Suppr超能文献

用于抑制丙型肝炎病毒4型复制的共识小干扰RNA

Consensus siRNA for inhibition of HCV genotype-4 replication.

作者信息

Zekri Abdel Rahman N, Bahnassy Abeer A, El-Din Hanaa M Alam, Salama Hosny M

机构信息

Virology and Immunology Unit, Cancer Biology Department, National Cancer Institute, Cairo University, 1st Kasr El-Aini st, Cairo, Egypt.

出版信息

Virol J. 2009 Jan 27;6:13. doi: 10.1186/1743-422X-6-13.

Abstract

BACKGROUND

HCV is circulating as a heterogeneous group of quasispecies. It has been addressed that siRNA can inhibit HCV replication in-vitro using HCV clone and/or replicon which have only one genotype. The current study was conducted to assess whether siRNA can inhibit different HCV genotypes with many quasispecies and to assess whether consensus siRNA have the same effect as regular siRNA.

METHODS

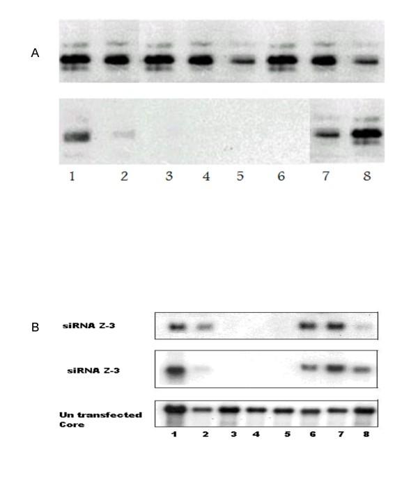
We generated two chemically synthesized consensus siRNAs (Z3 and Z5) which cover most known HCV genotype sequences and quasispecies using Ambium system. Highly positive HCV patient's serum with nine quasispecies was transfected in-vitro to Huh-7 cell line which supports HCV genotype-4 replication. siRNA (Z3&Z5) were transfected according to Qiagen Porta-lipid technique and subsequently cultured for eight days. HCV replication was monitored by RT-PCR for detection of plus and minus strands. Real-time PCR was used for quantification of HCV, whereas detection of the viral core protein was performed by western blot.

RESULTS

HCV RNA levels decreased 18-fold (P = 0.001) and 25-fold (P = 0.0005) in cells transfected with Z3 and Z5, respectively, on Day 2 post transfection and continued for Day 3 by Z3 and Day 7 by Z5. Reduction of core protein expression was reported at Day 2 post Z3 siRNA transfection and at Day 1 post Z5 siRNA, which was persistent for Day 4 for the former and for Day 6 for the latter.

CONCLUSION

Consensus siRNA could be used as a new molecular target therapy to effectively inhibit HCV replication in the presence of more than one HCV quasispecies.

摘要

背景

丙型肝炎病毒(HCV)以准种的异质群体形式传播。已有研究表明,小干扰RNA(siRNA)可利用仅具有一种基因型的HCV克隆和/或复制子在体外抑制HCV复制。本研究旨在评估siRNA是否能抑制具有多种准种的不同HCV基因型,以及评估共有序列siRNA与常规siRNA的效果是否相同。

方法

我们使用Ambium系统生成了两种化学合成的共有序列siRNA(Z3和Z5),它们覆盖了大多数已知的HCV基因型序列和准种。将含有9种准种的HCV高阳性患者血清在体外转染至支持HCV 4型复制的Huh-7细胞系。根据Qiagen Porta-lipid技术转染siRNA(Z3和Z5),随后培养8天。通过逆转录聚合酶链反应(RT-PCR)监测HCV复制,以检测正链和负链。实时荧光定量PCR用于定量HCV,而通过蛋白质免疫印迹法检测病毒核心蛋白。

结果

转染后第2天,用Z3和Z5转染的细胞中HCV RNA水平分别下降了18倍(P = 0.001)和25倍(P = 0.0005),Z3持续到第3天,Z5持续到第7天。Z3 siRNA转染后第2天和Z5 siRNA转染后第1天报告核心蛋白表达降低,前者持续到第4天,后者持续到第6天。

结论

在存在多种HCV准种的情况下,共有序列siRNA可作为一种新的分子靶向疗法有效抑制HCV复制。

https://cdn.ncbi.nlm.nih.gov/pmc/blobs/6cb6/2661880/3df312218ce8/1743-422X-6-13-1.jpg

文献AI研究员

20分钟写一篇综述,助力文献阅读效率提升50倍。

立即体验

用中文搜PubMed

大模型驱动的PubMed中文搜索引擎

马上搜索

文档翻译

学术文献翻译模型,支持多种主流文档格式。

立即体验