Suppr超能文献

鉴定人硫氧还蛋白为一种新型的γ-干扰素诱导因子:诱导机制及其在细胞因子产生中的作用。

Identification of human thioredoxin as a novel IFN-gamma-induced factor: mechanism of induction and its role in cytokine production.

作者信息

Kim Seol-Hee, Oh Jiyoung, Choi Ja-Young, Jang Ji-Young, Kang Myoung-Wha, Lee Choong-Eun

机构信息

Laboratory of Immunology, Department of Biological Science, Sungkyunkwan University, Suwon, Korea.

出版信息

BMC Immunol. 2008 Nov 5;9:64. doi: 10.1186/1471-2172-9-64.

Abstract

BACKGROUND

IFN-gamma is a multifunctional peptide with a potent immune defense function which is also known as a prototypic Th1 cytokine. While screening for genes differentially expressed by Th1 and Th2 cytokines, human thioredoxin was identified as a novel target gene induced by IFN-gamma. The mechanism by which thioredoxin is induced by IFN-gamma and the signaling pathways involved in its induction were analyzed. In addition, the effects of thioredoxin on immune cell survival and cytokine production were examined by thioredoxin over-expression and recombinant thioredoxin treatment.

RESULTS

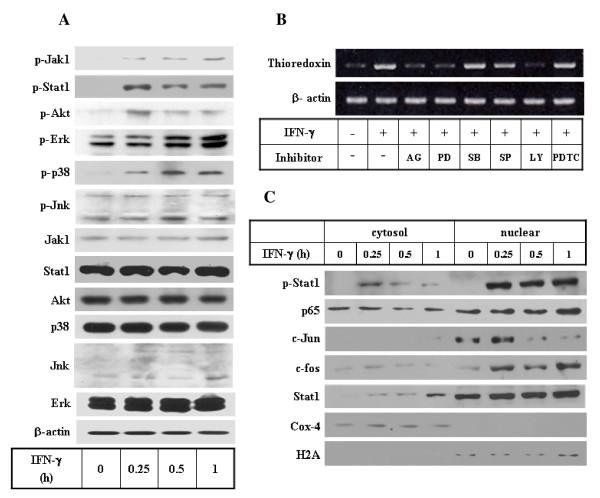
Human thioredoxin was selectively induced by IFN-gamma in monocytic and T cell lines. In monocytic cells, the induction of thioredoxin gene expression by IFN-gamma was dose-dependent, and both the mRNA and protein levels were increased by 2~3 fold within 4 to 24 h hours of IFN-gamma treatment. The thioredoxin induction by IFN-gamma was insensitive to cycloheximide treatment, suggesting that it is a primary response gene induced by IFN-gamma. Subsequent analysis of the signaling pathways indicated that the Jak/Stat, Akt, and Erk pathways play a role in IFN-gamma signaling that leads to thioredoxin gene expression. Thioredoxin was induced by oxidative or radiation stresses, and it protected the immune cells from apoptosis by reducing the levels of reactive oxygen species. Furthermore, thioredoxin modulated the oxidant-induced cytokine balance toward Th1 by counter-regulating the production of IL-4 and IFN-gamma in T cells.

CONCLUSION

These data suggest that thioredoxin is an IFN-gamma-induced factor that may play a role in developing Th1 immunity and in the maintenance of immune homeostasis upon infection, radiation, and oxidative stress.

摘要

背景

干扰素-γ是一种具有强大免疫防御功能的多功能肽,也被称为典型的Th1细胞因子。在筛选由Th1和Th2细胞因子差异表达的基因时,人硫氧还蛋白被鉴定为一种由干扰素-γ诱导的新靶基因。分析了硫氧还蛋白被干扰素-γ诱导的机制及其诱导过程中涉及的信号通路。此外,通过硫氧还蛋白过表达和重组硫氧还蛋白处理,研究了硫氧还蛋白对免疫细胞存活和细胞因子产生的影响。

结果

在单核细胞系和T细胞系中,人硫氧还蛋白被干扰素-γ选择性诱导。在单核细胞中,干扰素-γ对硫氧还蛋白基因表达的诱导呈剂量依赖性,在干扰素-γ处理4至24小时内,mRNA和蛋白水平均增加2至3倍。干扰素-γ对硫氧还蛋白的诱导对放线菌酮处理不敏感,表明它是干扰素-γ诱导的初级反应基因。随后对信号通路的分析表明,Jak/Stat、Akt和Erk通路在导致硫氧还蛋白基因表达的干扰素-γ信号传导中起作用。硫氧还蛋白由氧化或辐射应激诱导,它通过降低活性氧水平保护免疫细胞免于凋亡。此外,硫氧还蛋白通过反调节T细胞中IL-4和干扰素-γ的产生,将氧化剂诱导的细胞因子平衡调节为偏向Th1。

结论

这些数据表明,硫氧还蛋白是一种干扰素-γ诱导因子,可能在Th1免疫的发展以及感染、辐射和氧化应激后免疫稳态的维持中发挥作用。

https://cdn.ncbi.nlm.nih.gov/pmc/blobs/7aec/2596082/90351afc320f/1471-2172-9-64-1.jpg

文献AI研究员

20分钟写一篇综述,助力文献阅读效率提升50倍。

立即体验

用中文搜PubMed

大模型驱动的PubMed中文搜索引擎

马上搜索

文档翻译

学术文献翻译模型,支持多种主流文档格式。

立即体验