Dharmapatni Anak A S S K, Smith Malcolm D, Findlay David M, Holding Christopher A, Evdokiou Andreas, Ahern Michael J, Weedon Helen, Chen Paul, Screaton Gavin, Xu Xiao N, Haynes David R
Discipline of Pathology, School of Medical Sciences, Faculty of Health Sciences, University of Adelaide, North Terrace, Adelaide, 5005 South Australia, Australia.
Arthritis Res Ther. 2009;11(1):R13. doi: 10.1186/ar2603. Epub 2009 Jan 27.
Tumour necrosis factor-related apoptosis-inducing ligand (TRAIL) is a tumour necrosis factor (TNF) family member capable of inducing apoptosis in many cell types.
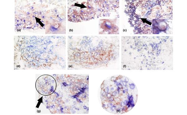
Using immunohistochemistry, terminal deoxynucleotidyl transferase biotin-dUTP nick end labelling (TUNEL) and real-time PCR we investigated the expression of TRAIL, TRAIL receptors and several key molecules of the intracellular apoptotic pathway in human synovial tissues from various types of arthritis and normal controls. Synovial tissues from patients with active rheumatoid arthritis (RA), inactive RA, osteoarthritis (OA) or spondyloarthritis (SpA) and normal individuals were studied.
Significantly higher levels of TRAIL, TRAIL R1, TRAIL R2 and TRAIL R4 were observed in synovial tissues from patients with active RA compared with normal controls (p < 0.05). TRAIL, TRAIL R1 and TRAIL R4 were expressed by many of the cells expressing CD68 (macrophages). Lower levels of TUNEL but higher levels of cleaved caspase-3 staining were detected in tissue from active RA compared with inactive RA patients (p < 0.05). Higher levels of survivin and x-linked inhibitor of apoptosis protein (xIAP) were expressed in active RA synovial tissues compared with inactive RA observed at both the protein and mRNA levels.
This study indicates that the induction of apoptosis in active RA synovial tissues is inhibited despite stimulation of the intracellular pathway(s) that lead to apoptosis. This inhibition of apoptosis was observed downstream of caspase-3 and may involve the caspase-3 inhibitors, survivin and xIAP.
肿瘤坏死因子相关凋亡诱导配体(TRAIL)是肿瘤坏死因子(TNF)家族成员,能够在多种细胞类型中诱导凋亡。
我们采用免疫组织化学、末端脱氧核苷酸转移酶生物素-dUTP缺口末端标记法(TUNEL)和实时聚合酶链反应,研究了TRAIL、TRAIL受体以及细胞内凋亡途径的几种关键分子在各类关节炎患者和正常对照者的人类滑膜组织中的表达情况。研究对象包括活动期类风湿关节炎(RA)、非活动期RA、骨关节炎(OA)或脊柱关节炎(SpA)患者的滑膜组织以及正常个体的滑膜组织。
与正常对照相比,活动期RA患者滑膜组织中TRAIL、TRAIL R1、TRAIL R2和TRAIL R4的水平显著更高(p < 0.05)。许多表达CD68的细胞(巨噬细胞)表达TRAIL、TRAIL R1和TRAIL R4。与非活动期RA患者相比,活动期RA组织中TUNEL水平较低,但裂解的半胱天冬酶-3染色水平较高(p < 0.05)。与非活动期RA相比,活动期RA滑膜组织中生存素和X连锁凋亡抑制蛋白(XIAP)在蛋白和mRNA水平均表达更高。
本研究表明,尽管导致凋亡的细胞内途径受到刺激,但活动期RA滑膜组织中的凋亡诱导仍受到抑制。这种凋亡抑制在半胱天冬酶-3下游观察到,可能涉及半胱天冬酶-3抑制剂、生存素和XIAP。