Suppr超能文献

载重组人骨形态发生蛋白-2 壳聚糖纳米球珊瑚羟基磷灰石植入物的制备及其成骨功效。

Preparation of Coralline Hydroxyapatite Implant with Recombinant Human Bone Morphogenetic Protein-2-Loaded Chitosan Nanospheres and Its Osteogenic Efficacy.

机构信息

Department of Trauma Orthopaedics, General Hospital of Southern Theater Command, PLA, Guangzhou, China.

Department of Orthopaedics, The First Affiliated Hospital of Jiangxi Medical College, Shangrao, China.

出版信息

Orthop Surg. 2020 Dec;12(6):1947-1953. doi: 10.1111/os.12752. Epub 2020 Oct 20.

Abstract

OBJECTIVE

Spinal fusion is one of the most common surgical interventions for spine reconstruction. Despite the efforts to promote osteogenesis after spinal fusion, osteogenesis after spinal fusion remains a clinical challenge and new methods are still needed. The bone morphogenetic protein-2 (BMP-2) is a widely reported factor that can facilitate the osteogenesis in spinal fusion. In previous research, we found that the delivery of chitosan nanospheres could promote the effects of BMP-2 on osteogenic activity. The coralline hydroxyapatite (CHA) is one of the most frequently used implants in bone fusion. However, up to now no study has focused on the osteogenic efficacy of the CHA composite with recombinant human BMP-2 (rhBMP-2)-loaded chitosan nanospheres. This study aimed to investigate the effects of the CHA implant with rhBMP-2-loaded chitosan nanospheres on osteogenesis in spinal fusion.

METHODS

The rhBMP-2-loaded microspheres and CHA composite (rhBMP-2 microspheres/CHA) were prepared and were used for implantation of the rats. All SD rats were divided into four groups: the rhBMP-2 microspheres/CHA composite group (containing 0.5 mg rhBMP-2), the rhBMP-2-loaded CHA (rhBMP-2/CHA) composite group (containing 0.5 mg rhBMP-2), the blank CHA group, and the negative control group. The microsphere morphology was scanned and analyzed using a scanning electron microscope. Micro-computed tomography examination and three-dimensional reconstruction were performed 4 weeks after the surgery. Hematoxylin and eosin staining was conducted for histological analysis. Both alkaline phosphatase (ALP) and calcium content were measured.

RESULTS

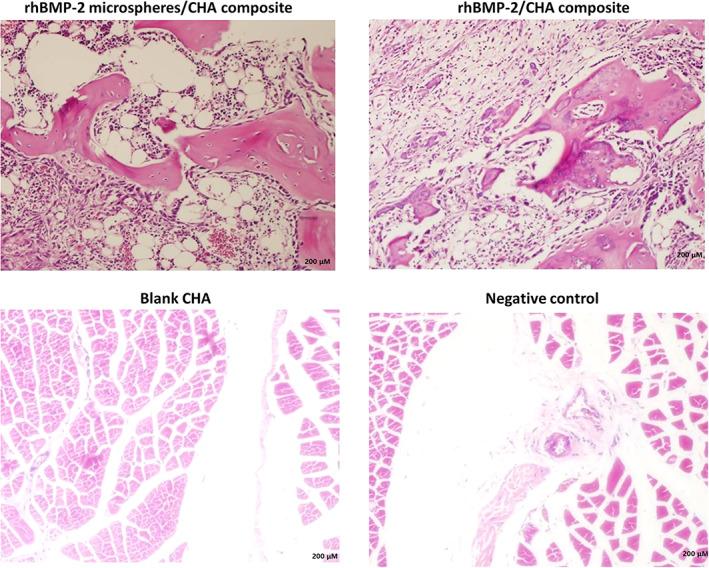
The rhBMP-2-loaded CHA (rhBMP-2/CHA) composite was successfully prepared. Spherical regularity and a smooth and unwrinkled surface of the spheres were observed in all chitosan (CS)/rhBMP-2 microspheres. No side effects, infections, or abnormal behaviors were found in the animals. After 4 weeks of surgery, obvious new bone formation and bone fusion could be observed around the implant in both the rhBMP-2 microspheres/CHA composite group and the rhBMP-2/CHA composite group. No ectopic osteogenesis was found in the vertebral canal or other muscle tissues. After 4 weeks of implantation, in both the rhBMP-2 microspheres/CHA composite group and the rhBMP-2/CHA composite group, osteoid tissues could be found, and bone cells, bone marrow, and trabecular bone turned into mature sclerotin, obvious bone tissue formation could be also seen. Both ALP activity and calcium content in the rhBMP-2 microspheres/CHA composite group (6.52 ± 0.50 kat/g and 17.54 ± 2.49 μg/mg) were significantly higher than in all other groups.

CONCLUSION

The composite with rhBMP-2-loaded CS nanospheres could enhance osteogenic efficacy and increase the ALP activity and calcium content. These results might provide a novel method for osteogenesis in spinal fusion and offer new insight into the role of BMP-2 in osteogenesis.

摘要

目的

脊柱融合是脊柱重建最常见的手术干预之一。尽管人们努力促进脊柱融合后的成骨作用,但脊柱融合后的成骨仍然是一个临床挑战,仍然需要新的方法。骨形态发生蛋白-2(BMP-2)是一种广泛报道的可以促进脊柱融合中成骨作用的因子。在之前的研究中,我们发现壳聚糖纳米球的递送可以促进 BMP-2 对成骨活性的作用。珊瑚羟基磷灰石(CHA)是骨融合中最常使用的植入物之一。然而,到目前为止,还没有研究集中在负载重组人 BMP-2(rhBMP-2)的壳聚糖纳米球的 CHA 复合材料对脊柱融合中成骨作用的影响。本研究旨在探讨负载 rhBMP-2 的壳聚糖纳米球的 CHA 植入物对脊柱融合中成骨作用的影响。

方法

制备负载 rhBMP-2 的微球和 CHA 复合材料(rhBMP-2 微球/CHA),并将其用于大鼠的植入。所有 SD 大鼠分为四组:rhBMP-2 微球/CHA 复合材料组(含 0.5mg rhBMP-2)、负载 rhBMP-2 的 CHA 复合材料组(含 0.5mg rhBMP-2)、空白 CHA 组和阴性对照组。使用扫描电子显微镜扫描和分析微球形态。术后 4 周进行微计算机断层扫描检查和三维重建。进行苏木精和伊红染色进行组织学分析。同时测量碱性磷酸酶(ALP)和钙含量。

结果

成功制备了负载 rhBMP-2 的 CHA(rhBMP-2/CHA)复合材料。壳聚糖(CS)/rhBMP-2 微球表面光滑无皱纹,呈规则球形。动物未出现任何副作用、感染或异常行为。手术后 4 周,在 rhBMP-2 微球/CHA 复合材料组和 rhBMP-2/CHA 复合材料组中,均能观察到植入物周围有明显的新骨形成和骨融合。在椎管或其他肌肉组织中未发现异位成骨。植入后 4 周,rhBMP-2 微球/CHA 复合材料组和 rhBMP-2/CHA 复合材料组中均可见类骨质组织,骨细胞、骨髓和小梁骨转化为成熟的骨组织,可见明显的骨组织形成。rhBMP-2 微球/CHA 复合材料组(6.52±0.50kat/g 和 17.54±2.49μg/mg)的 ALP 活性和钙含量明显高于其他各组。

结论

负载 rhBMP-2 的 CS 纳米球复合材料可增强成骨作用,并提高 ALP 活性和钙含量。这些结果可能为脊柱融合中的成骨作用提供一种新方法,并为 BMP-2 在成骨作用中的作用提供新的见解。

https://cdn.ncbi.nlm.nih.gov/pmc/blobs/eef5/7767670/b5f0674b8080/OS-12-1947-g001.jpg

文献检索

告别复杂PubMed语法,用中文像聊天一样搜索,搜遍4000万医学文献。AI智能推荐,让科研检索更轻松。

立即免费搜索

文件翻译

保留排版,准确专业,支持PDF/Word/PPT等文件格式,支持 12+语言互译。

免费翻译文档

深度研究

AI帮你快速写综述,25分钟生成高质量综述,智能提取关键信息,辅助科研写作。

立即免费体验