Suppr超能文献

氧自由基在实验性葡萄膜炎相关视网膜损伤中的作用。

Role of oxygen free radicals in retinal damage associated with experimental uveitis.

作者信息

Rao N A

机构信息

Doheny Eye Institute, Los Angeles, California.

出版信息

Trans Am Ophthalmol Soc. 1990;88:797-850.

Abstract

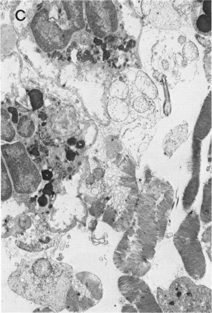
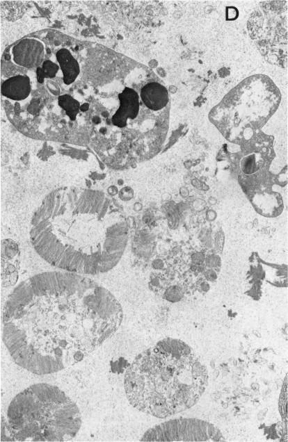
It is known that the visual loss in severe uveitis is due primarily to retinal tissue damage. In order to test the hypothesis that this damage may result from oxygen free radical-induced peroxidation of retinal membrane lipids, the generation of oxygen metabolites at the site of intraocular inflammation was investigated in an animal model of uveitis induced by retinal S-antigen. The effect of these metabolites on the initiation of retinal damage was characterized by histochemical, biochemical, morphologic, and morphometric methods. Light and electron microscopic studies at the early stage of the inflammation disclosed disorganization, degeneration, and necrosis of the photoreceptors and other retinal cells. Novel histochemical procedures demonstrated formation of superoxide and hydrogen peroxide at the site of uveoretinitis. Chemiluminescence measurements on uveoretinal tissue from these experimental animals revealed generation of superoxide anion and hydroxyl radicals. During the early phase of the uveoretinitis, concomitant with generation of the oxygen metabolites, there was peroxidation of retinal membrane lipids. The peroxidation products consisted of CD, MDA, hydroperoxides, and others. Associated with these changes was a selective depletion of the PUFA 22:6, decrease of which in the retinal composition has been shown to affect visual function. The morphologic and biochemical investigations clearly indicate that oxygen free radicals are generated at the site of uveoretinitis and that the retinal damage is mediated by peroxidation of lipids that are present in the retinal cell membranes. It would thus seem logical that such intraocular inflammation and the resultant retinal damage could be suppressed by antioxidant enzymes and oxygen free radical scavengers. These studies provide for the first time clear indication for developing new therapeutic agents that possess oxygen free radical scavenging properties, for treatment of human uveitis.

摘要

已知严重葡萄膜炎导致的视力丧失主要是由于视网膜组织损伤。为了验证这种损伤可能是由氧自由基诱导的视网膜膜脂质过氧化所致的假说,在视网膜S抗原诱导的葡萄膜炎动物模型中,研究了眼内炎症部位氧代谢产物的产生情况。通过组织化学、生物化学、形态学和形态计量学方法,对这些代谢产物对视网膜损伤起始的影响进行了表征。炎症早期的光镜和电镜研究显示,光感受器和其他视网膜细胞出现紊乱、变性和坏死。新的组织化学方法证明,葡萄膜视网膜炎部位形成了超氧化物和过氧化氢。对这些实验动物的葡萄膜视网膜组织进行化学发光测量,结果显示产生了超氧阴离子和羟基自由基。在葡萄膜视网膜炎的早期阶段,伴随着氧代谢产物的产生,视网膜膜脂质发生了过氧化。过氧化产物包括CD、丙二醛、氢过氧化物等。与这些变化相关的是多不饱和脂肪酸22:6的选择性消耗,视网膜成分中该脂肪酸的减少已被证明会影响视觉功能。形态学和生物化学研究清楚地表明,葡萄膜视网膜炎部位产生了氧自由基,视网膜损伤是由视网膜细胞膜中存在的脂质过氧化介导的。因此,通过抗氧化酶和氧自由基清除剂抑制这种眼内炎症及由此导致的视网膜损伤似乎是合乎逻辑的。这些研究首次为开发具有氧自由基清除特性的新型治疗药物以治疗人类葡萄膜炎提供了明确的依据。

https://cdn.ncbi.nlm.nih.gov/pmc/blobs/7783/1298605/24048c3c0d6e/taos00011-0826-a.jpg

文献检索

告别复杂PubMed语法,用中文像聊天一样搜索,搜遍4000万医学文献。AI智能推荐,让科研检索更轻松。

立即免费搜索

文件翻译

保留排版,准确专业,支持PDF/Word/PPT等文件格式,支持 12+语言互译。

免费翻译文档

深度研究

AI帮你快速写综述,25分钟生成高质量综述,智能提取关键信息,辅助科研写作。

立即免费体验