Suppr超能文献

血小板激活因子刺激的兔血小板中胞质Ca2+、sn-1,2-二酰甘油和肌醇1,4,5-三磷酸升高之间的关系。蛋白激酶C对信号分子产生的影响。

The relationship between cytosolic Ca2+, sn-1,2-diacylglycerol and inositol 1,4,5-trisphosphate elevation in platelet-activating-factor-stimulated rabbit platelets. Influence of protein kinase C on production of signal molecules.

作者信息

Murphy C T, Elmore M, Kellie S, Westwick J

机构信息

School of Pharmacy and Pharmacology, University of Bath, U.K.

出版信息

Biochem J. 1991 Aug 15;278 ( Pt 1)(Pt 1):255-61. doi: 10.1042/bj2780255.

Abstract

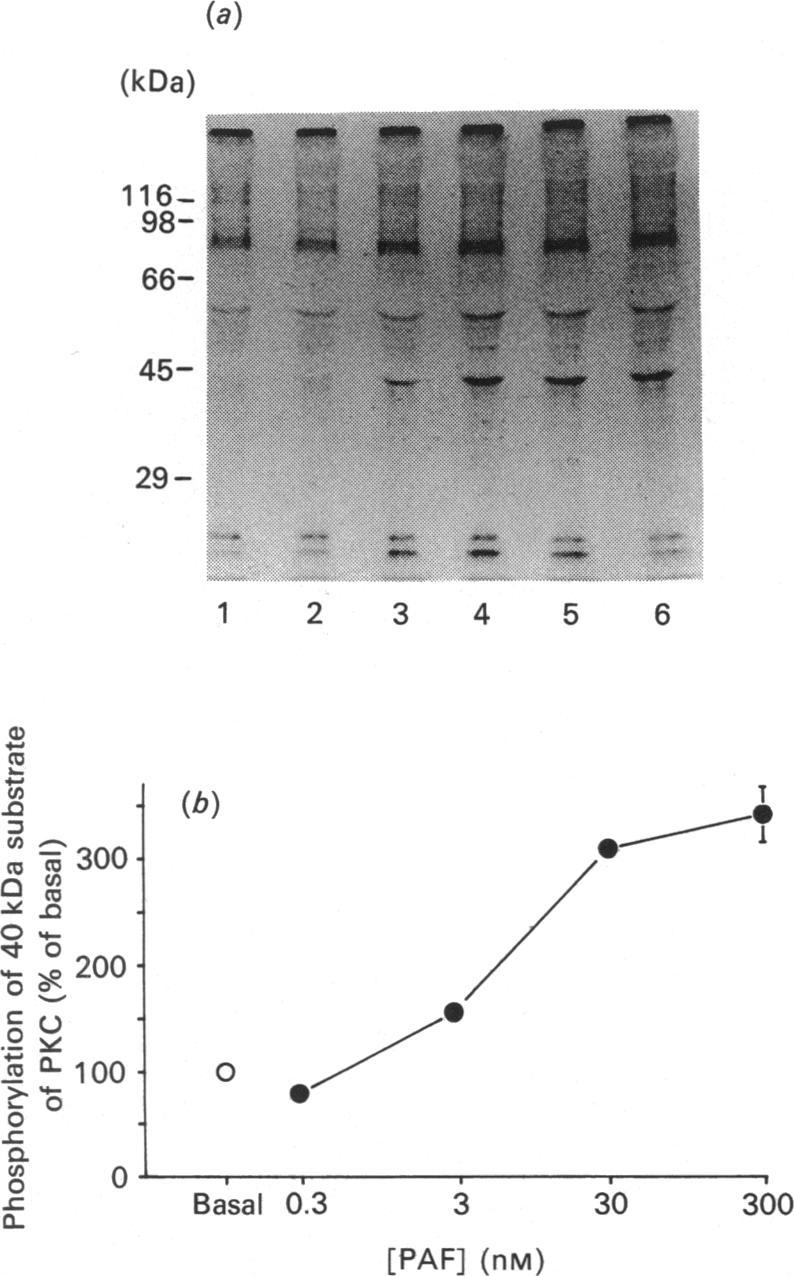
The temporal and dose-response relationships of platelet-activating-factor (PAF)-induced changes in the concentrations of cytosolic Ca2+ ([Ca2+]i), Ins(1,4,5)P3 and 1,2-diacylglycerol (DAG) were examined. In addition, phosphorylation of protein kinase C (PKC) substrate (40-47 kDa protein) was determined. In high-dose PAF-activated platelets, all three signal molecules increased rapidly and transiently, with the peak Ins(1,4,5)P3 concentration preceding maximal elevation of [Ca2+]i by 5 s. In low-dose PAF-activated platelets there were large increases in [Ca2+]i and dense-granule release, without any increase in Ins(1,4,5)P3 and DAG or 40-47 kDa protein phosphorylation. Staurosporine, a non-specific PKC inhibitor, produced enhanced elevations in the concentrations of Ins(1,4,5)P3, DAG and thromboxane B2, and the duration of the Ca2+ signal in platelets stimulated with a high dose, but not a low dose, of PAF. These results suggest there are both phospholipase C-dependent and -independent changes in Ca2+ homoeostasis. Endogenously activated PKC regulates the formation of signal molecules.

摘要

研究了血小板活化因子(PAF)诱导的细胞溶质Ca2+([Ca2+]i)、肌醇-1,4,5-三磷酸(Ins(1,4,5)P3)和1,2-二酰甘油(DAG)浓度变化的时间和剂量反应关系。此外,还测定了蛋白激酶C(PKC)底物(40 - 47 kDa蛋白)的磷酸化情况。在高剂量PAF激活的血小板中,所有三种信号分子迅速且短暂地增加,Ins(1,4,5)P3浓度峰值比[Ca2+]i的最大升高提前5秒。在低剂量PAF激活的血小板中,[Ca2+]i和致密颗粒释放大幅增加,而Ins(1,4,5)P3、DAG或40 - 47 kDa蛋白磷酸化没有增加。星形孢菌素是一种非特异性PKC抑制剂,它使高剂量而非低剂量PAF刺激的血小板中Ins(1,4,5)P3、DAG和血栓素B2的浓度升高增强,以及Ca2+信号的持续时间延长。这些结果表明,Ca2+稳态存在磷脂酶C依赖性和非依赖性变化。内源性激活的PKC调节信号分子的形成。

https://cdn.ncbi.nlm.nih.gov/pmc/blobs/34c1/1151476/eaad8585b609/biochemj00153-0250-a.jpg

文献检索

告别复杂PubMed语法,用中文像聊天一样搜索,搜遍4000万医学文献。AI智能推荐,让科研检索更轻松。

立即免费搜索

文件翻译

保留排版,准确专业,支持PDF/Word/PPT等文件格式,支持 12+语言互译。

免费翻译文档

深度研究

AI帮你快速写综述,25分钟生成高质量综述,智能提取关键信息,辅助科研写作。

立即免费体验