Suppr超能文献

相似文献

1
Type I interferon drives tumor necrosis factor-induced lethal shock.
J Exp Med. 2009 Aug 31;206(9):1873-82. doi: 10.1084/jem.20090213. Epub 2009 Aug 17.
2
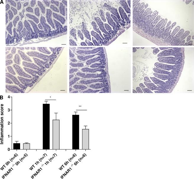
Organ-Specific Expression of IL-1 Receptor Results in Severe Liver Injury in Type I Interferon Receptor Deficient Mice.
Front Immunol. 2019 May 9;10:1009. doi: 10.3389/fimmu.2019.01009. eCollection 2019.
7
Deficient IFN signaling by myeloid cells leads to MAVS-dependent virus-induced sepsis.
PLoS Pathog. 2014 Apr 17;10(4):e1004086. doi: 10.1371/journal.ppat.1004086. eCollection 2014 Apr.
9
Anti-interferon-α receptor 1 antibodies attenuate inflammation and organ injury following hemorrhagic shock.
J Trauma Acute Care Surg. 2019 May;86(5):881-890. doi: 10.1097/TA.0000000000002214.

引用本文的文献

1
The dichotomic role of cytokines in aging.
Biogerontology. 2024 Dec 2;26(1):17. doi: 10.1007/s10522-024-10152-4.
3
Role of autoantibodies targeting interferon type 1 in COVID-19 severity: A systematic review and meta-analysis.
J Transl Autoimmun. 2023 Oct 14;7:100219. doi: 10.1016/j.jtauto.2023.100219. eCollection 2023 Dec.
4
Endothelial type I interferon response and brain diseases: identifying STING as a therapeutic target.
Front Cell Dev Biol. 2023 Sep 14;11:1249235. doi: 10.3389/fcell.2023.1249235. eCollection 2023.
5
A pharmacoproteomic landscape of organotypic intervention responses in Gram-negative sepsis.
Nat Commun. 2023 Jun 17;14(1):3603. doi: 10.1038/s41467-023-39269-9.
6
Synergism of TNF-α and IFN-β triggers human airway epithelial cells death by apoptosis and pyroptosis.
Mol Immunol. 2023 Jan;153:160-169. doi: 10.1016/j.molimm.2022.12.002. Epub 2022 Dec 9.
7
COVID-19 diverse outcomes: Aggravated reinfection, type I interferons and antibodies.
Med Hypotheses. 2022 Oct;167:110943. doi: 10.1016/j.mehy.2022.110943. Epub 2022 Sep 9.
8
Exposing the Two Contrasting Faces of STAT2 in Inflammation.
J Interferon Cytokine Res. 2022 Sep;42(9):467-481. doi: 10.1089/jir.2022.0117. Epub 2022 Jul 25.
9
Polymorphonuclear Cells Show Features of Dysfunctional Activation During Fatal Sepsis.
Front Immunol. 2021 Dec 13;12:741484. doi: 10.3389/fimmu.2021.741484. eCollection 2021.
10
Benzyl-para-di-[5-methyl-4-(n-octylamino) pyrimidin-2(1H)one] as an interferon beta (IFN-β) modulator.
Mol Divers. 2022 Aug;26(4):2175-2188. doi: 10.1007/s11030-021-10324-1. Epub 2021 Oct 19.

本文引用的文献

1
Regulation of apoptosis by type III interferons.
Cell Prolif. 2008 Dec;41(6):960-979. doi: 10.1111/j.1365-2184.2008.00558.x.
2
IL-17 produced by Paneth cells drives TNF-induced shock.
J Exp Med. 2008 Aug 4;205(8):1755-61. doi: 10.1084/jem.20080588. Epub 2008 Jul 28.
4
ConTra: a promoter alignment analysis tool for identification of transcription factor binding sites across species.
Nucleic Acids Res. 2008 Jul 1;36(Web Server issue):W128-32. doi: 10.1093/nar/gkn195. Epub 2008 May 3.
6
IFN-alpha induces barrier destabilization and apoptosis in renal proximal tubular epithelium.
Am J Physiol Cell Physiol. 2008 Jan;294(1):C153-60. doi: 10.1152/ajpcell.00120.2007. Epub 2007 Nov 21.
7
The receptor of the type I interferon family.
Curr Top Microbiol Immunol. 2007;316:71-95. doi: 10.1007/978-3-540-71329-6_5.
9
Interferon: cellular executioner or white knight?
Curr Med Chem. 2007;14(12):1279-89. doi: 10.2174/092986707780597907.
10
Should we inhibit type I interferons in sepsis?
Infect Immun. 2007 Jan;75(1):22-9. doi: 10.1128/IAI.00829-06. Epub 2006 Sep 25.

文献AI研究员

20分钟写一篇综述,助力文献阅读效率提升50倍。

立即体验

用中文搜PubMed

大模型驱动的PubMed中文搜索引擎

马上搜索

文档翻译

学术文献翻译模型,支持多种主流文档格式。

立即体验