Suppr超能文献

进行性家族性肝内胆汁淤积症

Progressive familial intrahepatic cholestasis.

作者信息

Davit-Spraul Anne, Gonzales Emmanuel, Baussan Christiane, Jacquemin Emmanuel

机构信息

Biochemistry, Bicêtre Hospital, University of Paris-sud XI, Assistance Publique-Hôpitaux de Paris, Paris, France.

出版信息

Orphanet J Rare Dis. 2009 Jan 8;4:1. doi: 10.1186/1750-1172-4-1.

Abstract

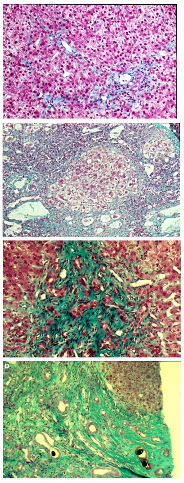
Progressive familial intrahepatic cholestasis (PFIC) refers to heterogeneous group of autosomal recessive disorders of childhood that disrupt bile formation and present with cholestasis of hepatocellular origin. The exact prevalence remains unknown, but the estimated incidence varies between 1/50,000 and 1/100,000 births. Three types of PFIC have been identified and related to mutations in hepatocellular transport system genes involved in bile formation. PFIC1 and PFIC2 usually appear in the first months of life, whereas onset of PFIC3 may also occur later in infancy, in childhood or even during young adulthood. Main clinical manifestations include cholestasis, pruritus and jaundice. PFIC patients usually develop fibrosis and end-stage liver disease before adulthood. Serum gamma-glutamyltransferase (GGT) activity is normal in PFIC1 and PFIC2 patients, but is elevated in PFIC3 patients. Both PFIC1 and PFIC2 are caused by impaired bile salt secretion due respectively to defects in ATP8B1 encoding the FIC1 protein, and in ABCB11 encoding the bile salt export pump protein (BSEP). Defects in ABCB4, encoding the multi-drug resistant 3 protein (MDR3), impair biliary phospholipid secretion resulting in PFIC3. Diagnosis is based on clinical manifestations, liver ultrasonography, cholangiography and liver histology, as well as on specific tests for excluding other causes of childhood cholestasis. MDR3 and BSEP liver immunostaining, and analysis of biliary lipid composition should help to select PFIC candidates in whom genotyping could be proposed to confirm the diagnosis. Antenatal diagnosis can be proposed for affected families in which a mutation has been identified. Ursodeoxycholic acid (UDCA) therapy should be initiated in all patients to prevent liver damage. In some PFIC1 or PFIC2 patients, biliary diversion can also relieve pruritus and slow disease progression. However, most PFIC patients are ultimately candidates for liver transplantation. Monitoring of hepatocellular carcinoma, especially in PFIC2 patients, should be offered from the first year of life. Hepatocyte transplantation, gene therapy or specific targeted pharmacotherapy may represent alternative treatments in the future.

摘要

进行性家族性肝内胆汁淤积症(PFIC)是一组异质性常染色体隐性遗传性儿童疾病,会破坏胆汁形成,并表现为肝细胞源性胆汁淤积。确切的患病率尚不清楚,但估计发病率在每50000至100000例出生中出现1例。已确定三种类型的PFIC,它们与参与胆汁形成的肝细胞转运系统基因突变有关。PFIC1和PFIC2通常在出生后的头几个月出现,而PFIC3也可能在婴儿期后期、儿童期甚至青年期发病。主要临床表现包括胆汁淤积、瘙痒和黄疸。PFIC患者通常在成年前发展为肝纤维化和终末期肝病。PFIC1和PFIC2患者的血清γ-谷氨酰转移酶(GGT)活性正常,但PFIC3患者的GGT活性升高。PFIC1和PFIC2均分别由编码FIC1蛋白的ATP8B1缺陷以及编码胆盐输出泵蛋白(BSEP)的ABCB11缺陷导致胆盐分泌受损引起。编码多药耐药3蛋白(MDR3)的ABCB4缺陷会损害胆汁磷脂分泌,从而导致PFIC3。诊断基于临床表现、肝脏超声、胆管造影和肝脏组织学,以及用于排除儿童胆汁淤积其他病因的特定检查。MDR3和BSEP肝脏免疫染色以及胆汁脂质成分分析有助于筛选出可进行基因分型以确诊的PFIC候选者。对于已鉴定出突变的受影响家庭,可进行产前诊断。所有患者均应开始使用熊去氧胆酸(UDCA)治疗以预防肝损伤。在一些PFIC1或PFIC2患者中,胆汁转流也可缓解瘙痒并减缓疾病进展。然而,大多数PFIC患者最终都需要进行肝移植。应从出生第一年起对肝细胞癌进行监测,尤其是PFIC2患者。肝细胞移植、基因治疗或特定的靶向药物治疗可能是未来的替代治疗方法。

https://cdn.ncbi.nlm.nih.gov/pmc/blobs/487a/2647530/5ee02121bef0/1750-1172-4-1-1.jpg

文献AI研究员

20分钟写一篇综述,助力文献阅读效率提升50倍。

立即体验

用中文搜PubMed

大模型驱动的PubMed中文搜索引擎

马上搜索

文档翻译

学术文献翻译模型,支持多种主流文档格式。

立即体验