Suppr超能文献

结核性脑膜炎中的反常反应导致视辐射受累。

Paradoxical reaction in tubercular meningitis resulting in involvement of optic radiation.

作者信息

Monga Parveen K, Dhaliwal Upreet

机构信息

Department of Ophthalmology, University College of Medical Sciences and GTB Hospital, Delhi-95, India.

出版信息

Indian J Ophthalmol. 2009 Mar-Apr;57(2):139-41. doi: 10.4103/0301-4738.45504.

Abstract

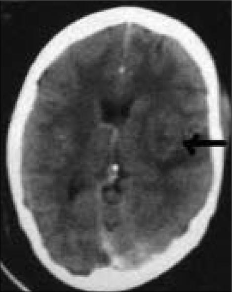
A 25-year-old woman was diagnosed to have tubercular meningitis (TBM) with a right parietal infarct. She responded well to four-drug anti-tubercular treatment (ATT), systemic steroids and pyridoxine. Steroids were tapered off in one and a half months; she was put on two-drug ATT after two months. Six months after initial diagnosis she presented with sudden, bilateral visual loss. Vision was 3/200 with afferent pupillary defect and un-recordable field in the right eye; vision was 20/60 in the left eye, pupillary reaction was sluggish and the field showed a temporal hemianopia. On reintroduction of systemic corticosteroids vision improved (20/120 in right eye and 20/30 in left eye) within three days; the field defects improved sequentially to a left homonymous hemianopia, then a left homonymous inferior quadrantonopia. A diagnosis of TBM, on treatment, with bilateral optic neuritis, and right optic radiation involvement was made. Since the patient had been off ethambutol for four months, the optic neuritis and optic radiation lesion were attributed to a paradoxical reaction to tubercular allergen, corroborated by prompt recovery in response to corticosteroids. This is the first report of optic radiation involvement in a paradoxical reaction in neuro-tuberculosis in a young adult.

摘要

一名25岁女性被诊断为结核性脑膜炎(TBM)并伴有右侧顶叶梗死。她对四联抗结核治疗(ATT)、全身使用类固醇和吡哆醇反应良好。类固醇在一个半月内逐渐减量;两个月后她开始接受二联ATT治疗。初次诊断六个月后,她突然出现双侧视力丧失。右眼视力为3/200,伴有传入性瞳孔障碍,视野无法记录;左眼视力为20/60,瞳孔反应迟钝,视野显示颞侧偏盲。重新使用全身皮质类固醇后,视力在三天内得到改善(右眼为20/120,左眼为20/30);视野缺损依次改善为左侧同向性偏盲,然后是左侧同向性下象限盲。诊断为正在接受治疗的TBM伴双侧视神经炎和右侧视辐射受累。由于患者已停用乙胺丁醇四个月,视神经炎和视辐射病变归因于对结核变应原的矛盾反应,对皮质类固醇的迅速反应证实了这一点。这是关于一名年轻成人神经结核矛盾反应中视辐射受累的首例报告。

https://cdn.ncbi.nlm.nih.gov/pmc/blobs/0a31/2684430/d8d9b4b02a37/IndianJOphthalmol-57-139-g001.jpg

文献AI研究员

20分钟写一篇综述,助力文献阅读效率提升50倍。

立即体验

用中文搜PubMed

大模型驱动的PubMed中文搜索引擎

马上搜索

文档翻译

学术文献翻译模型,支持多种主流文档格式。

立即体验