Suppr超能文献

大鼠腹水肝癌细胞表面糖蛋白对肿瘤细胞黏附性和细胞间连接的诱导作用。

The induction of tumour cell adhesiveness and intercellular junctions by a glycoprotein of rat ascites hepatoma cell surface.

作者信息

Ishimaru Y, Kudo K, Ishihara H, Hayashi H

出版信息

Br J Cancer. 1976 Oct;34(4):426-36. doi: 10.1038/bjc.1976.188.

Abstract

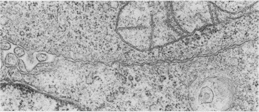
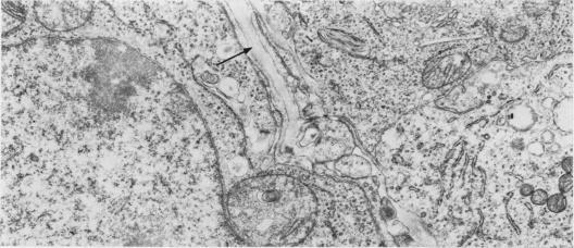
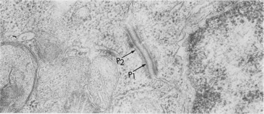
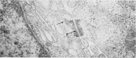
Rat ascites hepatoma AH109A cells (present as a free form in vivo) can aggregate and then develop well-defined tripartite junctional complexes, including intermediate junctions, desmosomes and focal tight junctions, on incubation with a glycoprotein separated from rat ascites hepatoma AH136B cells (forming cell islnds in vivo). The development of binding structures was strongly inhibited by actinomycin D. AH109A cells or rat ascites hepatoma YS cells (present as a free form in vivo) previously treated with the glycoprotein for 24 h, when inoculated i.p., proliferated as free cells in the ascitic fluid, like the untreated cells. AH109A cells actively proliferating in the skin do not form any junctional complexes. The reason for the failure of island formation by AH109A cells or YS cells in vivo is discussed.

摘要

大鼠腹水肝癌AH109A细胞(在体内以游离形式存在)在与从大鼠腹水肝癌AH136B细胞(在体内形成细胞岛)分离的一种糖蛋白一起孵育时,能够聚集,然后形成明确的三联连接复合体,包括中间连接、桥粒和紧密连接。结合结构的形成受到放线菌素D的强烈抑制。预先用该糖蛋白处理24小时的AH109A细胞或大鼠腹水肝癌YS细胞(在体内以游离形式存在),腹腔注射接种后,会像未处理的细胞一样在腹水中以游离细胞的形式增殖。在皮肤中活跃增殖的AH109A细胞不形成任何连接复合体。文中讨论了AH109A细胞或YS细胞在体内未能形成细胞岛的原因。

https://cdn.ncbi.nlm.nih.gov/pmc/blobs/133d/2025241/f0972472127b/brjcancer00307-0091-a.jpg

文献检索

告别复杂PubMed语法,用中文像聊天一样搜索,搜遍4000万医学文献。AI智能推荐,让科研检索更轻松。

立即免费搜索

文件翻译

保留排版,准确专业,支持PDF/Word/PPT等文件格式,支持 12+语言互译。

免费翻译文档

深度研究

AI帮你快速写综述,25分钟生成高质量综述,智能提取关键信息,辅助科研写作。

立即免费体验