• 文献检索
  • 文档翻译
  • 深度研究
  • 学术资讯
  • Suppr Zotero 插件Zotero 插件
  • 邀请有礼
  • 套餐&价格
  • 历史记录
应用&插件
Suppr Zotero 插件Zotero 插件浏览器插件Mac 客户端Windows 客户端微信小程序
定价
高级版会员购买积分包购买API积分包
服务
文献检索文档翻译深度研究API 文档MCP 服务
关于我们
关于 Suppr公司介绍联系我们用户协议隐私条款
关注我们

Suppr 超能文献

核心技术专利:CN118964589B侵权必究
粤ICP备2023148730 号-1Suppr @ 2026

文献检索

告别复杂PubMed语法,用中文像聊天一样搜索,搜遍4000万医学文献。AI智能推荐,让科研检索更轻松。

立即免费搜索

文件翻译

保留排版,准确专业,支持PDF/Word/PPT等文件格式,支持 12+语言互译。

免费翻译文档

深度研究

AI帮你快速写综述,25分钟生成高质量综述,智能提取关键信息,辅助科研写作。

立即免费体验

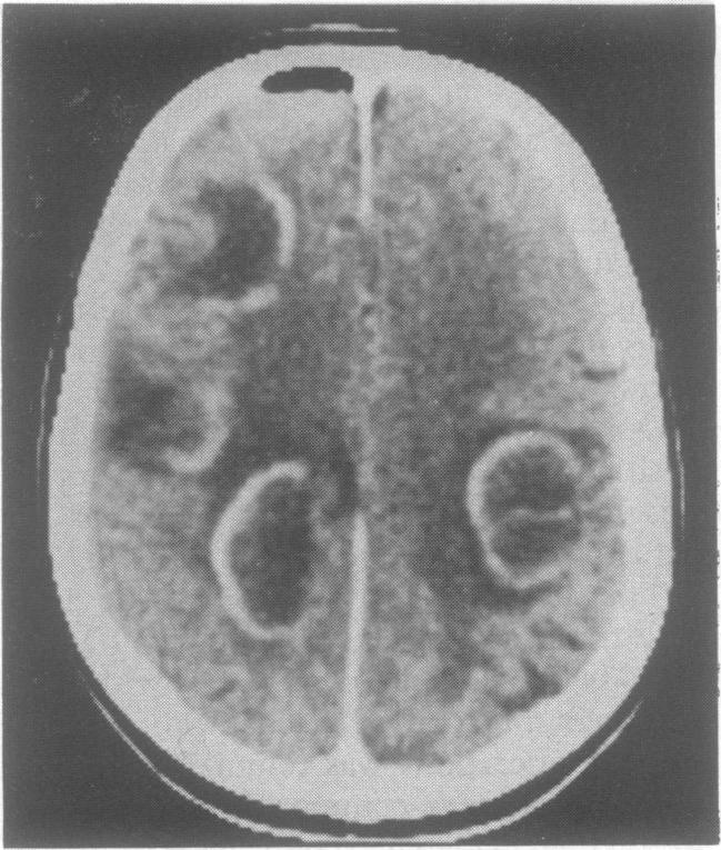
Atypical meningitis complicating a penetrating head injury.

作者信息

Thomas M, Whittet H

出版信息

J Neurol Neurosurg Psychiatry. 1991 Jan;54(1):92-3. doi: 10.1136/jnnp.54.1.92-a.

DOI:10.1136/jnnp.54.1.92-a
PMID:1901352
原文链接:https://pmc.ncbi.nlm.nih.gov/articles/PMC1014315/
Abstract
摘要
https://cdn.ncbi.nlm.nih.gov/pmc/blobs/4d97/1014315/4854140c1cd2/jnnpsyc00499-0103-a.jpg
https://cdn.ncbi.nlm.nih.gov/pmc/blobs/4d97/1014315/09984ec9e039/jnnpsyc00499-0102-a.jpg
https://cdn.ncbi.nlm.nih.gov/pmc/blobs/4d97/1014315/4854140c1cd2/jnnpsyc00499-0103-a.jpg
https://cdn.ncbi.nlm.nih.gov/pmc/blobs/4d97/1014315/09984ec9e039/jnnpsyc00499-0102-a.jpg
https://cdn.ncbi.nlm.nih.gov/pmc/blobs/4d97/1014315/4854140c1cd2/jnnpsyc00499-0103-a.jpg

相似文献

1
Atypical meningitis complicating a penetrating head injury.穿透性头部损伤并发非典型脑膜炎。
J Neurol Neurosurg Psychiatry. 1991 Jan;54(1):92-3. doi: 10.1136/jnnp.54.1.92-a.
2
An old injury with a modern twist.
Anaesthesia. 2000 Feb;55(2):199. doi: 10.1046/j.1365-2044.2000.055002199.x.
3
Craniocerebral penetrating injury caused by a spear gun through the mouth: case report.鱼枪经口腔导致的颅脑穿透伤:病例报告
J Neurosurg. 2008 May;108(5):1021-3. doi: 10.3171/JNS/2008/108/5/1021.
4
[The etiologic factor of suppurative-inflammatory processes in neurosurgery during the period of widespread use of antibiotics].
Vopr Neirokhir. 1972 May-Jun;36(4):52-6.
5
[Penetrating craniocerebral injury].
Zentralbl Chir. 1987;112(23):1473-80.
6
An unusual suicide attempt using a circular saw.
Int J Legal Med. 1994;106(4):223-4. doi: 10.1007/BF01371342.
7
[20 years' therapy with high doses of chloramphenicol in bacterial inflammations of the meninges].[大剂量氯霉素治疗细菌性脑膜炎20年]
Cas Lek Cesk. 1989 Oct 6;128(41):1303-5.
8
Penetrating and missile injuries of the head.
Neurol India. 1977 Jun;25(2):108-16.
9
[Stab injury of the brain by kitchen knife].
No Shinkei Geka. 2006 May;34(5):497-502.
10
Cefuroxime versus ampicillin and chloramphenicol for the treatment of bacterial meningitis. Report from a Swedish Study Group.头孢呋辛与氨苄西林及氯霉素治疗细菌性脑膜炎的对比研究。瑞典研究小组报告。
Lancet. 1982 Feb 6;1(8267):295-9.

引用本文的文献

1
Removal of a nonmissile, transorbital, intracranial glass shard: illustrative case.经眶非投射性颅内玻璃碎片取出术:病例说明
J Neurosurg Case Lessons. 2025 Jun 30;9(26). doi: 10.3171/CASE24851.
2
Spontaneous cerebral abscess due to in an immunocompetent male patient: A case report and review of literature.免疫功能正常男性患者因[病因不明]导致的自发性脑脓肿:一例病例报告及文献复习
World J Clin Cases. 2018 Dec 26;6(16):1169-1174. doi: 10.12998/wjcc.v6.i16.1169.
3
Recurrent septicemia in an immunocompromised patient due to probiotic strains of Bacillus subtilis.一名免疫功能低下患者因枯草芽孢杆菌益生菌株导致复发性败血症。
J Clin Microbiol. 1998 Jan;36(1):325-6. doi: 10.1128/JCM.36.1.325-326.1998.

本文引用的文献

1
Serious infections due to "non-pathogenic" organisms of the genus Bacillus. Review of their status as pathogens.由芽孢杆菌属“非致病性”微生物引起的严重感染。对其作为病原体的状况进行综述。
Am J Med. 1963 Jan;34:134-41. doi: 10.1016/0002-9343(63)90047-0.