Suppr超能文献

伴有严重视力丧失的脑室内结核瘤:一例报告及文献综述

Intraventricular Tuberculoma with Profound Visual Loss: A Case Report and Literature Review.

作者信息

Tengku-Fatishah Amir, Besari Alwi Muhd, Tharakan John, Shatriah Ismail

机构信息

Ophthalmology, School of Medical Sciences, Universiti Sains Malaysia, 16150 Kubang Kerian, Kelantan, USA.

Medicine, School of Medical Sciences, Universiti Sains Malaysia, 16150 Kubang Kerian, Kelantan, MYS.

出版信息

Cureus. 2018 Jun 14;10(6):e2807. doi: 10.7759/cureus.2807.

Abstract

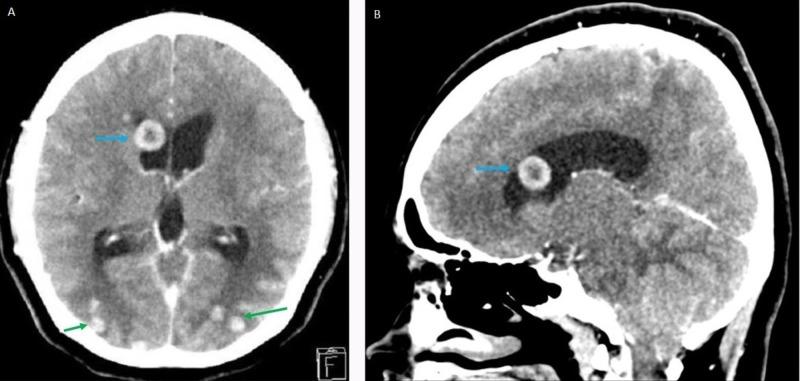
Intracranial tuberculoma is a rare manifestation of tuberculosis involving the central nervous system. The involvement of the ventricular system is extremely uncommon. We describe a young woman with bilateral papilledema secondary to intraventricular tuberculoma with hydrocephalus. She was treated with anti-tuberculosis therapy and intravenous dexamethasone. Her visual acuity deteriorated after one month of treatment. We provide a literature review of this uncommon ocular sequelae.

摘要

颅内结核瘤是结核病累及中枢神经系统的一种罕见表现。脑室系统受累极为罕见。我们描述了一名年轻女性,她因脑室结核瘤伴脑积水继发双侧视乳头水肿。她接受了抗结核治疗和静脉注射地塞米松。治疗一个月后她的视力恶化。我们对这种罕见的眼部后遗症进行了文献综述。

https://cdn.ncbi.nlm.nih.gov/pmc/blobs/8ec9/6093272/f297d1aee1f8/cureus-0010-00000002807-i01.jpg

文献检索

告别复杂PubMed语法,用中文像聊天一样搜索,搜遍4000万医学文献。AI智能推荐,让科研检索更轻松。

立即免费搜索

文件翻译

保留排版,准确专业,支持PDF/Word/PPT等文件格式,支持 12+语言互译。

免费翻译文档

深度研究

AI帮你快速写综述,25分钟生成高质量综述,智能提取关键信息,辅助科研写作。

立即免费体验