Molina E, Plana M, Itarte E
Departament de Bioquímica i Biologia Molecular-Unitat de Bioquímica Facultat de Ciències, Universitat Autònoma de Barcelona, Bellaterra, Spain.
Biochem J. 1991 Aug 1;277 ( Pt 3)(Pt 3):811-8. doi: 10.1042/bj2770811.
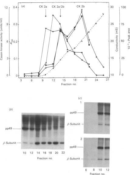
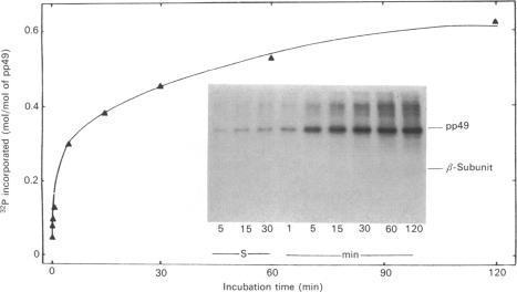
Casein kinase 2 activity could be resolved into three peaks by chromatography on DEAE-Sepharose. The peak eluted at high salt concentrations (casein kinase 2b) showed molecular and kinetic properties typical of the heterotetramer composed of alpha-(or alpha'-) and beta-subunits. In contrast, the peak that was eluted at low salt concentrations (casein kinase 2a) contained no beta-subunit but a phosphorylatable protein of 49 kDa (pp49), in addition to the alpha/alpha'-subunits. The presence of alpha/alpha'/alpha"-subunits in preparations of casein kinases 2a and 2b was confirmed by immunological assays. Casein kinase 2a had low specific activity and a very high apparent Km for beta-casein. The peak eluted at intermediate ionic strength contained the alpha/alpha'-subunits and variable amounts of beta-subunit and pp49, and had kinetic properties intermediate between those of casein kinases 2a and 2b. Experiments based on heat inactivation, inhibition by low concentrations of heparin and ability to use GTP as substrate suggested that phosphorylation of pp49 was catalysed by the alpha/alpha'-subunits of casein kinase 2. No similarities were observed in the phosphopeptide maps of pp49 and beta-subunit. These results show that the alpha/alpha'-subunits of rat liver cytosol casein kinase 2 can form complexes not only with the beta-subunit but also with pp49, and that the complexes containing pp49 have a reduced affinity for the exogenous protein substrate beta-casein.
通过在DEAE-琼脂糖上进行色谱分析,酪蛋白激酶2的活性可被分离为三个峰。在高盐浓度下洗脱的峰(酪蛋白激酶2b)显示出由α-(或α'-)和β-亚基组成的异源四聚体的典型分子和动力学特性。相比之下,在低盐浓度下洗脱的峰(酪蛋白激酶2a)除了α/α'-亚基外,不包含β-亚基,而是含有一种49 kDa的可磷酸化蛋白(pp49)。通过免疫测定证实了酪蛋白激酶2a和2b制剂中存在α/α'/α''-亚基。酪蛋白激酶2a对β-酪蛋白的比活性低,表观Km值非常高。在中等离子强度下洗脱的峰含有α/α'-亚基以及可变数量的β-亚基和pp49,其动力学特性介于酪蛋白激酶2a和2b之间。基于热失活、低浓度肝素抑制以及使用GTP作为底物的能力的实验表明,pp49的磷酸化是由酪蛋白激酶2的α/α'-亚基催化的。在pp49和β-亚基的磷酸肽图谱中未观察到相似之处。这些结果表明,大鼠肝脏胞质溶胶酪蛋白激酶2的α/α'-亚基不仅可以与β-亚基形成复合物,还可以与pp49形成复合物,并且含有pp49的复合物对外源蛋白质底物β-酪蛋白的亲和力降低。