Kim Sung-Hun, Kim Bum-Soo, Jung So-Lyung, Lee Jung-Whee, Yang Po-Sung, Kang Bong-Joo, Lim Hyun-Wook, Kim Jee-Young, Whang In-Yong, Kwon Heuk-Sang, Jung Chan-Kwon
Department of Radiology, College of Medicine, The Catholic University of Korea, Seoul, Korea.
Korean J Radiol. 2009 Mar-Apr;10(2):101-5. doi: 10.3348/kjr.2009.10.2.101. Epub 2009 Mar 3.
This study was designed to evaluate the ultrasonographic (US) findings of medullary thyroid carcinoma (MTC) as compared to findings for papillary thyroid carcinoma (PTC).
The study included 21 cases of MTC that were surgically diagnosed between 2002 and 2007 and 114 cases of PTC that were diagnosed in 2007. Two radiologists reached a consensus in the evaluation of the US findings. The US findings were classified as recommended by the Thyroid Study Group of the Korean Society of Neuroradiology and Head and Neck Radiology (KSNHNR) and each nodule was identified as suspicious malignant, indeterminate or probably benign. The findings of medullary and papillary carcinomas were compared with use of the chi-squared test.
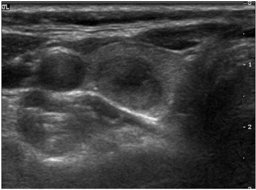
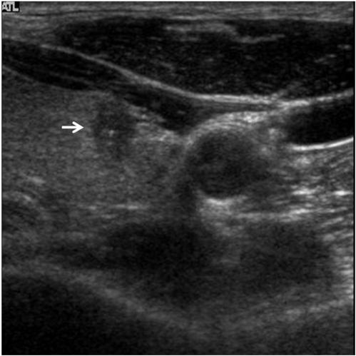
The common US findings for MTCs were solid internal content (91%), an ovoid to round shape (57%), marked hypoechogenicity (52%) and calcifications (52%). Among the 21 cases of MTC nodules, 17 (81%) were classified as suspicious malignant nodules. The mean size (longest diameter) of MTC nodules was 19 +/- 13.9 mm and the mean size (longest diameter) of PTC nodules was 11 +/- 7.4 mm; this difference was statistically significant (p < 0.05). An ovoid to round shape was more prevalent for MTC lesions than for PTC lesions (p < 0.05).
The US criteria for suspicious malignant nodules as recommended by the Thyroid Study Group of the KSNHNR correspond to most MTC cases. The US findings for MTC are not greatly different from PTC except for the prevalence of an ovoid to round shape.
本研究旨在评估甲状腺髓样癌(MTC)的超声(US)表现,并与甲状腺乳头状癌(PTC)的表现进行比较。
本研究纳入了2002年至2007年间手术确诊的21例MTC病例以及2007年确诊的114例PTC病例。两名放射科医生在评估US表现时达成了共识。US表现按照韩国神经放射学会和头颈放射学会(KSNHNR)甲状腺研究组的建议进行分类,每个结节被确定为可疑恶性、不确定或可能良性。采用卡方检验比较髓样癌和乳头状癌的表现。
MTC常见的US表现为内部实性成分(91%)、卵圆形至圆形(57%)、明显低回声(52%)和钙化(52%)。在21例MTC结节中,17例(81%)被分类为可疑恶性结节。MTC结节的平均大小(最长直径)为19±13.9mm,PTC结节的平均大小(最长直径)为11±7.4mm;这种差异具有统计学意义(p<0.05)。MTC病变中卵圆形至圆形比PTC病变更常见(p<0.05)。
KSNHNR甲状腺研究组推荐的可疑恶性结节的US标准与大多数MTC病例相符。除了卵圆形至圆形的发生率外,MTC的US表现与PTC没有太大差异。