Suppr超能文献

人类高密度脂蛋白代谢

High density lipoprotein metabolism in man.

作者信息

Blum C B, Levy R I, Eisenberg S, Hall M, Goebel R H, Berman M

出版信息

J Clin Invest. 1977 Oct;60(4):795-807. doi: 10.1172/JCI108833.

Abstract

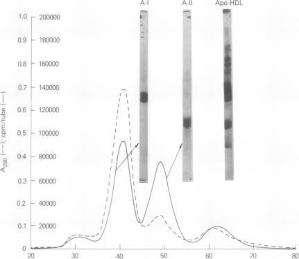
The turnover of (125)I-high density lipoprotein (HDL) was examined in a total of 14 studies in eight normal volunteers in an attempt to determine the metabolic relationship between apolipoproteins A-I (apoA-I) and A-II (apoA-II) of HDL and to define further some of the determinants of HDL metabolism. All subjects were first studied under conditions of an isocaloric balanced diet (40% fat, 40% carbohydrate). Four were then studied with an 80% carbohydrate diet, and two were studied while receiving nicotinic acid (1 g three times daily) and ingesting the same isocaloric balanced diet. The decay of autologous (125)I-HDL and the appearance of urinary radioactivity were followed for at least 2 wk in each study. ApoA-I and apoA-II were isolated by Sephadex G-200 chromatography from serial plasma samples in each study. The specific activities of these peptides were then measured directly. It was found that the decay of specific activity of apoA-I and apoA-II were parallel to one another in all studies. The mean half-life of the terminal portion of decay was 5.8 days during the studies with a balanced diet.Mathematical modeling of the decay of plasma radioactivity and appearance of urinary radioactivity was most consistent with a two-compartment model. One compartment is within the plasma and exchanges with a nonplasma component. Catabolism occurs from both of these compartments. With a balanced isocaloric diet, the mean synthetic rate for HDL protein was 8.51 mg/kg per day. HDL synthesis was not altered by the high carbohydrate diet and was only slightly decreased by nicotinic acid treatment. These perturbations had effects on HDL catabolic pathways that were reciprocal in many respects. With an 80% carbohydrate diet, the rate of catabolism from the plasma compartment rose by a mean of 39.1%; with nicotinic acid treatment, it fell by 42.2%. Changes in the rate of catabolism from the second compartment were generally opposite those in the rate of catabolism from the plasma compartment, suggesting that these two catabolic pathways may be reciprocally regulated.

摘要

在8名正常志愿者身上进行了总共14项研究,检测了(125)I-高密度脂蛋白(HDL)的周转率,以确定HDL的载脂蛋白A-I(apoA-I)和A-II(apoA-II)之间的代谢关系,并进一步明确HDL代谢的一些决定因素。所有受试者首先在等热量平衡饮食(40%脂肪,40%碳水化合物)条件下进行研究。然后,4名受试者采用80%碳水化合物饮食进行研究,2名受试者在接受烟酸(每日3次,每次1克)并摄入相同等热量平衡饮食的情况下进行研究。在每项研究中,追踪自体(125)I-HDL的衰减和尿放射性的出现至少2周。在每项研究中,通过Sephadex G-200层析从系列血浆样本中分离出apoA-I和apoA-II。然后直接测量这些肽的比活性。发现在所有研究中,apoA-I和apoA-II比活性的衰减彼此平行。在均衡饮食研究期间,衰减末期部分的平均半衰期为5.8天。血浆放射性衰减和尿放射性出现的数学模型与双室模型最为一致。一个室在血浆内,并与非血浆成分进行交换。分解代谢发生在这两个室中。在等热量均衡饮食条件下,HDL蛋白的平均合成速率为每天8.51毫克/千克。高碳水化合物饮食未改变HDL合成,烟酸治疗仅使其略有下降。这些干扰对HDL分解代谢途径产生了许多方面相互对应的影响。采用80%碳水化合物饮食时,血浆室的分解代谢速率平均上升39.1%;采用烟酸治疗时,分解代谢速率下降42.2%。第二个室分解代谢速率的变化通常与血浆室分解代谢速率的变化相反,表明这两条分解代谢途径可能相互调节。

https://cdn.ncbi.nlm.nih.gov/pmc/blobs/6a76/372427/6f894add6e75/jcinvest00658-0028-a.jpg

文献检索

告别复杂PubMed语法,用中文像聊天一样搜索,搜遍4000万医学文献。AI智能推荐,让科研检索更轻松。

立即免费搜索

文件翻译

保留排版,准确专业,支持PDF/Word/PPT等文件格式,支持 12+语言互译。

免费翻译文档

深度研究

AI帮你快速写综述,25分钟生成高质量综述,智能提取关键信息,辅助科研写作。

立即免费体验