Suppr超能文献

钙缺乏大鼠腹水肝癌细胞中细胞间连接的超微结构变化

Ultrastructural changes of intercellular junctions in rat ascites hepatoma cells with calcium depletion.

作者信息

Ishihara H, Ishimaru Y, Hayashi H

出版信息

Br J Cancer. 1977 May;35(5):643-56. doi: 10.1038/bjc.1977.100.

Abstract

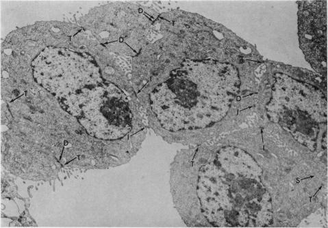
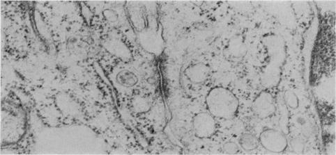
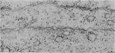
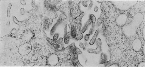
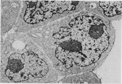
To analyse the effect of ethylenediamine tetraacetate (EDTA) on tumour cell adhesiveness, fine structure of intercellular junctions of rat ascites hepatoma cells AH136B and AH7974 (both forming cell islands in vivo) was first compared. The close contact of the apical portion of both cell islands was composed of tight junctions with a narrow gap. The close contact of the inner portion of AH136B cell islands was largely by simple apposition, while that of AH7974 cell islands had many intermediate junctions and desmosomes. Treatment with EDTA (2 mM) induced morphological alteration of simple apposition, intermediate junctions and desmosomes, but tight junctions remained intact. The effect of EDTA on such junctional complexes seemed to be partially reversible on readministration of Ca ions. Changes in desmosomes, as confirmed on AH7974 cells, were initiated by disappearance of the central disc of electron-dense materials, followed by marked opening of intercellular space and disappearance of endoplasmic laminar plaque. These results suggest that Ca ions may be concerned with maintaining the integrity of junctional complexes other than tight junctions.

摘要

为分析乙二胺四乙酸(EDTA)对肿瘤细胞黏附性的影响,首先比较了大鼠腹水肝癌细胞AH136B和AH7974(两者在体内均形成细胞岛)细胞间连接的精细结构。两个细胞岛顶端部分的紧密接触由间隙狭窄的紧密连接组成。AH136B细胞岛内部分的紧密接触主要是简单并置,而AH7974细胞岛的紧密接触有许多中间连接和桥粒。用EDTA(2 mM)处理可诱导简单并置、中间连接和桥粒的形态改变,但紧密连接保持完整。再次给予钙离子后,EDTA对这种连接复合体的作用似乎部分可逆。在AH7974细胞上证实,桥粒的变化始于电子致密物质中央盘的消失,随后细胞间隙明显增宽,内质层板消失。这些结果表明,钙离子可能与维持除紧密连接之外的连接复合体的完整性有关。

https://cdn.ncbi.nlm.nih.gov/pmc/blobs/458d/2025499/4e5c29a434be/brjcancer00302-0130-a.jpg

文献检索

告别复杂PubMed语法,用中文像聊天一样搜索,搜遍4000万医学文献。AI智能推荐,让科研检索更轻松。

立即免费搜索

文件翻译

保留排版,准确专业,支持PDF/Word/PPT等文件格式,支持 12+语言互译。

免费翻译文档

深度研究

AI帮你快速写综述,25分钟生成高质量综述,智能提取关键信息,辅助科研写作。

立即免费体验