Suppr超能文献

同步诊断的恶性黑色素瘤和慢性淋巴细胞白血病/小淋巴细胞淋巴瘤淋巴结碰撞肿瘤:病例报告。

Synchronously diagnosed lymph nodal collision tumor of malignant melanoma and chronic lymphocytic leukemia/small lymphocytic lymphoma: case report.

机构信息

Department of Pathology and Molecular Medicine, McMaster University, Hamilton, Ontario, Canada.

出版信息

Diagn Pathol. 2007 Aug 30;2:34. doi: 10.1186/1746-1596-2-34.

Abstract

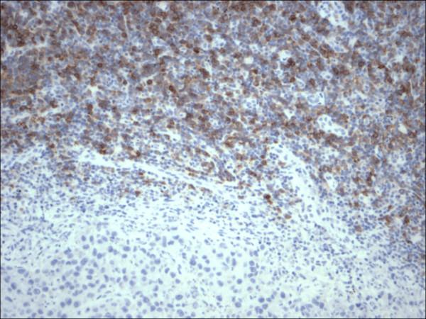
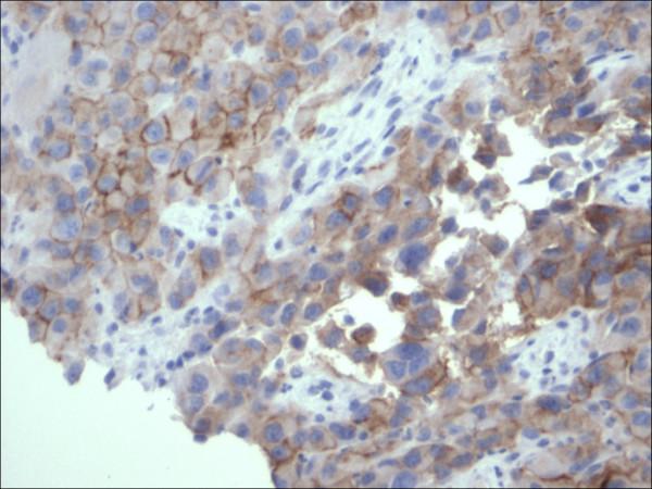
Synchronous composite tumors have been described but are uncommon. Moreover, simultaneous occurrence of synchronous tumors in the same tissue or organ is even less common. We report a case of chronic lymphocytic leukemia (CLL)/small lymphocytic lymphoma and malignant melanoma (MM) occurring synchronously in the same lymph node. Several cases of an association between cutaneous malignancies and lymphoproliferative disorders have been reported. Some of which included CLL and MM, occurring in the same patient often CLL after MM. The risk of having CLL after MM has been reported to be increased. Various genetic and environmental etiologies have been postulated, but have as yet not been proven. To our knowledge this is the first time that synchronous occurrence of these two malignant processes in the same tissue is described. In this case it is important that the melanoma was recognized in the excised lymph node, as this finding had much more critical treatment and long term survival consequences.

摘要

已经描述了同步复合肿瘤,但它们并不常见。此外,在同一组织或器官中同时发生同步肿瘤甚至更为罕见。我们报告了一例慢性淋巴细胞白血病(CLL)/小淋巴细胞淋巴瘤和恶性黑色素瘤(MM)同时发生在同一淋巴结的病例。已经报道了几种皮肤恶性肿瘤与淋巴增生性疾病之间的关联。其中一些包括 CLL 和 MM,常发生在 MM 之后的同一患者中。据报道,MM 后发生 CLL 的风险增加。已经提出了各种遗传和环境病因,但尚未得到证实。据我们所知,这是首次在同一组织中同时发生这两种恶性过程的情况。在这种情况下,重要的是在切除的淋巴结中识别出黑色素瘤,因为这一发现对治疗和长期生存有更关键的影响。

https://cdn.ncbi.nlm.nih.gov/pmc/blobs/b0c8/2040134/672e675f4c28/1746-1596-2-34-1.jpg

文献AI研究员

20分钟写一篇综述,助力文献阅读效率提升50倍。

立即体验

用中文搜PubMed

大模型驱动的PubMed中文搜索引擎

马上搜索

文档翻译

学术文献翻译模型,支持多种主流文档格式。

立即体验