Damonte Patrizia, Hodgson J Graeme, Chen Jane Qian, Young Lawrence J T, Cardiff Robert D, Borowsky Alexander D
Department of Pathology and Laboratory Medicine, Center for Comparative Medicine, UC Davis, County Road 98 and Hutchison Drive, Davis, California 95616, USA.
Breast Cancer Res. 2008;10(3):R50. doi: 10.1186/bcr2104. Epub 2008 Jun 3.
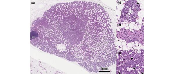
The 'MINO' (mammary intraepithelial neoplasia outgrowth) mouse model of ductal carcinoma in situ (DCIS) consists of six lines with distinct morphologic phenotypes and behavior, each meeting experimentally defined criteria for 'precancer'. Specifically, these lines grow orthotopically in cleared mammary fat pads and consistently progress to an invasive phenotype that is capable of ectopic growth. Transition to carcinoma has a consistent latency for each line, and three of the lines also exhibit pulmonary metastatic potential.
Gland cleared orthotopic transplanted precancer MINO tissues were analyzed by bacterial artifical chromosome and oligo array comparative genomic hybridization, microsatellite PCR, and telomerase repeat amplification assay. MINO cells were dissociated and cultured in three dimensional culture and transplanted in syngeneic gland cleared mammary fat pads.
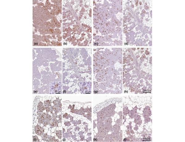
Comparative genomic hybridization shows that the precancer and invasive tumors are genetically stable, with low level changes including whole chromosome gains in some lines. No changes are associated with progression, although spontaneous focal amplifications and deletions were detected occasionally. Microsatellite analysis shows a low frequency of alterations that are predominantly permanent within a MINO line. Telomerase activity is increased in both the MINO and the derived tumors when compared with normal mouse mammary gland. Dissociation of the precancer lesion cells and three dimensional 'spheroid' culture of single cells reveals a bipotential for myoepithelial and luminal differentiation and the formation of unique three-dimensional 'MINOspheres'. These MINOspheres exhibit features that are intermediate between spheroids that are derived from normal and carcinoma cells. Transplantation of a single cell derived MINOsphere recapitulates the outgrowth of the precancer morphology and progression to carcinoma.
These data establish a precancer 'stem' cell that is capable of self-renewal and multilineage differentiation as the origin of invasive cancer. Within the context of this model, these cells have programmed potential for latency and metastasis that does not appear to require sequential genetic 'hits' for transformation.
导管原位癌(DCIS)的“MINO”(乳腺上皮内瘤变增生)小鼠模型由六条具有不同形态学表型和行为的品系组成,每条品系均符合“癌前病变”的实验定义标准。具体而言,这些品系在清除乳腺脂肪垫中原位生长,并始终进展为能够异位生长的侵袭性表型。向癌的转变在每个品系中具有一致的潜伏期,其中三个品系还表现出肺转移潜能。
通过细菌人工染色体和寡核苷酸阵列比较基因组杂交、微卫星PCR以及端粒酶重复序列扩增分析,对清除腺体的原位移植癌前MINO组织进行分析。将MINO细胞解离并在三维培养中培养,然后移植到同基因清除腺体的乳腺脂肪垫中。
比较基因组杂交显示,癌前病变和侵袭性肿瘤在基因上是稳定的,低水平变化包括某些品系中的整条染色体增加。尽管偶尔检测到自发的局灶性扩增和缺失,但没有变化与进展相关。微卫星分析显示,改变频率较低,且在一个MINO品系中主要是永久性的。与正常小鼠乳腺相比,MINO及其衍生肿瘤中的端粒酶活性均增加。癌前病变细胞的解离和单细胞的三维“球体”培养揭示了肌上皮和管腔分化的双潜能以及独特的三维“MINO球体”的形成。这些MINO球体表现出介于源自正常细胞和癌细胞的球体之间的特征。单细胞衍生的MINO球体的移植重现了癌前形态的生长以及向癌的进展。
这些数据确立了一种能够自我更新和多谱系分化的癌前“干细胞”作为侵袭性癌症的起源。在该模型的背景下,这些细胞具有潜伏期和转移的程序性潜能,似乎不需要连续的基因“打击”来实现转化。