• 文献检索
  • 文档翻译
  • 深度研究
  • 学术资讯
  • Suppr Zotero 插件Zotero 插件
  • 邀请有礼
  • 套餐&价格
  • 历史记录
应用&插件
Suppr Zotero 插件Zotero 插件浏览器插件Mac 客户端Windows 客户端微信小程序
定价
高级版会员购买积分包购买API积分包
服务
文献检索文档翻译深度研究API 文档MCP 服务
关于我们
关于 Suppr公司介绍联系我们用户协议隐私条款
关注我们

Suppr 超能文献

核心技术专利:CN118964589B侵权必究
粤ICP备2023148730 号-1Suppr @ 2026

文献检索

告别复杂PubMed语法,用中文像聊天一样搜索,搜遍4000万医学文献。AI智能推荐,让科研检索更轻松。

立即免费搜索

文件翻译

保留排版,准确专业,支持PDF/Word/PPT等文件格式,支持 12+语言互译。

免费翻译文档

深度研究

AI帮你快速写综述,25分钟生成高质量综述,智能提取关键信息,辅助科研写作。

立即免费体验

造血干细胞龛的形成需要软骨内成骨。

Endochondral ossification is required for haematopoietic stem-cell niche formation.

作者信息

Chan Charles K F, Chen Ching-Cheng, Luppen Cynthia A, Kim Jae-Beom, DeBoer Anthony T, Wei Kevin, Helms Jill A, Kuo Calvin J, Kraft Daniel L, Weissman Irving L

机构信息

Department of Pathology, Developmental Biology and Institute for Stem Cell Biology and Regenerative Medicine, Stanford University, California, USA.

出版信息

Nature. 2009 Jan 22;457(7228):490-4. doi: 10.1038/nature07547. Epub 2008 Dec 10.

DOI:10.1038/nature07547
PMID:19078959
原文链接:https://pmc.ncbi.nlm.nih.gov/articles/PMC2648141/
Abstract

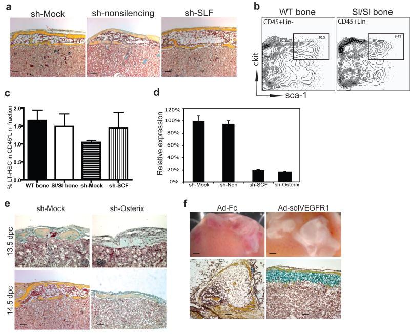
Little is known about the formation of niches, local micro-environments required for stem-cell maintenance. Here we develop an in vivo assay for adult haematopoietic stem-cell (HSC) niche formation. With this assay, we identified a population of progenitor cells with surface markers CD45(-)Tie2(-)alpha(V)(+)CD105(+)Thy1.1(-) (CD105(+)Thy1(-)) that, when sorted from 15.5 days post-coitum fetal bones and transplanted under the adult mouse kidney capsule, could recruit host-derived blood vessels, produce donor-derived ectopic bones through a cartilage intermediate and generate a marrow cavity populated by host-derived long-term reconstituting HSC (LT-HSC). In contrast, CD45(-)Tie2(-)alpha(V)(+)CD105(+)Thy1(+) (CD105(+)Thy1(+)) fetal bone progenitors form bone that does not contain a marrow cavity. Suppressing expression of factors involved in endochondral ossification, such as osterix and vascular endothelial growth factor (VEGF), inhibited niche generation. CD105(+)Thy1(-) progenitor populations derived from regions of the fetal mandible or calvaria that do not undergo endochondral ossification formed only bone without marrow in our assay. Collectively, our data implicate endochondral ossification, bone formation that proceeds through a cartilage intermediate, as a requirement for adult HSC niche formation.

摘要

对于干细胞维持所必需的局部微环境——龛的形成,人们了解甚少。在此,我们开发了一种用于成年造血干细胞(HSC)龛形成的体内检测方法。通过该检测方法,我们鉴定出了一群祖细胞,其表面标志物为CD45(-)Tie2(-)α(V)(+)CD105(+)Thy1.1(-)(CD105(+)Thy1(-)),当从妊娠15.5天的胎骨中分离并移植到成年小鼠肾被膜下时,这些祖细胞能够募集宿主来源的血管,通过软骨中间体产生供体来源的异位骨,并形成一个由宿主来源的长期造血干细胞(LT-HSC)填充的骨髓腔。相比之下,CD45(-)Tie2(-)α(V)(+)CD105(+)Thy1(+)(CD105(+)Thy1(+))胎骨祖细胞形成的骨中不包含骨髓腔。抑制参与软骨内成骨的因子表达,如osterix和血管内皮生长因子(VEGF),会抑制龛的形成。在我们的检测中,源自胎儿下颌骨或颅盖骨未经历软骨内成骨区域的CD105(+)Thy1(-)祖细胞群体仅形成无骨髓的骨。总体而言,我们的数据表明软骨内成骨,即通过软骨中间体进行的骨形成,是成年HSC龛形成的必要条件。

https://cdn.ncbi.nlm.nih.gov/pmc/blobs/bcb8/2648141/0a8fa82bf455/nihms73489f4.jpg
https://cdn.ncbi.nlm.nih.gov/pmc/blobs/bcb8/2648141/7630363b2eee/nihms73489f1.jpg
https://cdn.ncbi.nlm.nih.gov/pmc/blobs/bcb8/2648141/fd54dbf9d7d1/nihms73489f2.jpg
https://cdn.ncbi.nlm.nih.gov/pmc/blobs/bcb8/2648141/392bffb98192/nihms73489f3.jpg
https://cdn.ncbi.nlm.nih.gov/pmc/blobs/bcb8/2648141/0a8fa82bf455/nihms73489f4.jpg
https://cdn.ncbi.nlm.nih.gov/pmc/blobs/bcb8/2648141/7630363b2eee/nihms73489f1.jpg
https://cdn.ncbi.nlm.nih.gov/pmc/blobs/bcb8/2648141/fd54dbf9d7d1/nihms73489f2.jpg
https://cdn.ncbi.nlm.nih.gov/pmc/blobs/bcb8/2648141/392bffb98192/nihms73489f3.jpg
https://cdn.ncbi.nlm.nih.gov/pmc/blobs/bcb8/2648141/0a8fa82bf455/nihms73489f4.jpg

相似文献

1
Endochondral ossification is required for haematopoietic stem-cell niche formation.造血干细胞龛的形成需要软骨内成骨。
Nature. 2009 Jan 22;457(7228):490-4. doi: 10.1038/nature07547. Epub 2008 Dec 10.
2
Clonal precursor of bone, cartilage, and hematopoietic niche stromal cells.骨、软骨和造血龛基质细胞的克隆前体细胞。
Proc Natl Acad Sci U S A. 2013 Jul 30;110(31):12643-8. doi: 10.1073/pnas.1310212110. Epub 2013 Jul 15.
3
Engineering of a functional bone organ through endochondral ossification.通过软骨内骨化工程构建功能性骨器官。
Proc Natl Acad Sci U S A. 2013 Mar 5;110(10):3997-4002. doi: 10.1073/pnas.1220108110. Epub 2013 Feb 11.
4
Osteoclasts promote the formation of hematopoietic stem cell niches in the bone marrow.破骨细胞促进骨髓中造血干细胞龛的形成。
J Exp Med. 2012 Mar 12;209(3):537-49. doi: 10.1084/jem.20110994. Epub 2012 Feb 20.
5
Development of the fetal bone marrow niche and regulation of HSC quiescence and homing ability by emerging osteolineage cells.胎儿骨髓微环境的发育以及新出现的骨系细胞对造血干细胞静止和归巢能力的调控。
Cell Rep. 2014 Oct 23;9(2):581-90. doi: 10.1016/j.celrep.2014.09.013. Epub 2014 Oct 9.
6
Foxc1 is a critical regulator of haematopoietic stem/progenitor cell niche formation.Foxc1 是造血干细胞/祖细胞龛形成的关键调节因子。
Nature. 2014 Apr 24;508(7497):536-40. doi: 10.1038/nature13071. Epub 2014 Mar 2.
7
Endothelial protein C receptor-expressing hematopoietic stem cells reside in the perisinusoidal niche in fetal liver.内皮细胞蛋白 C 受体表达的造血干细胞位于胎肝窦周隙龛内。
Blood. 2010 Jul 29;116(4):544-53. doi: 10.1182/blood-2009-08-240903. Epub 2010 May 4.
8
CXCL12 in early mesenchymal progenitors is required for haematopoietic stem-cell maintenance.早期间充质祖细胞中的 CXCL12 对于造血干细胞的维持是必需的。
Nature. 2013 Mar 14;495(7440):227-30. doi: 10.1038/nature11926. Epub 2013 Feb 24.
9
Engineering Small-Scale and Scaffold-Based Bone Organs via Endochondral Ossification Using Adult Progenitor Cells.利用成体祖细胞通过软骨内成骨工程构建小型及基于支架的骨器官。
Methods Mol Biol. 2016;1416:413-24. doi: 10.1007/978-1-4939-3584-0_24.
10
Mesenchymal and haematopoietic stem cells form a unique bone marrow niche.间充质和造血干细胞构成了独特的骨髓龛。
Nature. 2010 Aug 12;466(7308):829-34. doi: 10.1038/nature09262.

引用本文的文献

1
Bone Marrow Niche Aging: Are Adipocytes Detrimental Cells in the Bone Marrow?骨髓生态位衰老:脂肪细胞是骨髓中的有害细胞吗?
Cells. 2025 May 30;14(11):814. doi: 10.3390/cells14110814.
2
Function of hematopoiesis and bone marrow niche in inflammation and non-hematopoietic diseases.造血功能及骨髓微环境在炎症和非造血系统疾病中的作用
Life Med. 2025 Mar 26;4(3):lnaf015. doi: 10.1093/lifemedi/lnaf015. eCollection 2025 Jun.
3
Harnessing the diversity and potential of endogenous skeletal stem cells for musculoskeletal tissue regeneration.

本文引用的文献

1
Self-renewing osteoprogenitors in bone marrow sinusoids can organize a hematopoietic microenvironment.骨髓血窦中的自我更新骨祖细胞能够构建造血微环境。
Cell. 2007 Oct 19;131(2):324-36. doi: 10.1016/j.cell.2007.08.025.
2
Mast cells can enhance resistance to snake and honeybee venoms.肥大细胞可以增强对蛇毒和蜂毒的抵抗力。
Science. 2006 Jul 28;313(5786):526-30. doi: 10.1126/science.1128877.
3
Stem cells and their niches.干细胞及其微环境。
利用内源性骨骼干细胞的多样性和潜力促进肌肉骨骼组织再生。
Stem Cells. 2025 Mar 10;43(3). doi: 10.1093/stmcls/sxaf006.
4
Developmental process and homeostasis of whale long bones lacking medullary cavity using the radius of Antarctic minke whales, Balaenoptera bonaerensis.利用南极小须鲸(Balaenoptera bonaerensis)的桡骨研究无骨髓腔鲸类长骨的发育过程和内稳态。
J Vet Med Sci. 2025 Apr 1;87(4):336-348. doi: 10.1292/jvms.24-0430. Epub 2025 Feb 13.
5
Skeletal Stem Cells: A Basis for Orthopaedic Pathology and Tissue Repair.骨骼干细胞:骨科病理学与组织修复的基础
J Bone Joint Surg Am. 2025 Feb 19;107(4):418-426. doi: 10.2106/JBJS.24.00905. Epub 2024 Dec 18.
6
Emerging insights into epigenetics and hematopoietic stem cell trafficking in age-related hematological malignancies.衰老相关血液系统恶性肿瘤中表观遗传学和造血干细胞归巢的新认识。
Stem Cell Res Ther. 2024 Nov 6;15(1):401. doi: 10.1186/s13287-024-04008-4.
7
Hematopoietic stem cell metabolism within the bone marrow niche - insights and opportunities.骨髓微环境中的造血干细胞代谢——见解与机遇
Bioessays. 2025 Feb;47(2):e2400154. doi: 10.1002/bies.202400154. Epub 2024 Nov 6.
8
The evolving hematopoietic niche during development.发育过程中不断演变的造血微环境。
Front Mol Biosci. 2024 Oct 2;11:1488199. doi: 10.3389/fmolb.2024.1488199. eCollection 2024.
9
The role of the haematopoietic stem cell niche in development and ageing.造血干细胞微环境在发育和衰老中的作用。
Nat Rev Mol Cell Biol. 2025 Jan;26(1):32-50. doi: 10.1038/s41580-024-00770-8. Epub 2024 Sep 10.
10
Chemical Coaxing of Mesenchymal Stromal Cells by Drug Repositioning for Nestin Induction.通过药物重定位诱导巢蛋白表达来化学诱导间充质基质细胞。
Int J Mol Sci. 2024 Jul 23;25(15):8006. doi: 10.3390/ijms25158006.
Science. 2006 Mar 31;311(5769):1880-5. doi: 10.1126/science.1110542.
4
The hematopoietic stem cell in its place.处于其所在位置的造血干细胞。
Nat Immunol. 2006 Apr;7(4):333-7. doi: 10.1038/ni1331.
5
Bone-marrow haematopoietic-stem-cell niches.骨髓造血干细胞龛
Nat Rev Immunol. 2006 Feb;6(2):93-106. doi: 10.1038/nri1779.
6
Osteo-chondroprogenitor cells are derived from Sox9 expressing precursors.骨软骨祖细胞源自表达Sox9的前体细胞。
Proc Natl Acad Sci U S A. 2005 Oct 11;102(41):14665-70. doi: 10.1073/pnas.0504750102. Epub 2005 Oct 3.
7
Normal and neoplastic stem cells.正常干细胞与肿瘤干细胞。
Novartis Found Symp. 2005;265:35-50; discussion 50-4, 92-7.
8
NFAT and Osterix cooperatively regulate bone formation.活化T细胞核因子(NFAT)和osterix协同调节骨形成。
Nat Med. 2005 Aug;11(8):880-5. doi: 10.1038/nm1270. Epub 2005 Jul 24.
9
SLAM family receptors distinguish hematopoietic stem and progenitor cells and reveal endothelial niches for stem cells.信号淋巴细胞激活分子家族受体可区分造血干细胞和祖细胞,并揭示干细胞的内皮龛位。
Cell. 2005 Jul 1;121(7):1109-21. doi: 10.1016/j.cell.2005.05.026.
10
Adenoviral gene transfer with soluble vascular endothelial growth factor receptors impairs angiogenesis and perfusion in a murine model of hindlimb ischemia.在小鼠后肢缺血模型中,利用可溶性血管内皮生长因子受体进行腺病毒基因转移会损害血管生成和灌注。
Circulation. 2004 Oct 19;110(16):2424-9. doi: 10.1161/01.CIR.0000145142.85645.EA. Epub 2004 Oct 11.