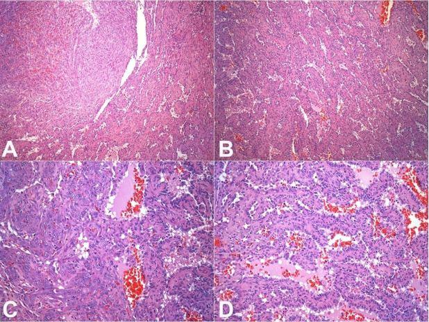
Primary splenic angiosarcoma (PSA) is a rare neoplasm of vascular origin associated with aggressive behavior and poor prognosis. The clinical presentation is usually non-specific and is mostly characterized by a wasting disease with anemia and splenomegaly, mimicking a wide range of entities. The authors present the case of an 80-year-old woman with cardiovascular comorbidities with a 6-month history of weight loss, fatigue, weakness, pallor, and abdominal pain. The physical examination showed massive splenomegaly and pallor. After a thorough evaluation that ruled out lymphoproliferative diseases, the working diagnosis was a myelodysplastic disorder. A few days after discharge, she returned to the emergency room with severe abdominal pain, worsening fatigue, and a remarkable pallor. Point-of-care ultrasound showed free intraperitoneal fluid. Spleen rupture was confirmed by abdominal computed tomography (CT) scan, and an emergency laparotomy with splenectomy was performed. The postoperative period was uneventful, and the patient recovered in a few days. The histopathology confirmed the diagnosis of PSA and the patient was referred to an oncological center. Two months later staging CT demonstrated liver and peritoneal metastases, and despite the chemotherapy she died 6 months after the diagnosis.

摘要

原发性脾血管肉瘤(PSA)是一种罕见的血管源性肿瘤,具有侵袭性且预后不良。其临床表现通常不具有特异性,主要特征为消瘦性疾病伴贫血和脾肿大,可模仿多种病症。作者报告了一例80岁患有心血管合并症的女性病例,该患者有6个月的体重减轻、疲劳、虚弱、面色苍白和腹痛病史。体格检查发现脾脏明显肿大且面色苍白。在彻底评估排除淋巴增殖性疾病后,初步诊断为骨髓增生异常综合征。出院几天后,她因严重腹痛、疲劳加重和面色显著苍白返回急诊室。床旁超声显示腹腔内有游离液体。腹部计算机断层扫描(CT)证实脾脏破裂,遂进行急诊剖腹脾切除术。术后恢复顺利,患者在数天内康复。组织病理学确诊为PSA,患者被转诊至肿瘤中心。两个月后分期CT显示肝脏和腹膜转移,尽管进行了化疗,但患者在诊断后6个月死亡。

https://cdn.ncbi.nlm.nih.gov/pmc/blobs/94d8/6629266/c8ab27dc7682/autopsy-09-03e2019100-g01.jpg

文献AI研究员

20分钟写一篇综述,助力文献阅读效率提升50倍。

立即体验

用中文搜PubMed

大模型驱动的PubMed中文搜索引擎

马上搜索

文档翻译

学术文献翻译模型,支持多种主流文档格式。

立即体验