Suppr超能文献

F1 - ATP 合酶轴的卷曲螺旋区域中的两个螺旋在扭矩产生中均不发挥重要作用。

Neither helix in the coiled coil region of the axle of F1-ATPase plays a significant role in torque production.

作者信息

Hossain Mohammad Delawar, Furuike Shou, Maki Yasushi, Adachi Kengo, Suzuki Toshiharu, Kohori Ayako, Itoh Hiroyasu, Yoshida Masasuke, Kinosita Kazuhiko

机构信息

Department of Physics, Faculty of Science and Engineering, Waseda University, Shinjuku-Ku, Tokyo 169-8555, Japan.

出版信息

Biophys J. 2008 Nov 15;95(10):4837-44. doi: 10.1529/biophysj.108.140061. Epub 2008 Aug 15.

Abstract

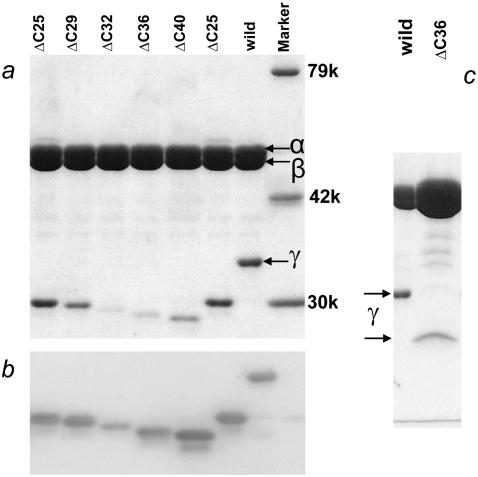
F(1)-ATPase is an ATP-driven rotary molecular motor in which the central gamma-subunit rotates inside the cylinder made of alpha(3)beta(3) subunits. The amino and carboxy termini of the gamma-subunit form the axle, an alpha-helical coiled coil that deeply penetrates the stator cylinder. We previously truncated the axle step by step, starting with the longer carboxy terminus and then cutting both termini at the same levels, resulting in a slower yet considerably powerful rotation. Here we examine the role of each helix by truncating only the carboxy terminus by 25-40 amino-acid residues. Longer truncation impaired the stability of the motor complex severely: 40 deletions failed to yield rotating the complex. Up to 36 deletions, however, the mutants produced an apparent torque at nearly half of the wild-type torque, independent of truncation length. Time-averaged rotary speeds were low because of load-dependent stumbling at 120 degrees intervals, even with saturating ATP. Comparison with our previous work indicates that half the normal torque is produced at the orifice of the stator. The very tip of the carboxy terminus adds the other half, whereas neither helix in the middle of the axle contributes much to torque generation and the rapid progress of catalysis. None of the residues of the entire axle played a specific decisive role in rotation.

摘要

F(1)-ATP酶是一种由ATP驱动的旋转分子马达,其中央γ亚基在由α(3)β(3)亚基组成的圆柱体内旋转。γ亚基的氨基和羧基末端形成轴,这是一个深深穿透定子圆柱体的α螺旋卷曲螺旋。我们之前逐步截断轴,从较长的羧基末端开始,然后在相同水平截断两个末端,导致旋转变慢但相当有力。在这里,我们通过仅将羧基末端截断25 - 40个氨基酸残基来研究每个螺旋的作用。更长的截断严重损害了马达复合体的稳定性:40个缺失未能使复合体旋转。然而,多达36个缺失时,突变体产生的表观扭矩几乎是野生型扭矩的一半,与截断长度无关。由于即使在ATP饱和时以120度间隔出现负载依赖性绊倒,时间平均旋转速度较低。与我们之前的工作相比表明,在定子孔口产生正常扭矩的一半。羧基末端的最末端增加了另一半,而轴中间的两个螺旋对扭矩产生和催化的快速进行贡献不大。整个轴的残基在旋转中都没有起特定的决定性作用。

https://cdn.ncbi.nlm.nih.gov/pmc/blobs/09e5/2576389/e5e22c32222a/BIO.140061.wc.f1.jpg

相似文献

1
Neither helix in the coiled coil region of the axle of F1-ATPase plays a significant role in torque production.
Biophys J. 2008 Nov 15;95(10):4837-44. doi: 10.1529/biophysj.108.140061. Epub 2008 Aug 15.
2
Axle-less F1-ATPase rotates in the correct direction.
Science. 2008 Feb 15;319(5865):955-8. doi: 10.1126/science.1151343.
4
None of the rotor residues of F1-ATPase are essential for torque generation.
Biophys J. 2014 May 20;106(10):2166-74. doi: 10.1016/j.bpj.2014.04.013.
5
The rotor tip inside a bearing of a thermophilic F1-ATPase is dispensable for torque generation.
Biophys J. 2006 Jun 1;90(11):4195-203. doi: 10.1529/biophysj.105.079087.
6
One rotary mechanism for F1-ATPase over ATP concentrations from millimolar down to nanomolar.
Biophys J. 2005 Mar;88(3):2047-56. doi: 10.1529/biophysj.104.054668. Epub 2004 Dec 30.
7
Rotation of artificial rotor axles in rotary molecular motors.
Proc Natl Acad Sci U S A. 2016 Oct 4;113(40):11214-11219. doi: 10.1073/pnas.1605640113. Epub 2016 Sep 19.
8
Functional halt positions of rotary FOF1-ATPase correlated with crystal structures.
Biophys J. 2008 Nov 15;95(10):4979-87. doi: 10.1529/biophysj.108.139782. Epub 2008 Aug 22.
9
The role of the DELSEED motif of the beta subunit in rotation of F1-ATPase.
J Biol Chem. 2000 May 12;275(19):14260-3. doi: 10.1074/jbc.275.19.14260.

引用本文的文献

1
The molecular structure of an axle-less F-ATPase.
bioRxiv. 2024 Aug 9:2024.08.08.607276. doi: 10.1101/2024.08.08.607276.
2
FF ATP synthase molecular motor mechanisms.
Front Microbiol. 2022 Aug 23;13:965620. doi: 10.3389/fmicb.2022.965620. eCollection 2022.
3
Bacterial F-type ATP synthases follow a well-choreographed assembly pathway.
Nat Commun. 2022 Mar 8;13(1):1218. doi: 10.1038/s41467-022-28828-1.
6
Elastic coupling power stroke mechanism of the F-ATPase molecular motor.
Proc Natl Acad Sci U S A. 2018 May 29;115(22):5750-5755. doi: 10.1073/pnas.1803147115. Epub 2018 May 14.
7
Deciphering Intrinsic Inter-subunit Couplings that Lead to Sequential Hydrolysis of F-ATPase Ring.
Biophys J. 2017 Oct 3;113(7):1440-1453. doi: 10.1016/j.bpj.2017.08.015.
8
Understanding structure, function, and mutations in the mitochondrial ATP synthase.
Microb Cell. 2015 Apr 1;2(4):105-125. doi: 10.15698/mic2015.04.197.
9
None of the rotor residues of F1-ATPase are essential for torque generation.
Biophys J. 2014 May 20;106(10):2166-74. doi: 10.1016/j.bpj.2014.04.013.

本文引用的文献

1
Axle-less F1-ATPase rotates in the correct direction.
Science. 2008 Feb 15;319(5865):955-8. doi: 10.1126/science.1151343.
3
The rotor tip inside a bearing of a thermophilic F1-ATPase is dispensable for torque generation.
Biophys J. 2006 Jun 1;90(11):4195-203. doi: 10.1529/biophysj.105.079087.
4
5
One rotary mechanism for F1-ATPase over ATP concentrations from millimolar down to nanomolar.
Biophys J. 2005 Mar;88(3):2047-56. doi: 10.1529/biophysj.104.054668. Epub 2004 Dec 30.
6
Rotation of F1-ATPase: how an ATP-driven molecular machine may work.
Annu Rev Biophys Biomol Struct. 2004;33:245-68. doi: 10.1146/annurev.biophys.33.110502.132716.
7
Mechanically driven ATP synthesis by F1-ATPase.
Nature. 2004 Jan 29;427(6973):465-8. doi: 10.1038/nature02212.
8
Chemomechanical coupling in F1-ATPase revealed by simultaneous observation of nucleotide kinetics and rotation.
Nat Struct Mol Biol. 2004 Feb;11(2):142-8. doi: 10.1038/nsmb721. Epub 2004 Jan 18.
9
Catalysis and rotation of F1 motor: cleavage of ATP at the catalytic site occurs in 1 ms before 40 degree substep rotation.
Proc Natl Acad Sci U S A. 2003 Dec 9;100(25):14731-6. doi: 10.1073/pnas.2434983100. Epub 2003 Dec 1.
10
Single-molecule imaging of rotation of F1-ATPase.
Methods Enzymol. 2003;361:211-27. doi: 10.1016/s0076-6879(03)61013-x.

文献AI研究员

20分钟写一篇综述,助力文献阅读效率提升50倍。

立即体验

用中文搜PubMed

大模型驱动的PubMed中文搜索引擎

马上搜索

文档翻译

学术文献翻译模型,支持多种主流文档格式。

立即体验