Sarmadi Soheila, Heidari Amir B, Sina Amir H, Ehsani Mohammad A
Pathology Department, Medical Faculty, Tehran University of Medical Sciences, Tehran, Iran.
J Med Case Rep. 2009 Jan 29;3:35. doi: 10.1186/1752-1947-3-35.
Synchronous composite tumors are uncommon. Simultaneous, rather than metachronous or consecutive, occurrences of eosinophilic granuloma and Hodgkin's lymphoma in children are very rare. This is the first report of this kind in the medical literature.
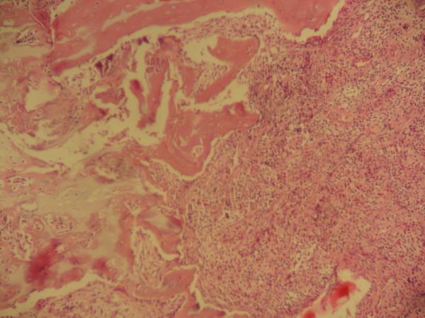
We report the case of a 12-year-old Iranian boy with eosinophilic granuloma localized in his leg around the knee and Hodgkin's lymphoma in a cervical lymph node. The two tumours occurred synchronously before the patient had received any treatment.
Several cases of an association between eosinophilic granuloma and lymphoproliferative disorder have been reported. Some of these cases involve Hodgkin's lymphoma and Langerhans cell histiocytosis occurring in the same patient. Genetic or environmental etiologies have been postulated for eosinophilic granulomas which occur following Hodgkin's lymphomas, but have as yet not been proven. To our knowledge, synchronous occurrence of these two malignant processes in a patient who has not received any prior treatment is rare in children.
同步性复合肿瘤并不常见。儿童同时发生嗜酸性肉芽肿和霍奇金淋巴瘤,而非异时性或连续性发生,这种情况非常罕见。这是医学文献中此类情况的首例报告。
我们报告了一名12岁伊朗男孩的病例,其腿部膝盖周围患有嗜酸性肉芽肿,颈部淋巴结患有霍奇金淋巴瘤。这两种肿瘤在患者接受任何治疗之前同步发生。
已有多例嗜酸性肉芽肿与淋巴增殖性疾病相关联的病例报告。其中一些病例涉及同一患者同时发生霍奇金淋巴瘤和朗格汉斯细胞组织细胞增多症。对于霍奇金淋巴瘤后发生的嗜酸性肉芽肿,已推测有遗传或环境病因,但尚未得到证实。据我们所知,在未接受任何先前治疗的儿童患者中,这两种恶性病变同步发生很少见。