Suppr超能文献

具有抑制活性的基因工程改造的BMP-2变体的生物活性

Biological activity of a genetically modified BMP-2 variant with inhibitory activity.

作者信息

Klammert Uwe, Nickel Joachim, Würzler Kristian, Klingelhöffer Christoph, Sebald Walter, Kübler Alexander C, Reuther Tobias

机构信息

Department of Cranio-Maxillo-Facial Surgery, University of Würzburg, Pleicherwall 2, 97070 Würzburg, Germany.

出版信息

Head Face Med. 2009 Feb 2;5:6. doi: 10.1186/1746-160X-5-6.

Abstract

BACKGROUND

Alterations of the binding epitopes of bone morphogenetic protein-2 (BMP-2) lead to a modified interaction with the ectodomains of BMP receptors. In the present study the biological effect of a BMP-2 double mutant with antagonistic activity was evaluated in vivo.

METHODS

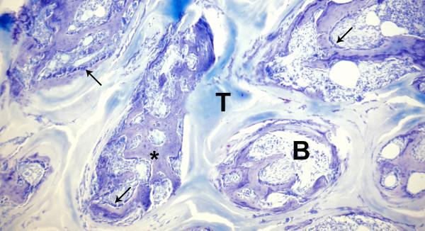
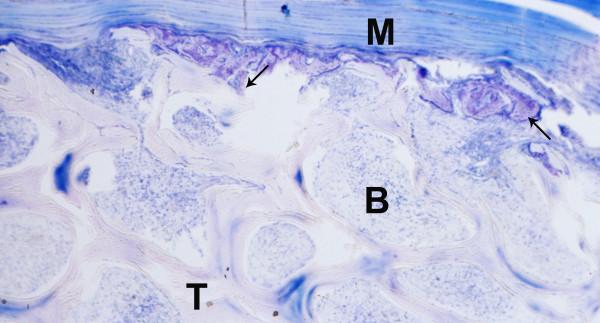
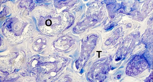
Equine-derived collagenous carriers were loaded with recombinant human BMP-2 (rhBMP-2) in a well-known dose to provide an osteoinductive stimulus. The study was performed in a split animal design: carriers only coupled with rhBMP-2 (control) were implanted into prepared cavities of lower limb muscle of rats, specimens coupled with rhBMP-2 as well as BMP-2 double mutant were placed into the opposite limb in the same way. After 28 days the carriers were explanted, measured radiographically and characterized histologically.

RESULTS

As expected, the BMP-2 loaded implants showed a typical heterotopic bone formation. The specimens coupled with both proteins showed a significant decreased bone formation in a dose dependent manner.

CONCLUSION

The antagonistic effect of a specific BMP-2 double mutant could be demonstrated in vivo. The dose dependent influence on heterotopic bone formation by preventing rhBMP-2 induced osteoinduction suggests a competitive receptor antagonism.

摘要

背景

骨形态发生蛋白-2(BMP-2)结合表位的改变导致其与BMP受体胞外域的相互作用发生改变。在本研究中,对具有拮抗活性的BMP-2双突变体的生物学效应进行了体内评估。

方法

将马源胶原载体以已知剂量负载重组人BMP-2(rhBMP-2),以提供骨诱导刺激。本研究采用动物分组设计:仅与rhBMP-2偶联的载体(对照组)植入大鼠下肢肌肉的制备腔中,与rhBMP-2以及BMP-2双突变体偶联的标本以相同方式植入对侧肢体。28天后取出载体,进行放射学测量并进行组织学表征。

结果

正如预期的那样,负载BMP-2的植入物显示出典型的异位骨形成。与两种蛋白质偶联的标本显示骨形成以剂量依赖性方式显著减少。

结论

特定BMP-2双突变体的拮抗作用在体内得到证实。通过阻止rhBMP-2诱导的骨诱导对异位骨形成的剂量依赖性影响表明存在竞争性受体拮抗作用。

https://cdn.ncbi.nlm.nih.gov/pmc/blobs/04bc/2646720/ef0ae73fa3fa/1746-160X-5-6-1.jpg

文献AI研究员

20分钟写一篇综述,助力文献阅读效率提升50倍。

立即体验

用中文搜PubMed

大模型驱动的PubMed中文搜索引擎

马上搜索

文档翻译

学术文献翻译模型,支持多种主流文档格式。

立即体验