• 文献检索
  • 文档翻译
  • 深度研究
  • 学术资讯
  • Suppr Zotero 插件Zotero 插件
  • 邀请有礼
  • 套餐&价格
  • 历史记录
应用&插件
Suppr Zotero 插件Zotero 插件浏览器插件Mac 客户端Windows 客户端微信小程序
定价
高级版会员购买积分包购买API积分包
服务
文献检索文档翻译深度研究API 文档MCP 服务
关于我们
关于 Suppr公司介绍联系我们用户协议隐私条款
关注我们

Suppr 超能文献

核心技术专利:CN118964589B侵权必究
粤ICP备2023148730 号-1Suppr @ 2026

文献检索

告别复杂PubMed语法,用中文像聊天一样搜索,搜遍4000万医学文献。AI智能推荐,让科研检索更轻松。

立即免费搜索

文件翻译

保留排版,准确专业,支持PDF/Word/PPT等文件格式,支持 12+语言互译。

免费翻译文档

深度研究

AI帮你快速写综述,25分钟生成高质量综述,智能提取关键信息,辅助科研写作。

立即免费体验

一只狗的颅尾叶多叶肿瘤导致严重的大脑和小脑受压。

Multilobular tumour of the caudal cranium causing severe cerebral and cerebellar compression in a dog.

作者信息

Psychas Vassilios, Loukopoulos Panayiotis, Polizopoulou Zoe S, Sofianidis Georgios

机构信息

Pathology Laboratory, Faculty of Veterinary Medicine, Aristotle University, 54124 Thessaloniki, Greece.

出版信息

J Vet Sci. 2009 Mar;10(1):81-3. doi: 10.4142/jvs.2009.10.1.81.

DOI:10.4142/jvs.2009.10.1.81
PMID:19255529
原文链接:https://pmc.ncbi.nlm.nih.gov/articles/PMC2801101/
Abstract

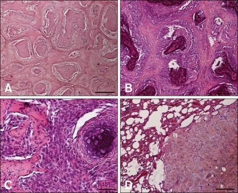
Multilobular tumour of bone (MTB) is an uncommon tumour and is usually located in the skull. A 13-year-old mixed breed dog was presented with a two-week history of progressively worsening vestibular dysfunction and cognitive abnormalities; it appeared demented and showed asymmetric ataxia and hypermetria of all limbs. The owner opted to have the animal euthanised. Necropsy revealed a large mass occupying the right occipital, parietal and temporal bones, severely compressing the cerebellum and the right occipital lobe. Histologically, it was characterised by the presence of multiple lobules containing osteoid or cartilage and separated by fibrous septae, features typical of MTB. Lung metastases were evident. To our knowledge, this is the first report of an MTB causing both severe cerebral and cerebellar compression and the second detailed report of an MTB of the occipital bone. MTB should be included in the differential diagnosis of bone tumours as well as in cases with central vestibular disease.

摘要

骨多叶状肿瘤(MTB)是一种罕见的肿瘤,通常位于颅骨。一只13岁的混血犬出现了为期两周的逐渐加重的前庭功能障碍和认知异常;它看起来痴呆,表现出不对称性共济失调和四肢辨距不良。主人选择对该动物实施安乐死。尸检发现一个大肿块占据了右枕骨、顶骨和颞骨,严重压迫小脑和右枕叶。组织学上,其特征是存在多个含有类骨质或软骨的小叶,并被纤维间隔隔开,这是MTB的典型特征。肺转移明显。据我们所知,这是第一例MTB导致严重脑和小脑压迫的报告,也是第二例枕骨MTB的详细报告。MTB应纳入骨肿瘤以及中枢性前庭疾病病例的鉴别诊断中。

https://cdn.ncbi.nlm.nih.gov/pmc/blobs/0407/2801101/a30ae4fa688c/jvs-10-81-g002.jpg
https://cdn.ncbi.nlm.nih.gov/pmc/blobs/0407/2801101/cf68123f2503/jvs-10-81-g001.jpg
https://cdn.ncbi.nlm.nih.gov/pmc/blobs/0407/2801101/a30ae4fa688c/jvs-10-81-g002.jpg
https://cdn.ncbi.nlm.nih.gov/pmc/blobs/0407/2801101/cf68123f2503/jvs-10-81-g001.jpg
https://cdn.ncbi.nlm.nih.gov/pmc/blobs/0407/2801101/a30ae4fa688c/jvs-10-81-g002.jpg

相似文献

1
Multilobular tumour of the caudal cranium causing severe cerebral and cerebellar compression in a dog.一只狗的颅尾叶多叶肿瘤导致严重的大脑和小脑受压。
J Vet Sci. 2009 Mar;10(1):81-3. doi: 10.4142/jvs.2009.10.1.81.
2
Multilobular tumor of the zygomatic bone in a dog.一只狗的颧骨多叶状肿瘤。
Open Vet J. 2014;4(1):9-11. Epub 2014 Feb 9.
3
Chondroma rodens in a dog.犬的侵袭性软骨瘤
J S Afr Vet Assoc. 1978 Mar;49(1):60-5.
4
Massive midline occipitotemporal resection of the skull for treatment of multilobular osteochondrosarcoma in two dogs.为治疗两只犬的多叶性骨软骨肉瘤而进行的颅骨中线枕颞部大块切除术。
J Am Vet Med Assoc. 2008 Sep 1;233(5):752-7. doi: 10.2460/javma.233.5.752.
5
Aggressive squamous cell carcinoma of the cranium of a dog.犬颅骨侵袭性鳞状细胞癌。
BMC Vet Res. 2021 Apr 6;17(1):144. doi: 10.1186/s12917-021-02843-8.
6
Multilobular tumor of bone in an African wild dog (Lycaon pictus).一只非洲野犬(非洲野犬属)的多叶状骨肿瘤。
J Zoo Wildl Med. 2012 Dec;43(4):950-2. doi: 10.1638/2012-0068R.1.
7
X-ray computed tomography-aided diagnosis of nasal adenocarcinoma, with extension to the skull and central nervous system, in a dog.一只犬鼻腔腺癌伴颅骨及中枢神经系统侵犯的X线计算机断层扫描辅助诊断
J Am Vet Med Assoc. 1989 Apr 15;194(8):1073-6.
8
What is your diagnosis? Chrondroblastic osteosarcoma.你的诊断是什么?软骨母细胞型骨肉瘤。
J Small Anim Pract. 2003 Nov;44(11):479, 515-6.
9
Magnetic resonance imaging features of multilobular osteochondrosarcoma in 3 dogs.3只犬多叶型骨肉瘤的磁共振成像特征
Vet Radiol Ultrasound. 2001 Jan-Feb;42(1):14-9. doi: 10.1111/j.1740-8261.2001.tb00898.x.
10
Bilateral parieto-occipital dermoid sinuses in a Rottweiler.一只罗威纳犬的双侧顶枕部皮样窦。
J Small Anim Pract. 2007 Feb;48(2):107-10. doi: 10.1111/j.1748-5827.2006.00171.x.

引用本文的文献

1
Multilobular tumor of bone on the forehead of a guinea pig.豚鼠前额骨的多叶肿瘤。
J Vet Diagn Invest. 2020 Sep;32(5):747-749. doi: 10.1177/1040638720941507. Epub 2020 Jul 18.
2
Multilobular tumor of the zygomatic bone in a dog.一只狗的颧骨多叶状肿瘤。
Open Vet J. 2014;4(1):9-11. Epub 2014 Feb 9.

本文引用的文献

1
Primary chondrosarcoma in the skull of a dog.犬颅骨原发性软骨肉瘤
J Vet Sci. 2007 Mar;8(1):99-101. doi: 10.4142/jvs.2007.8.1.99.
2
Multilobular tumor of the mandible in a Pekingese dog.一只北京犬下颌骨的多叶状肿瘤。
J Vet Sci. 2006 Sep;7(3):297-8. doi: 10.4142/jvs.2006.7.3.297.
3
What is your diagnosis? Multilobular osteoma (MLO).你的诊断是什么?多叶状骨瘤(MLO)。
J Am Vet Med Assoc. 2004 Dec 1;225(11):1665-6. doi: 10.2460/javma.2004.225.1665.
4
Multilobular osteochondrosarcoma of the hard palate in a dog.犬硬腭多叶性骨肉瘤
Aust Vet J. 2004 Jul;82(7):409-12. doi: 10.1111/j.1751-0813.2004.tb11127.x.
5
Clinical and pathologic relevance of p53 index in canine osseous tumors.
Vet Pathol. 2003 May;40(3):237-48. doi: 10.1354/vp.40-3-237.
6
Magnetic resonance imaging features of multilobular osteochondrosarcoma in 3 dogs.3只犬多叶型骨肉瘤的磁共振成像特征
Vet Radiol Ultrasound. 2001 Jan-Feb;42(1):14-9. doi: 10.1111/j.1740-8261.2001.tb00898.x.
7
Computed tomographic characteristics of multilobular tumor of bone involving the cranium in 7 dogs and zygomatic arch in 2 dogs.7只犬颅骨及2只犬颧弓发生的多叶性骨肿瘤的计算机断层扫描特征。
Vet Radiol Ultrasound. 2000 May-Jun;41(3):214-7. doi: 10.1111/j.1740-8261.2000.tb01480.x.
8
Multilobular osteochondrosarcoma in 39 dogs: 1979-1993.1979年至1993年39只犬的多叶性骨肉瘤
J Am Anim Hosp Assoc. 1998 Jan-Feb;34(1):11-8. doi: 10.5326/15473317-34-1-11.
9
Cranioplasty after en bloc resection of calvarial chondroma rodens in two dogs.两只犬颅骨侵袭性软骨瘤整块切除术后的颅骨成形术。
J Small Anim Pract. 1997 Aug;38(8):358-63. doi: 10.1111/j.1748-5827.1997.tb03486.x.
10
Primary rib tumors in 54 dogs.54只犬的原发性肋骨肿瘤
J Am Anim Hosp Assoc. 1995 Jan-Feb;31(1):65-9. doi: 10.5326/15473317-31-1-65.