Suppr超能文献

当编码一种11千道尔顿磷酸化蛋白的基因表达被大肠杆菌乳糖阻遏物阻止时,牛痘病毒形态发生受到干扰。

Vaccinia virus morphogenesis is interrupted when expression of the gene encoding an 11-kilodalton phosphorylated protein is prevented by the Escherichia coli lac repressor.

作者信息

Zhang Y F, Moss B

机构信息

Laboratory of Viral Diseases, National Institute of Allergy and Infectious Diseases, Bethesda, Maryland 20892.

出版信息

J Virol. 1991 Nov;65(11):6101-10. doi: 10.1128/JVI.65.11.6101-6110.1991.

Abstract

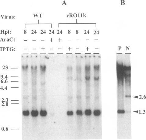
A conditional lethal vaccinia virus mutant, which constitutively expresses the Escherichia coli lac repressor and has the lac operator controlling the F18R gene (the 18th open reading frame of the HindIII F fragment of the vaccinia virus strain WR genome) encoding an 11-kDa protein, was previously shown to be dependent on the inducer isopropyl-beta-D-thiogalactoside (IPTG) for replication (Y. Zhang and B. Moss, Proc. Natl. Acad. Sci. USA 88:1511-1515, 1991). Further studies indicated that the yield of infectious virus could be regulated by titration with IPTG and that virus production was arrested by IPTG removal at appropriate times. Under nonpermissive conditions, an 11-kDa protein reactive with antiserum raised to a previously described DNA-binding phosphoprotein (S. Y. Kao and W. R. Bauer, Virology 159:399-407, 1987) was not synthesized, indicating that the latter is the product of the F18R gene. In the absence of IPTG, replication of viral DNA and the subsequent resolution of concatemeric DNA molecules appeared normal. Omission of IPTG did not alter the kinetics of early and late viral protein synthesis, although the absence of the 11-kDa polypeptide was noted by labeling infected cells with [35S]methionine or [32P]phosphate. Pulse-chase experiments revealed that proteolytic processing of the major viral structural proteins, P4a and P4b, was inhibited under nonpermissive conditions, suggesting a block in virus maturation. Without addition of IPTG, the failure of virus particle formation was indicated by sucrose gradient centrifugation of infected cell lysates and by the absence of vaccinia virus-mediated pH-dependent cell fusion. Electron microscopic examination of infected cells revealed that immature virus particles, with aberrant internal structures, accumulated when synthesis of the 11-kDa DNA-binding protein was prevented.

摘要

一种条件致死性痘苗病毒突变体,其组成性表达大肠杆菌乳糖阻遏物,且具有控制F18R基因(痘苗病毒WR株基因组HindIII F片段的第18个开放阅读框)的乳糖操纵子,该基因编码一种11 kDa的蛋白质,先前已证明其复制依赖于诱导剂异丙基-β-D-硫代半乳糖苷(IPTG)(Y. Zhang和B. Moss,《美国国家科学院院刊》88:1511 - 1515,1991)。进一步研究表明,感染性病毒的产量可通过用IPTG滴定来调节,并且在适当时间去除IPTG可阻止病毒产生。在非允许条件下,未合成与针对先前描述的DNA结合磷蛋白(S. Y. Kao和W. R. Bauer,《病毒学》159:399 - 407,1987)产生的抗血清发生反应的11 kDa蛋白质,这表明后者是F18R基因的产物。在没有IPTG的情况下,病毒DNA的复制以及随后串联DNA分子的解析似乎正常。省略IPTG并未改变早期和晚期病毒蛋白合成的动力学,尽管通过用[35S]甲硫氨酸或[32P]磷酸盐标记感染细胞注意到缺少11 kDa多肽。脉冲追踪实验表明,在非允许条件下,主要病毒结构蛋白P4a和P4b的蛋白水解加工受到抑制,这表明病毒成熟受阻。不添加IPTG时,感染细胞裂解物的蔗糖梯度离心以及痘苗病毒介导的pH依赖性细胞融合的缺失表明病毒颗粒形成失败。对感染细胞的电子显微镜检查显示,当11 kDa DNA结合蛋白的合成被阻止时,具有异常内部结构的未成熟病毒颗粒会积累。

https://cdn.ncbi.nlm.nih.gov/pmc/blobs/9d9f/250286/2c3db75ab391/jvirol00054-0462-a.jpg

文献检索

告别复杂PubMed语法,用中文像聊天一样搜索,搜遍4000万医学文献。AI智能推荐,让科研检索更轻松。

立即免费搜索

文件翻译

保留排版,准确专业,支持PDF/Word/PPT等文件格式,支持 12+语言互译。

免费翻译文档

深度研究

AI帮你快速写综述,25分钟生成高质量综述,智能提取关键信息,辅助科研写作。

立即免费体验