Suppr超能文献

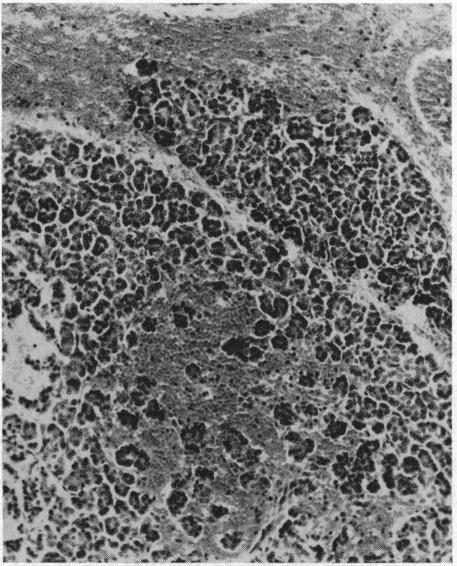
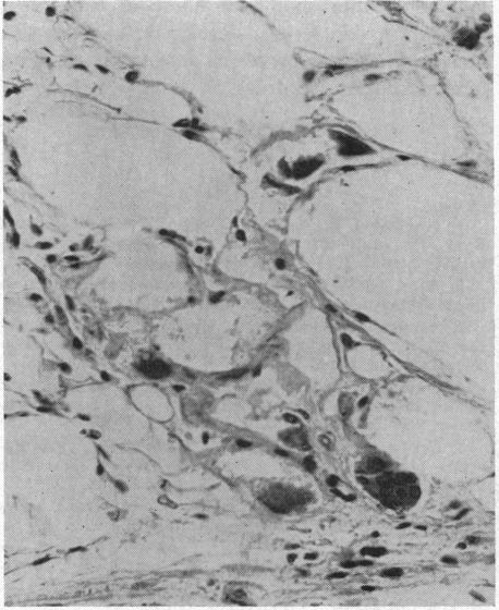
Subcutaneous fat necrosis with acute hemorrhagic pancreatitis-a case in a child with steroid-resistant nephrosis treated with 6-mercaptopurine.

作者信息

Heuser E, Lieberman E, Donnell G N, Landing B H

出版信息

Calif Med. 1967 Jan;106(1):58-63.

Abstract
摘要
https://cdn.ncbi.nlm.nih.gov/pmc/blobs/4104/1502622/7378d45f60a5/califmed00043-0060-a.jpg

文献AI研究员

20分钟写一篇综述,助力文献阅读效率提升50倍。

立即体验

用中文搜PubMed

大模型驱动的PubMed中文搜索引擎

马上搜索

文档翻译

学术文献翻译模型,支持多种主流文档格式。

立即体验