Mittal Rahul, Wang Ying, Hunter Catherine J, Gonzalez-Gomez Ignacio, Prasadarao Nemani V
Department of Pediatrics, Division of Infectious Diseases, The Saban Research Institute, Childrens Hospital Los Angeles, Los Angeles, CA 90027, USA.
Lab Invest. 2009 Mar;89(3):263-77. doi: 10.1038/labinvest.2008.164. Epub 2009 Jan 12.
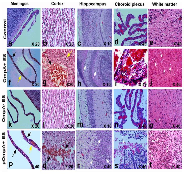
Enterobacter sakazakii (ES) is an emerging pathogen that causes sepsis, meningitis, and necrotizing enterocolitis in neonates. Very limited information is available regarding the pathogenesis of these diseases and the specific virulence factors of ES. Here, we demonstrate, for the first time using a newborn rat model, that outer membrane protein A (OmpA) expression is important for the onset of meningitis by ES. Orally administered OmpA(+) ES traverses the intestinal barrier, multiplies in blood, and subsequently penetrates the blood-brain barrier. OmpA(+) ES were present in high numbers in the brains of infected animals along with associated neutrophil infiltration, hemorrhage, and gliosis. In contrast, OmpA(-) ES could not bind to the intestinal epithelial cells in vitro and in vivo efficiently. The bound OmpA(+) ES also caused apoptosis of enterocytes in the intestinal segments of infected animals; OmpA(-) ES did not. Furthermore, OmpA(-) ES are very susceptible to blood and serum killing, whereas OmpA(+) ES are resistant. Of note, 100% mortality rates were observed in OmpA(+) ES-infected newborn rats, whereas OmpA(-) ES-infected rats survived without any pathological manifestations. The inability of OmpA(-) ES to cause disease was restored by complementation with the ompA gene. These results suggest that OmpA expression in ES is necessary for the colonization of the gastrointestinal tract and for subsequent survival in blood to cause meningitis.
阪崎肠杆菌(ES)是一种新出现的病原体,可导致新生儿败血症、脑膜炎和坏死性小肠结肠炎。关于这些疾病的发病机制以及ES的特定毒力因子的信息非常有限。在此,我们首次使用新生大鼠模型证明,外膜蛋白A(OmpA)的表达对于ES引起脑膜炎至关重要。口服给予的OmpA(+) ES穿过肠道屏障,在血液中繁殖,随后穿透血脑屏障。在感染动物的大脑中大量存在OmpA(+) ES,并伴有相关的中性粒细胞浸润、出血和胶质细胞增生。相比之下,OmpA(-) ES在体外和体内均不能有效地与肠上皮细胞结合。结合的OmpA(+) ES还导致感染动物肠道段的肠细胞凋亡;OmpA(-) ES则不会。此外,OmpA(-) ES对血液和血清杀伤非常敏感,而OmpA(+) ES具有抗性。值得注意的是,在感染OmpA(+) ES的新生大鼠中观察到100%的死亡率,而感染OmpA(-) ES的大鼠存活且无任何病理表现。通过ompA基因互补可恢复OmpA(-) ES引起疾病的能力。这些结果表明,ES中OmpA的表达对于胃肠道定植以及随后在血液中存活以引起脑膜炎是必要的。